症例詳細
Case detail
話しにくい歯並びの改善 抜歯矯正治療と前歯の審美治療
治療症例の内容
- 患者様
- 20代女性
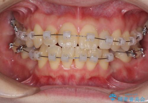
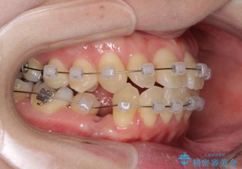
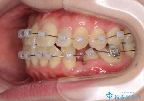
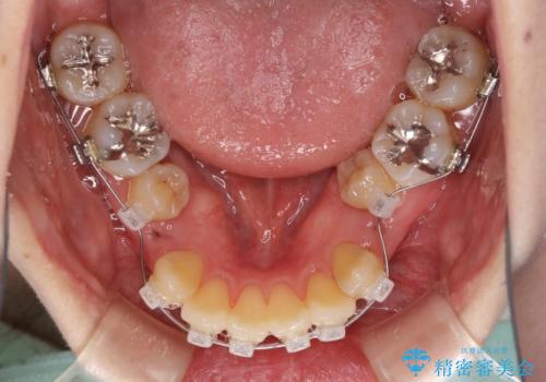
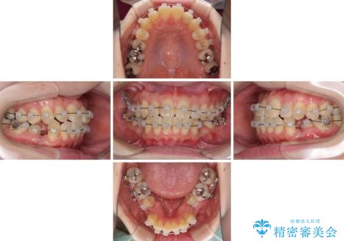
- 矯正装置
- クリアブラケット
- 治療期間
- 1年3ヶ月
- 治療回数
- 10-30回
- 治療計画
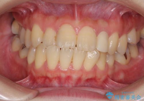
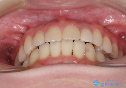
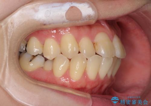
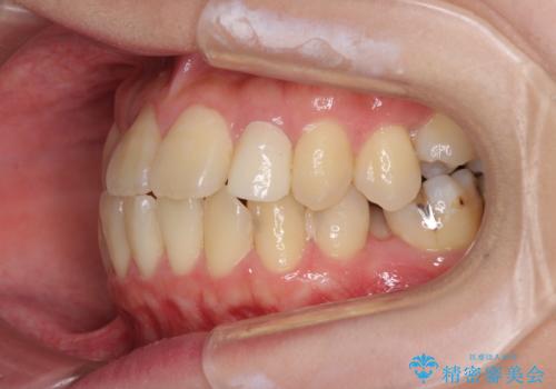
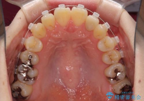
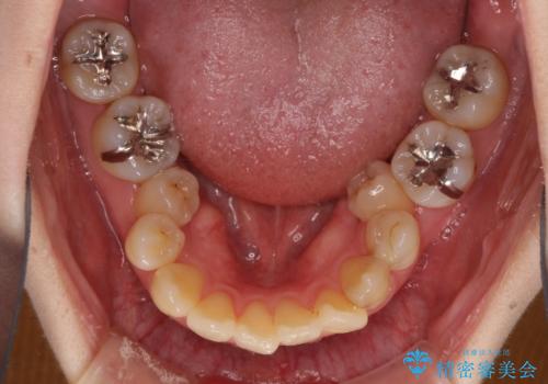
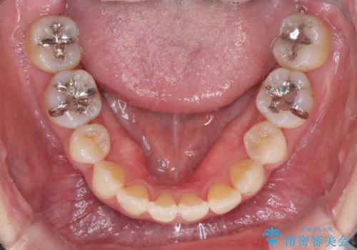
- 下顎の歯が舌側に倒れていることと、前歯の咬み合わせの不具合を気にして来院された患者様です。
受け口傾向の口元であるため、下顎左右小臼歯各1歯を抜歯して歯列を整えることとしました。
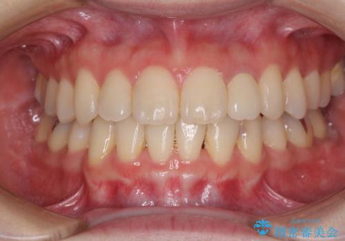
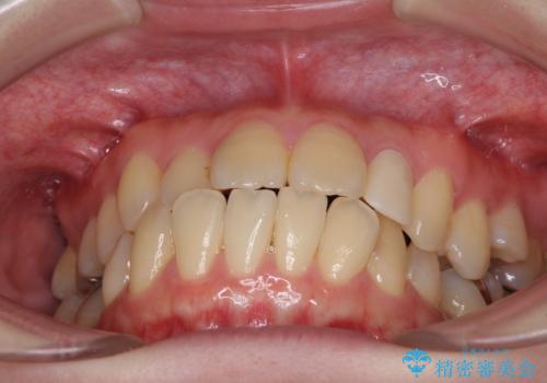
前歯には治療中の仮歯が装着されていたため、矯正治療後にオールセラミッククラウンにて補綴治療を行うこととしました。
- 費用(概算)
- 治療費の目安: 95万円費用は治療当時の料金となります
治療について
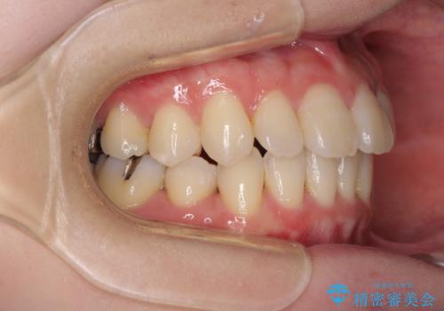
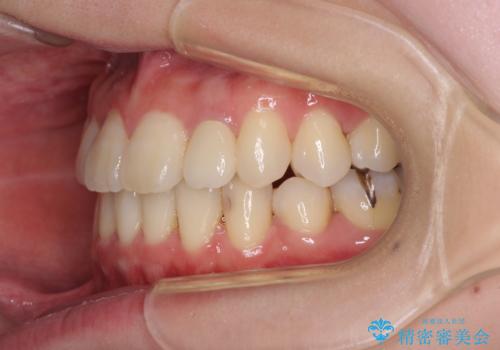
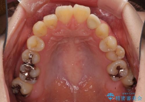
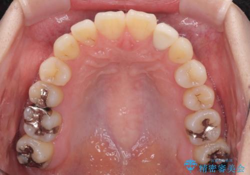
抜歯矯正は2年から2年半程度の治療期間を要することが一般的ですが、僅か1年1ヶ月で終了しました。
あっという間に気になっていた歯並びが改善し、患者様には大変満足していただきました。
ワイヤー矯正の注意事項(リスク・副作用など)
- 治療中は違和感や痛みが起こることがあります
- 症状により、抜歯が必要な場合があります
- 治療中は歯磨きがしにくくなるため、虫歯や歯周病になりやすくなります
- 矯正治療後の保定が不十分だと後戻り(元の位置に戻ろうとする動き)をします
- 自費診療(保険適用外)となります
セラミック治療の注意事項(リスク・副作用など)
- 天然歯を削ります
- 硬い素材は天然歯を傷つけてしまう場合があります
- かみ合わせや歯ぎしりが強すぎる方はセラミックが割れてしまう可能性があります
- 自費診療(保険適用外治療)となります
当サイトの内容、テキスト、画像等の無断転載、複製、複写、盗用を固く禁じます。































