症例詳細
Case detail
前歯がグラグラする 他院で、もうできることがないと言われた
- 患者様
- 20代女性
- 矯正装置
- 審美装置
- 治療期間
- 3年6ヶ月
- 治療回数
- 10-30回
- 治療計画
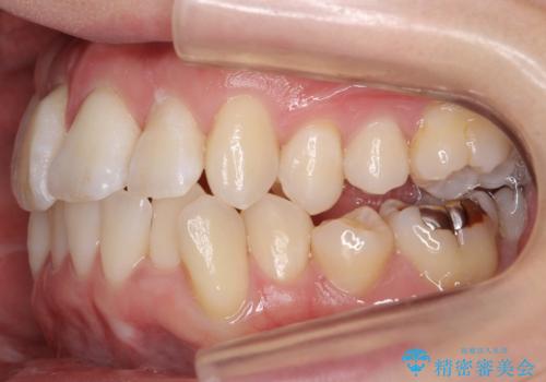
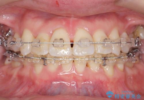
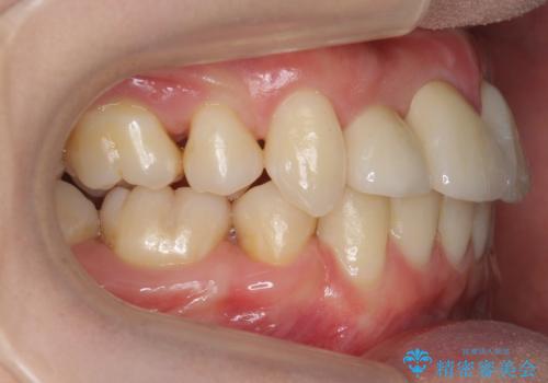
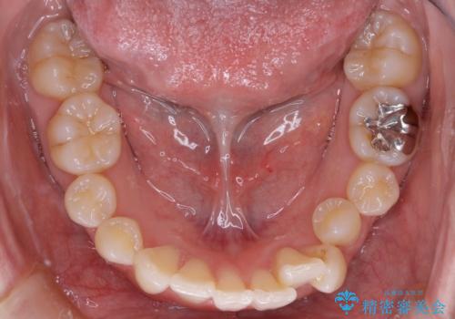
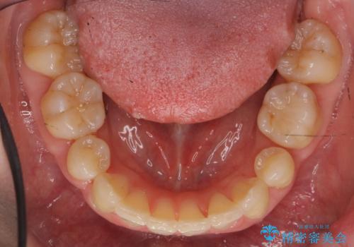
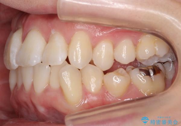
- 咬むと前歯がぐらつくとのことで来院。
他院で、前歯を接着剤で留めてもらったが、すぐ取れてしまい、もう対処のしようがないと言われたとのこと。
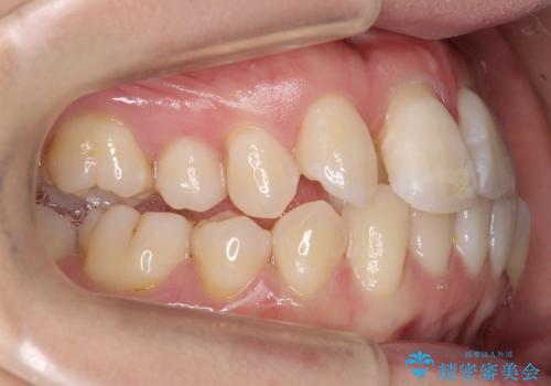
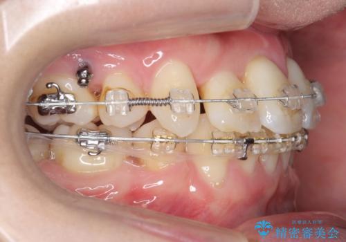
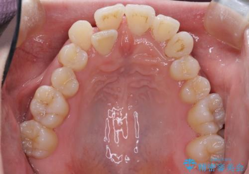
初診時には、奥歯がほとんど咬んでおらず、前歯が突き上げていました。
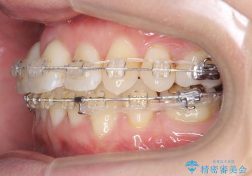
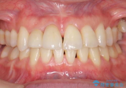
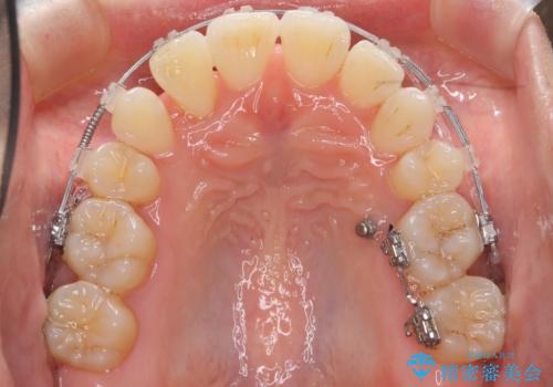
根本的には矯正治療で歯列やかみ合わせを整える治療とお話しし、主訴は歯並びではなかったですが、矯正治療を行うこととしました。
