症例詳細
Case detail
【インビザラインとワイヤー矯正】がたつきと噛み合わせを改善!
治療症例の内容
- 患者様
- 20代女性
- 矯正装置
- インビザライン・ワイヤー装置(クリア装置)
- 治療期間
- 1年6ヶ月
- 治療回数
- 10-30回
- 治療計画
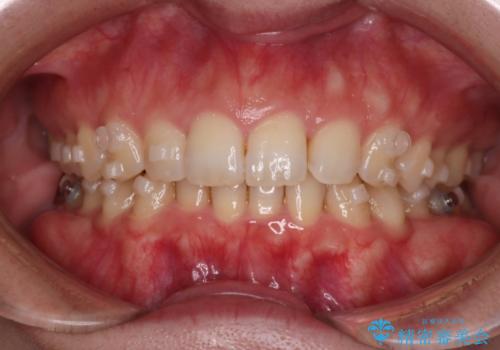
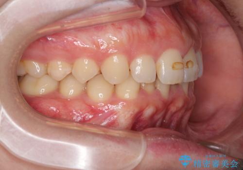
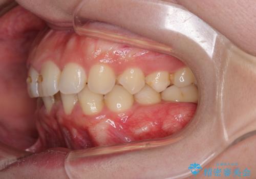
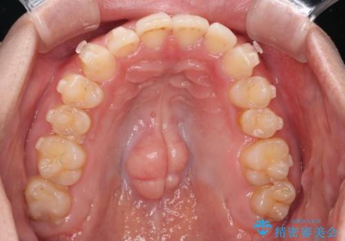
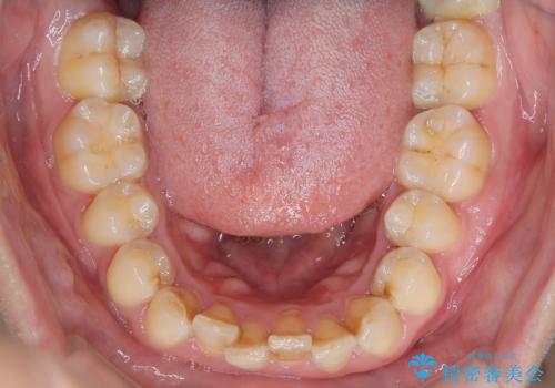
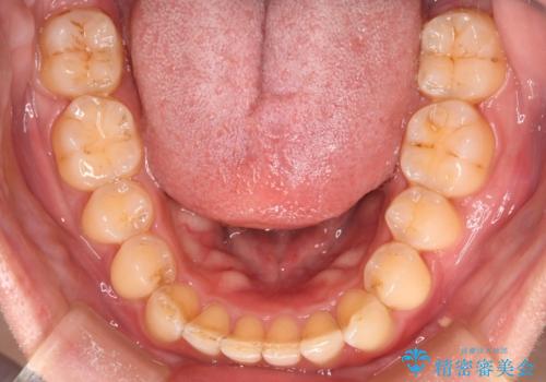
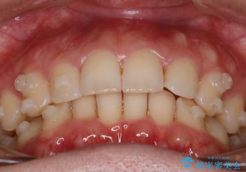
- 下の歯のがたつきを主訴に来院されました。
下の歯のがたつきと右の奥歯の噛みあわせ改善するために治療計画を立てることにしました。
右側臼歯部の咬合改善のために、臼歯部のみ部分的なワイヤー矯正を行い、咬合改善がみられてからインビザラインにて全体的な矯正を行なっていく治療計画を立てました。
- 費用(概算)
- 66万円(税込)費用は治療当時の料金となります
治療について
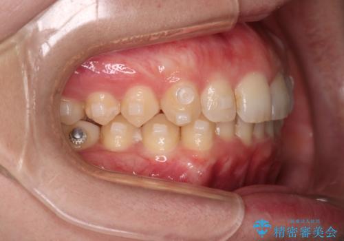
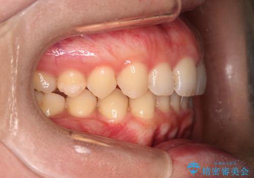
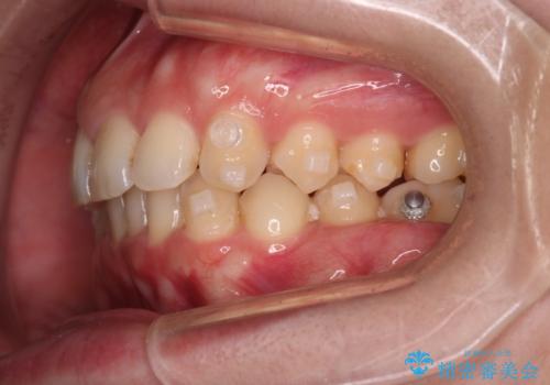
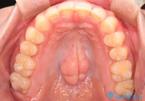
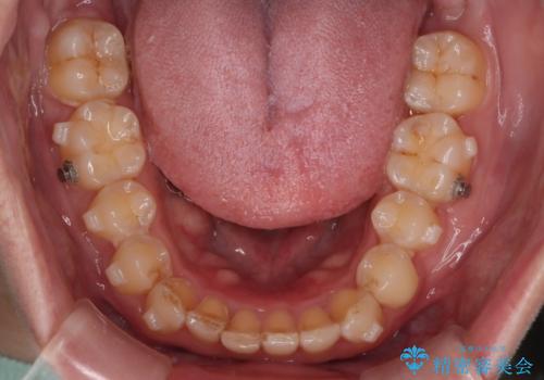
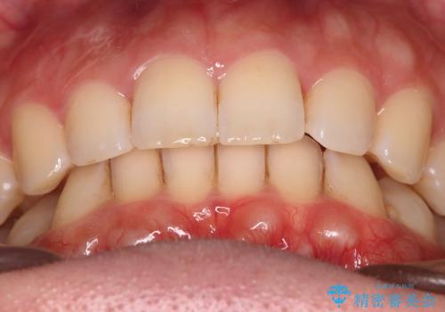
噛み合わせをよくするために、ワイヤー矯正とインビザライン矯正のどちらの期間も必要な箇所にゴム掛けを行いながら治療を行いました。
下の前歯のがたつき改善にはIPR(歯と歯の間を削る処置)を行いました。
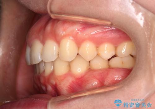
ゴム掛けを頑張っていただいたので、噛みあわせも改善され綺麗な歯並びになりました。
ワイヤー矯正の注意事項(リスク・副作用など)
- 治療中は違和感や痛みが起こることがあります
- 症状により、抜歯が必要な場合があります
- 治療中は歯磨きがしにくくなるため、虫歯や歯周病になりやすくなります
- 矯正治療後の保定が不十分だと後戻り(元の位置に戻ろうとする動き)をします
- 自費診療(保険適用外)となります
マウスピース矯正の注意事項(リスク・副作用など)
- 口腔内・歯並びの状態によっては対応できない場合があります
- マウスピース型矯正装置の長時間装着(1日20時間以上)が必須です
- 治療計画通りに進めるためには、患者様の意志が重要になります
- 矯正治療後の保定が不十分だと後戻り(元の位置に戻ろうとする動き)をします
- 薬機法対象外の矯正歯科装置のため医薬品副作用被害救済制度の対象外となる場合があります
- 自費診療(保険適用外)となります
当サイトの内容、テキスト、画像等の無断転載、複製、複写、盗用を固く禁じます。




















