症例詳細
Case detail
前歯のすきま 矯正治療とセラミックで小さな歯を形良く
- 患者様
- 10代女子
- 矯正装置
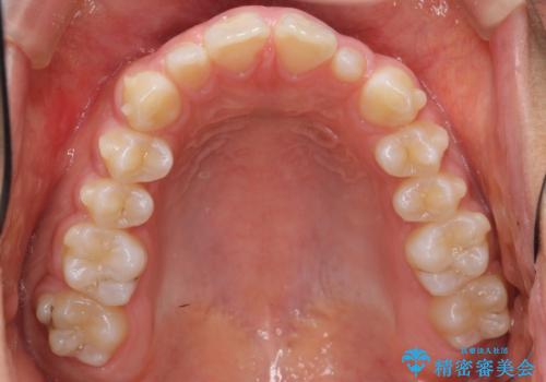
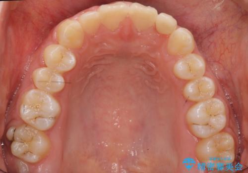
- インビザライン フル
- 治療期間
- 1年8ヶ月
- 治療回数
- 10-30回
- 治療計画
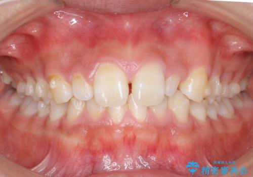
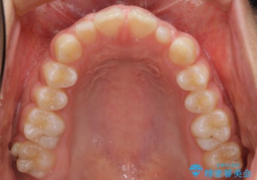
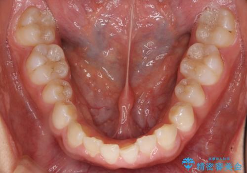
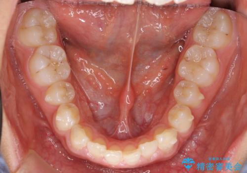
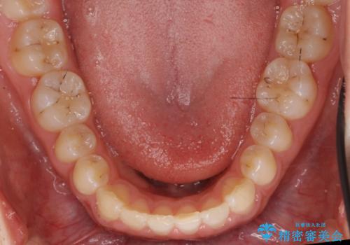
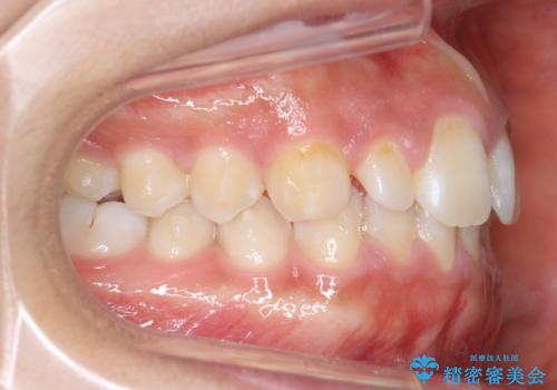
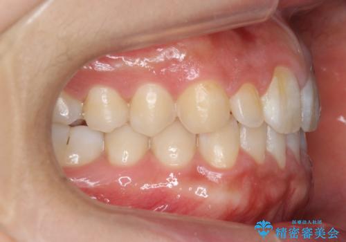
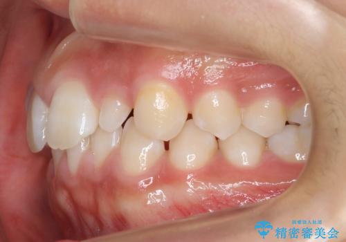
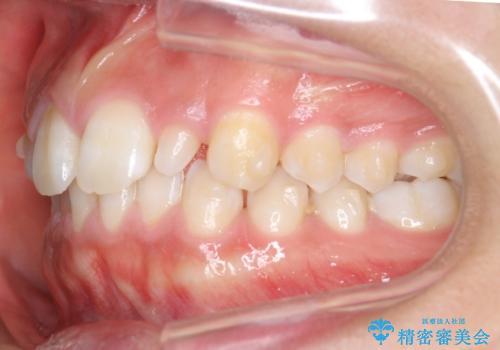
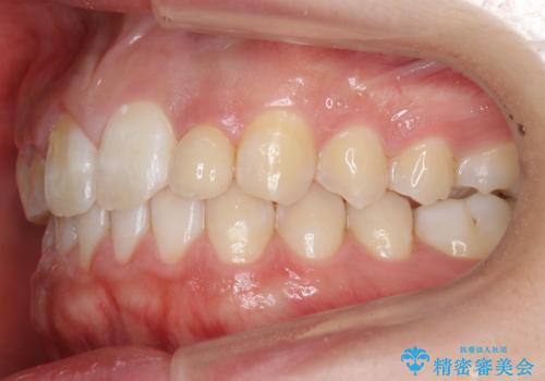
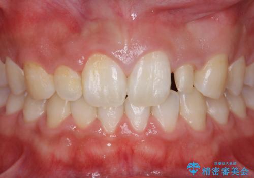
- 前歯のすきまを気にして来院。
左上の2番が生まれつき小さく、スペースが余っていました。
右上の2番もやや小さめでしたが、相談の上、左上2番のみセラミックで形を整えることとしました。
そのほかの隙間はマウスピース矯正で閉じることにしました。
- 費用(概算)
- 総額99万円 (矯正治療:85万円 左上2:ジルコニアクラウン スペシャル 13万円、仮歯 1万円)費用は治療当時の料金となります
治療について
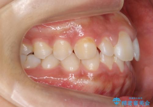
当初はワイヤー矯正を希望されていましたが、右上7番の頬側に咬頭があり、ブラケットを貼ることが難しいため、こちらからマウスピース矯正をお勧めしました。
マウスピース矯正の注意事項(リスク・副作用など)
- 口腔内・歯並びの状態によっては対応できない場合があります
- マウスピース型矯正装置の長時間装着(1日20時間以上)が必須です
- 治療計画通りに進めるためには、患者様の意志が重要になります
- 矯正治療後の保定が不十分だと後戻り(元の位置に戻ろうとする動き)をします
- 薬機法対象外の矯正歯科装置のため医薬品副作用被害救済制度の対象外となる場合があります
- 自費診療(保険適用外)となります
当サイトの内容、テキスト、画像等の無断転載、複製、複写、盗用を固く禁じます。


















