症例詳細
Case detail
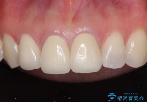
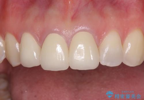
前歯の審美歯科治療 オールセラミッククラウンと部分矯正
治療症例の内容
- 患者様
 - 40代女性
 
- 治療期間
 - 6ヶ月
 
- 治療回数
 - 5-10回
 
- 治療計画
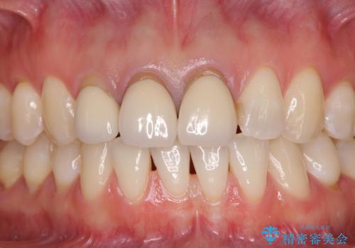
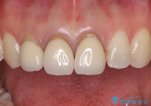
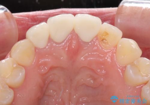
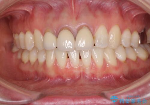
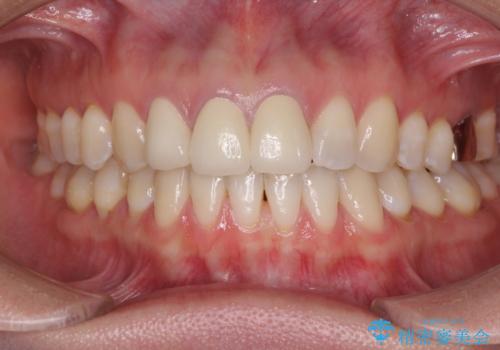
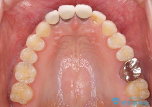
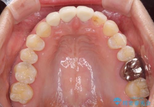
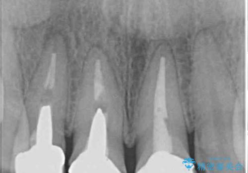
 - 上の前歯のセラミッククラウンが古くなったことと、下の前歯のデコボコを気にして来院された患者様です。
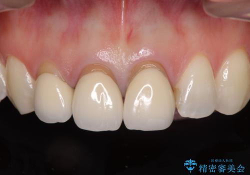
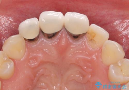
前歯は一部根管治療を行った後にオールセラミッククラウンに補綴することとしました。
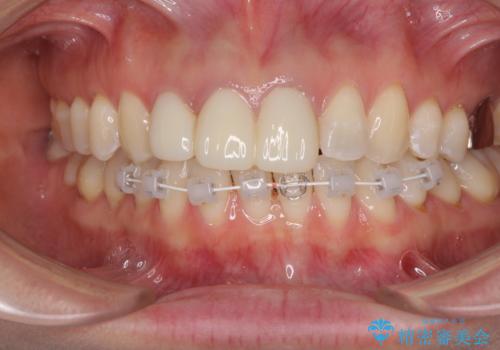
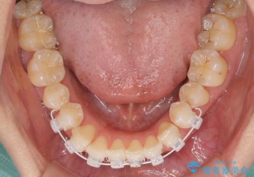
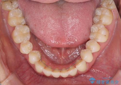
補綴治療に先立ち、下顎前歯の部分矯正を行い、前歯の咬み合わせの安定性向上を図りました。 
- 費用(概算)
 - 治療費の目安: 50万円費用は治療当時の料金となります
 
治療について
当初は上顎の補綴治療のみを希望されていましたが、仮歯装着期間に上下の前歯の接触が気になったため、部分矯正を行うこととしました。
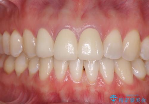
審美面と合わせて機能面も改善され、患者様には大変満足していただきました。
セラミック治療の注意事項(リスク・副作用など)
- 天然歯を削ります
 - 硬い素材は天然歯を傷つけてしまう場合があります
 - かみ合わせや歯ぎしりが強すぎる方はセラミックが割れてしまう可能性があります
 - 自費診療(保険適用外治療)となります
 
ワイヤー矯正の注意事項(リスク・副作用など)
- 治療中は違和感や痛みが起こることがあります
 - 症状により、抜歯が必要な場合があります
 - 治療中は歯磨きがしにくくなるため、虫歯や歯周病になりやすくなります
 - 矯正治療後の保定が不十分だと後戻り(元の位置に戻ろうとする動き)をします
 - 自費診療(保険適用外)となります
 
当サイトの内容、テキスト、画像等の無断転載、複製、複写、盗用を固く禁じます。

                      
                                                          















