症例詳細
Case detail
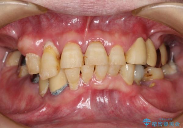
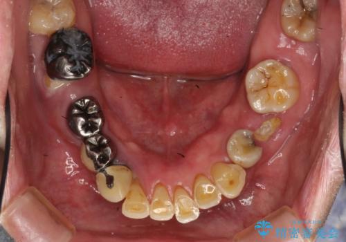
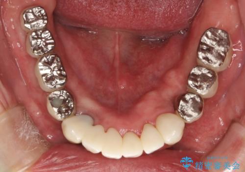
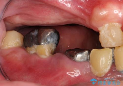
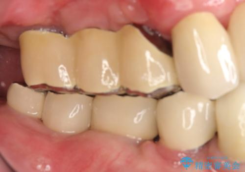
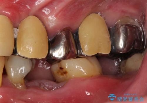
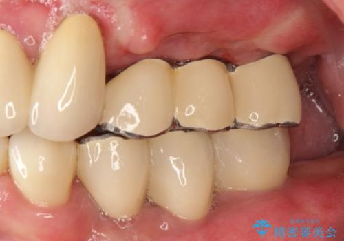
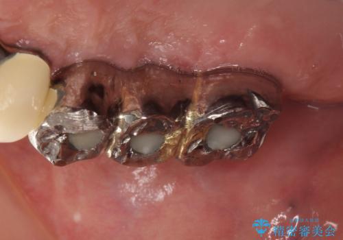
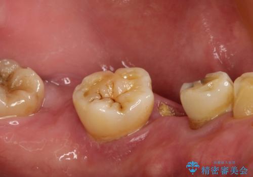
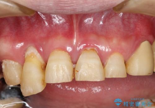
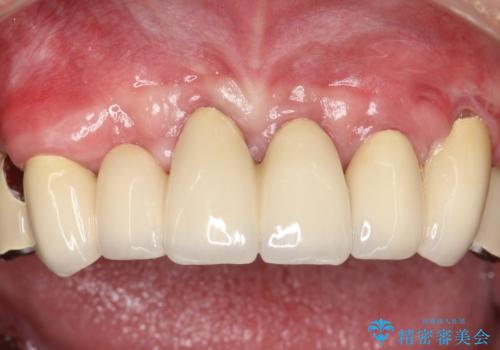
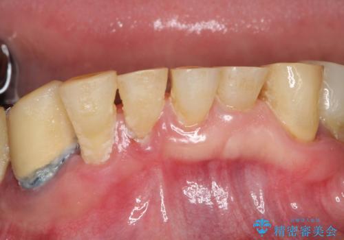
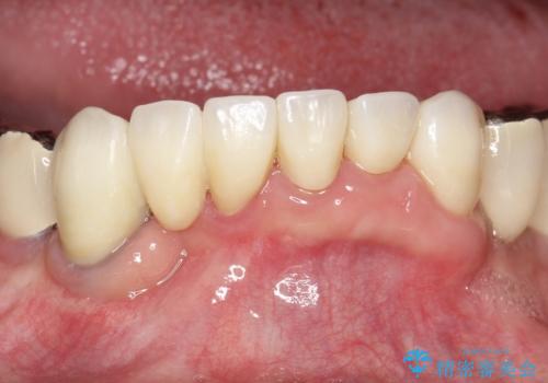
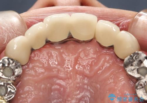
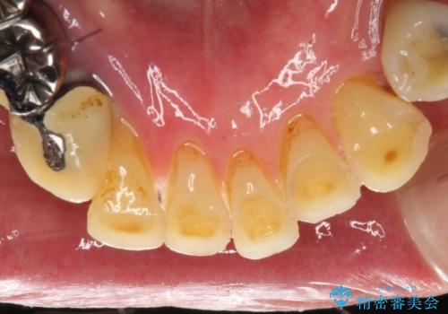
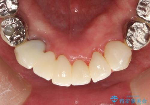
虫歯だらけ、歯周病 崩壊した口腔の再建 フルマウスリコンストラクション
- 患者様
- 50代男性
- 治療期間
- 3年6ヶ月
- 治療回数
- 30回以上
- 治療計画
- 歯周外科・インプラント・顕微鏡下根管治療などを含んだ総合的な治療を計画した。
- 費用(概算)
- 約510万円費用は治療当時の料金となります
治療について
様々な治療手段を高いレベルで同時に併行して行うことが必要でした。
費用・時間は多大にかかりましたが、今後しっかりと咬んで生活することができるでしょう。
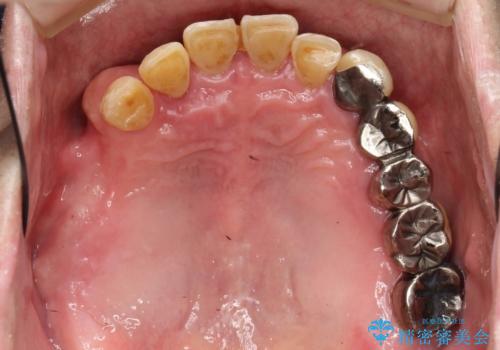
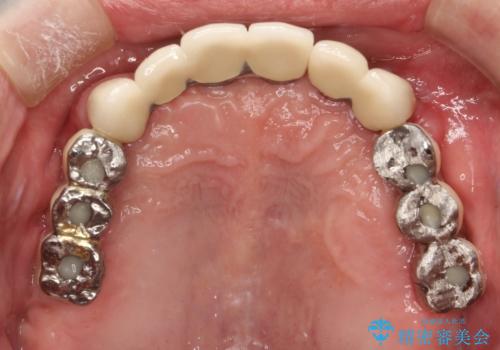
かみ合わせの力が非常に強く、夜間の歯ぎしり・食いしばりもひどかったため、奥歯はメタルオクルーザルの設計でかぶせ物を製作しています。
インプラントの種類:Bicon / Zimmer spline
かぶせ物の種類:PFZ / PFM metal occlusal  
根管治療の注意事項(リスク・副作用など)
- 根管治療により類似の全ての症例の問題が解決するわけではなく、症例はあくまでも一例です
- 根管治療により痛みや腫れがひかない事や、術後に痛みや腫れが生じる事、治療によるファイル破折やパーフォレーションなどの偶発症、術後の歯根破折を生じる可能性もあります
- 自費診療(保険適用外)となります
インプラント治療の注意事項(リスク・副作用など)
- 外科手術のため、術後に痛みや腫れ、違和感を伴います
- メンテナンスを怠ったり喫煙により、お口の中に大きな悪影響を及ぼすインプラント周囲炎等にかかる可能性があります
- 糖尿病、肝硬変、心臓病等の場合、インプラント治療ができない可能性があります
- 高血圧、貧血・不整脈等の場合、インプラント治療後に治癒不全を招く可能性があります
- 自費診療(保険適用外治療)となります
歯周病治療の注意事項(リスク・副作用など)
- 外科手術のため、術後に痛みや腫れ、違和感を伴います
- 歯周組織再生治療は患者様の状態によって術後の経過が異なります(見た目が改善しない場合もあります)
- 歯周組織再生治療は自費診療(保険適用外)となります
セラミック治療の注意事項(リスク・副作用など)
- 天然歯を削ります
- 硬い素材は天然歯を傷つけてしまう場合があります
- かみ合わせや歯ぎしりが強すぎる方はセラミックが割れてしまう可能性があります
- 自費診療(保険適用外治療)となります
当サイトの内容、テキスト、画像等の無断転載、複製、複写、盗用を固く禁じます。








 
                       
                                                          





























 
                   
                   
                  