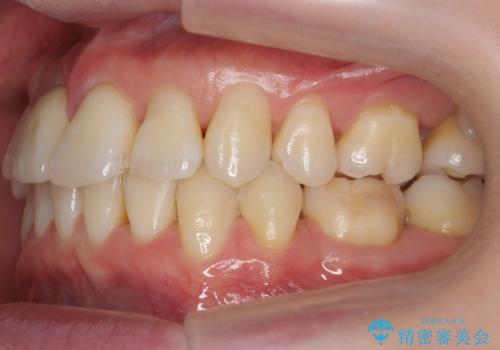
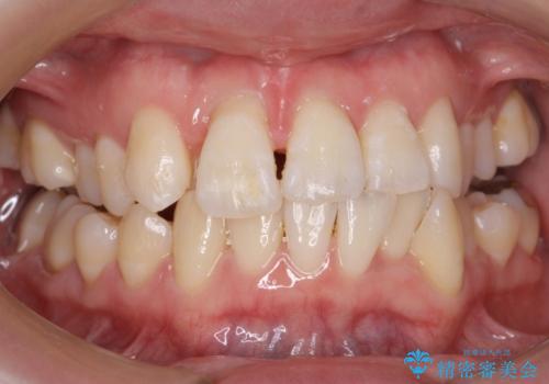
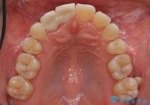
前歯の状態はあまり良くなかったですが、抜歯せず温存し、被せ物で2本繋げてぐらつきを抑えています。
治療自体はかなり難しく、時間がかかりましたが、しっかり治療しています。
- 費用(概算)
- 矯正治療 95万円、前歯セラミック 22万円(ジルコニアクラウン スタンダード 10万円x2本 仮歯 1万円x2本)費用は治療当時の料金となります
治療について
もし歯列矯正をせず前歯が抜けてしまった場合を考えますと、歯並びのがたつきがあり、ブリッジをするにも難しい設計となります。また、奥歯が咬んでいない状態でブリッジやインプラントをしても負担荷重で長くは持ちません。
そういった観点から長い目で見た場合に矯正治療が有益であるとご説明をし、非常に聡明な方で治療を開始することになりました。
ワイヤー矯正の注意事項(リスク・副作用など)
- 治療中は違和感や痛みが起こることがあります
- 症状により、抜歯が必要な場合があります
- 治療中は歯磨きがしにくくなるため、虫歯や歯周病になりやすくなります
- 矯正治療後の保定が不十分だと後戻り(元の位置に戻ろうとする動き)をします
- 自費診療(保険適用外)となります
セラミック治療の注意事項(リスク・副作用など)
- 天然歯を削ります
- 硬い素材は天然歯を傷つけてしまう場合があります
- かみ合わせや歯ぎしりが強すぎる方はセラミックが割れてしまう可能性があります
- 自費診療(保険適用外治療)となります
当サイトの内容、テキスト、画像等の無断転載、複製、複写、盗用を固く禁じます。

















