症例詳細
Case detail
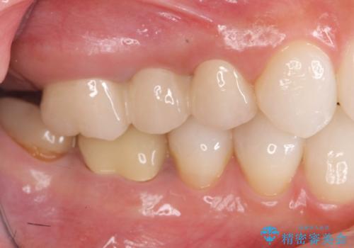
[ 重度虫歯治療 ] ブリッジ・インプラントによる咬合・審美回復②
- 患者様
- 40代男性
- 治療期間
- 1年
- 治療回数
- 5-10回
- 治療計画
- 「歯がグラグラし、痛みもあり噛めない、全体的に治療してほしい」との旨で来院されました。
X線写真・視診より、歯の破折・欠損・虫歯等複合的な問題が見られます。
審美性・機能性を回復すべくインプラント・ブリッジを用いた治療計画を立案します。
初診時 ー 最終補綴前の状態 ー 最終補綴時
初診時 ー インプラント埋入 ー 仮歯の装着
→https://seimitsushinbi.jp/case/25423/
- 費用(概算)
- 100万円(インプラント・骨造成・セラミッククラウン・ブリッジ作製費として)費用は治療当時の料金となります
前歯のブリッジ・インプラント治療について
前歯にブリッジ・インプラント治療を行う際は奥歯のしっかりとした咬合が必須です。奥歯がない場合、下の前歯がつき上げることにより過大な力がかかり早期に歯の破折やインプラントの脱落が起きることが予想されます。
セラミック治療の注意事項(リスク・副作用など)
- 天然歯を削ります
- 硬い素材は天然歯を傷つけてしまう場合があります
- かみ合わせや歯ぎしりが強すぎる方はセラミックが割れてしまう可能性があります
- 自費診療(保険適用外治療)となります
インプラント治療の注意事項(リスク・副作用など)
- 外科手術のため、術後に痛みや腫れ、違和感を伴います
- メンテナンスを怠ったり喫煙により、お口の中に大きな悪影響を及ぼすインプラント周囲炎等にかかる可能性があります
- 糖尿病、肝硬変、心臓病等の場合、インプラント治療ができない可能性があります
- 高血圧、貧血・不整脈等の場合、インプラント治療後に治癒不全を招く可能性があります
- 自費診療(保険適用外治療)となります
当サイトの内容、テキスト、画像等の無断転載、複製、複写、盗用を固く禁じます。

![[ 重度虫歯治療 ] ブリッジ・インプラントによる咬合・審美回復②の治療前](https://seimitsushinbi.jp/wp/wp-content/uploads/2018/11/14cf4ceb8b9ef16d1f5f8516f2747d8f-1-500x350.jpg)
![[ 重度虫歯治療 ] ブリッジ・インプラントによる咬合・審美回復②の治療中](https://seimitsushinbi.jp/wp/wp-content/uploads/2018/11/ce164a186276ef5dd0a35b834f523ba7-500x350.jpg)
![[ 重度虫歯治療 ] ブリッジ・インプラントによる咬合・審美回復②の治療後](https://seimitsushinbi.jp/wp/wp-content/uploads/2018/11/567c5f037d16153ed793710ae727be41-500x350.jpg)
![[ 重度虫歯治療 ] ブリッジ・インプラントによる咬合・審美回復②の治療前](https://seimitsushinbi.jp/wp/wp-content/uploads/2018/11/602c1b2801e27d5524f18641890b587f-500x350.jpg)
![[ 重度虫歯治療 ] ブリッジ・インプラントによる咬合・審美回復②の治療中](https://seimitsushinbi.jp/wp/wp-content/uploads/2018/11/CI80-side-500x350.jpg)
![[ 重度虫歯治療 ] ブリッジ・インプラントによる咬合・審美回復②の治療後](https://seimitsushinbi.jp/wp/wp-content/uploads/2018/11/CI83-side-500x350.jpg)
![[ 重度虫歯治療 ] ブリッジ・インプラントによる咬合・審美回復②の治療前](https://seimitsushinbi.jp/wp/wp-content/uploads/2018/11/fa6473e2b0f0dbdfd39316d9a2e418c3-500x350.jpg)
![[ 重度虫歯治療 ] ブリッジ・インプラントによる咬合・審美回復②の治療中](https://seimitsushinbi.jp/wp/wp-content/uploads/2018/11/50a3b74ecf3be5832b2137408b4ea1d6-500x350.jpg)
![[ 重度虫歯治療 ] ブリッジ・インプラントによる咬合・審美回復②の治療後](https://seimitsushinbi.jp/wp/wp-content/uploads/2018/11/bfb901969fa9486ed358112ebf2b0238-500x350.jpg)
![[ 重度虫歯治療 ] ブリッジ・インプラントによる咬合・審美回復②の治療前](https://seimitsushinbi.jp/wp/wp-content/uploads/2018/11/6b0d75e09c68c8cdc62dbeac46a28cd7-1-500x350.jpg)
![[ 重度虫歯治療 ] ブリッジ・インプラントによる咬合・審美回復②の治療中](https://seimitsushinbi.jp/wp/wp-content/uploads/2018/11/2bb29f927097333ed03ae53febd36d93-500x350.jpg)
![[ 重度虫歯治療 ] ブリッジ・インプラントによる咬合・審美回復②の治療後](https://seimitsushinbi.jp/wp/wp-content/uploads/2018/11/6f977f9491c70ca19bdd3eea3f0c15e2-500x350.jpg)
![[ 重度虫歯治療 ] ブリッジ・インプラントによる咬合・審美回復②の治療前](https://seimitsushinbi.jp/wp/wp-content/uploads/2018/11/183a107201580f430f5237c8256021c7-1-500x350.jpg)
![[ 重度虫歯治療 ] ブリッジ・インプラントによる咬合・審美回復②の治療中](https://seimitsushinbi.jp/wp/wp-content/uploads/2018/11/3122f2032a5d566d337b54da8cb97260-500x350.jpg)
![[ 重度虫歯治療 ] ブリッジ・インプラントによる咬合・審美回復②の治療後](https://seimitsushinbi.jp/wp/wp-content/uploads/2018/11/0ed2937dda8bcc9890a185c8b04555cc-500x350.jpg)