症例詳細
Case detail
インビザライン矯正とインプラント治療と 総合歯科治療
- 患者様
- 20代女性
- 矯正装置
- インビザライン
- 治療期間
- 2年5ヶ月
- 治療回数
- 10-30回
- 治療計画
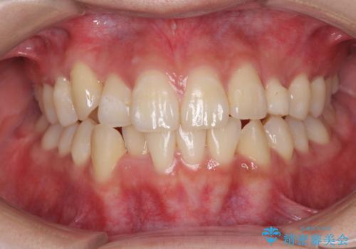
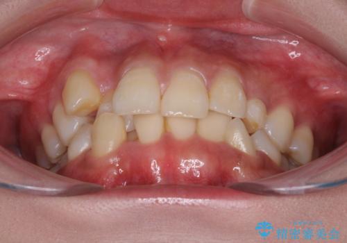
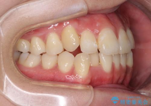
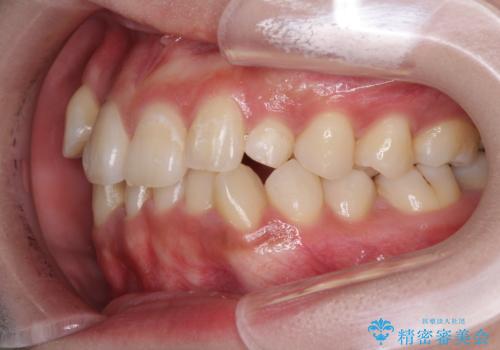
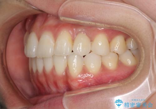
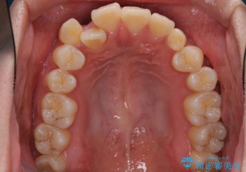
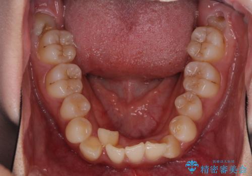
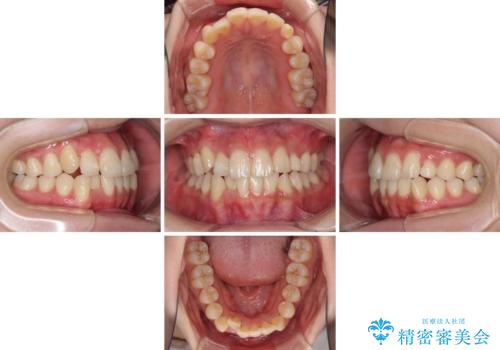
- 前歯のデコボコと残っている乳歯の部分へのインプラント治療を希望して来院された患者様です。
当初は目立たない上下裏側矯正を希望されていましたが、歯並びの悪さによる磨き残しが多く、歯肉炎が認められたため、より清潔な環境で治療を進められるインビザラインを選択することとしました。
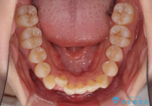
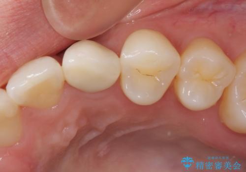
また、インプラント治療については、インビザラインによる矯正治療中の最適なタイミングで治療を行い、治療期間の短縮を図ることとしました。
インプラントは、治療期間を短くすることが可能な、ストローマン社のSLActiveを使用することとしました。
- 費用(概算)
- 治療費の目安: 130万円費用は治療当時の料金となります
治療について
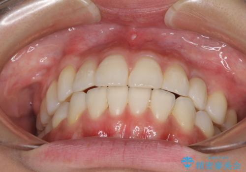
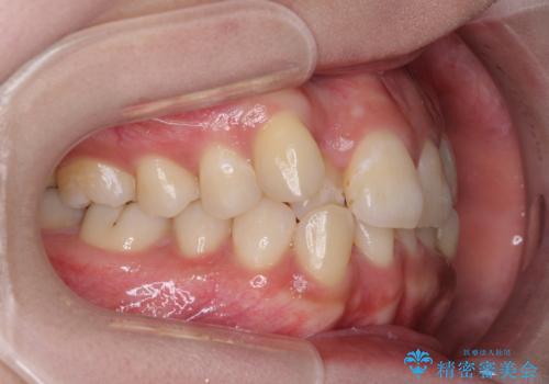
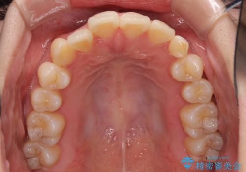
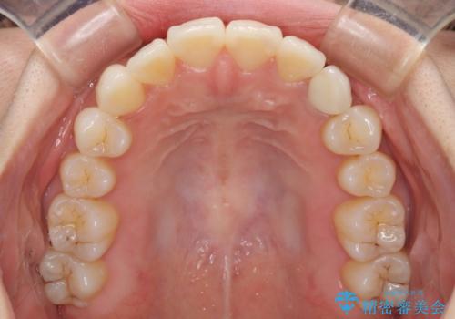
