症例詳細
Case detail
- 患者様
- 50代男性
- 治療期間
- 3年
- 治療回数
- 30回以上
- 治療計画
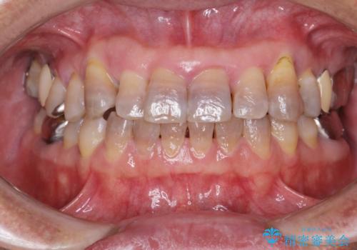
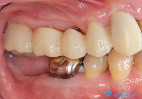
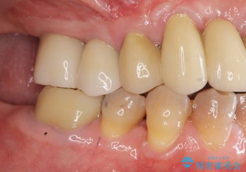
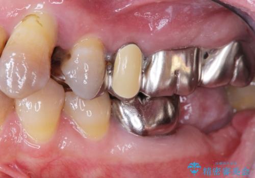
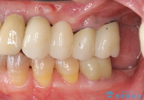
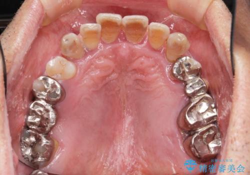
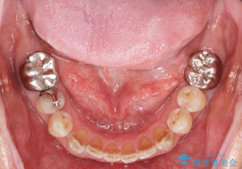
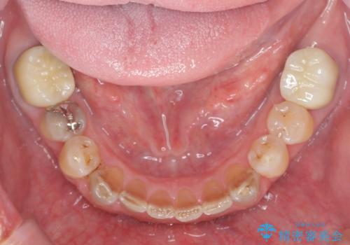
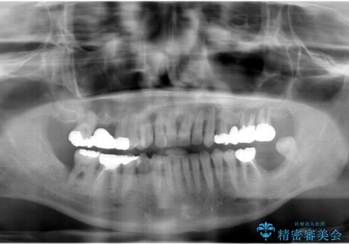
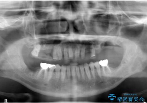
- 他院で上顎は全て抜歯し、入れ歯にする必要があると言われ相談に来院されました。
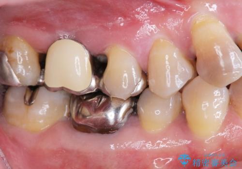
検査の結果、重度の歯周病であることから保存が難しい歯は抜歯を行いインプラントを、残すことが可能な歯には再生治療を含めた歯周病治療を行いより多くの歯を残す歯周病治療を計画します。
- 費用(概算)
- 350万円費用は治療当時の料金となります
歯周病治療について
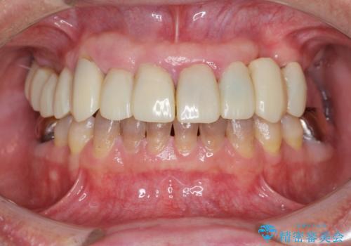
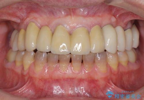
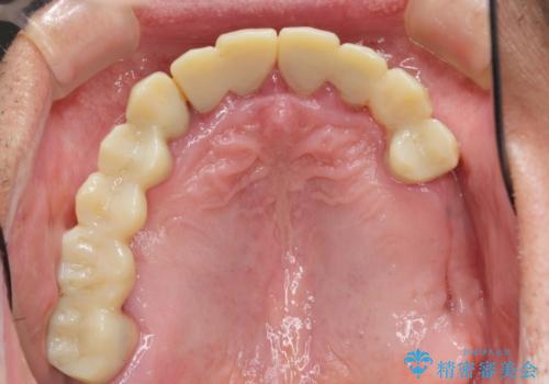
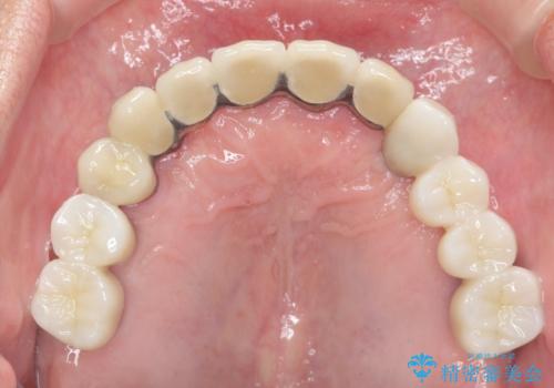
上顎は、残っている前歯も揺れがあり残すためにはクラウンでつなぐ歯周補綴が必要な状態です。
また咬合負担に不安のある前歯を助けるためにも、臼歯部にインプラント補綴を行いしっかりとかめる状態とすることも大切です。
インプラント治療の注意事項(リスク・副作用など)
- 外科手術のため、術後に痛みや腫れ、違和感を伴います
- メンテナンスを怠ったり喫煙により、お口の中に大きな悪影響を及ぼすインプラント周囲炎等にかかる可能性があります
- 糖尿病、肝硬変、心臓病等の場合、インプラント治療ができない可能性があります
- 高血圧、貧血・不整脈等の場合、インプラント治療後に治癒不全を招く可能性があります
- 自費診療(保険適用外治療)となります
歯周病治療の注意事項(リスク・副作用など)
- 外科手術のため、術後に痛みや腫れ、違和感を伴います
- 歯周組織再生治療は患者様の状態によって術後の経過が異なります(見た目が改善しない場合もあります)
- 歯周組織再生治療は自費診療(保険適用外)となります
当サイトの内容、テキスト、画像等の無断転載、複製、複写、盗用を固く禁じます。


