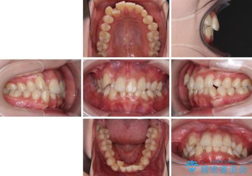
前歯のデコボコが強かったため、上の奥歯を後方に動かす量が多くなり、結果として2年以上の治療期間を擁することとなりました。
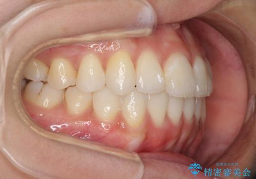
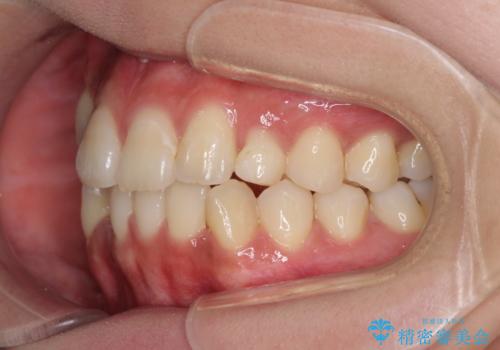
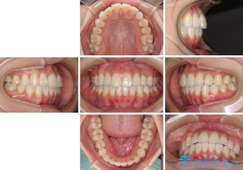
インプラント治療は当初の狙い通り、矯正治療期間中に行い、スムーズに処置を進めることができました。
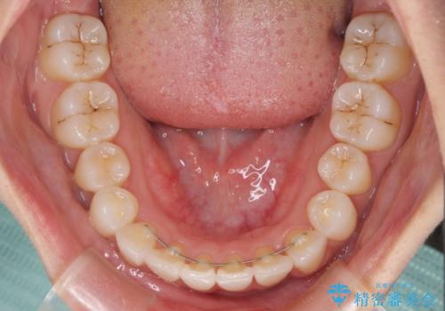
歯並びが整ったことで治療前に認められた歯肉炎は全くなくなり、患者様には大変満足していただきました。
マウスピース矯正の注意事項(リスク・副作用など)
- 口腔内・歯並びの状態によっては対応できない場合があります
- マウスピース型矯正装置の長時間装着(1日20時間以上)が必須です
- 治療計画通りに進めるためには、患者様の意志が重要になります
- 矯正治療後の保定が不十分だと後戻り(元の位置に戻ろうとする動き)をします
- 薬機法対象外の矯正歯科装置のため医薬品副作用被害救済制度の対象外となる場合があります
- 自費診療(保険適用外)となります
インプラント治療の注意事項(リスク・副作用など)
- 外科手術のため、術後に痛みや腫れ、違和感を伴います
- メンテナンスを怠ったり喫煙により、お口の中に大きな悪影響を及ぼすインプラント周囲炎等にかかる可能性があります
- 糖尿病、肝硬変、心臓病等の場合、インプラント治療ができない可能性があります
- 高血圧、貧血・不整脈等の場合、インプラント治療後に治癒不全を招く可能性があります
- 自費診療(保険適用外治療)となります
セラミック治療の注意事項(リスク・副作用など)
- 天然歯を削ります
- 硬い素材は天然歯を傷つけてしまう場合があります
- かみ合わせや歯ぎしりが強すぎる方はセラミックが割れてしまう可能性があります
- 自費診療(保険適用外治療)となります
当サイトの内容、テキスト、画像等の無断転載、複製、複写、盗用を固く禁じます。
































