症例詳細
Case detail
捻転の強い前歯 ワイヤー装置での非抜歯矯正
治療症例の内容
- 担当医
- 藤巻太一朗(ドクタープロフィール)
- 患者様
- 20代女性
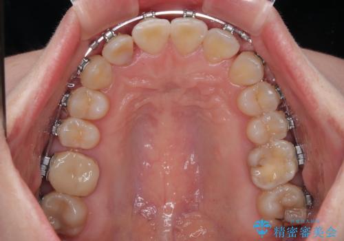
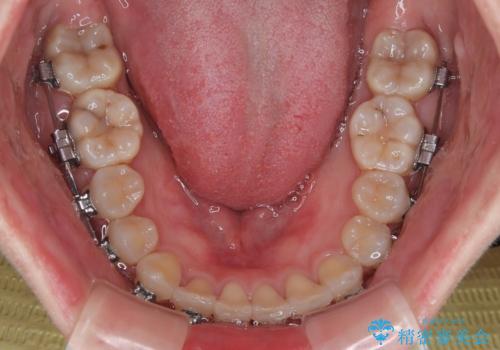
- 矯正装置
- メタルブラケット
- 治療期間
- 1年7ヶ月
- 治療回数
- 10-30回
- 治療計画
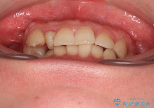
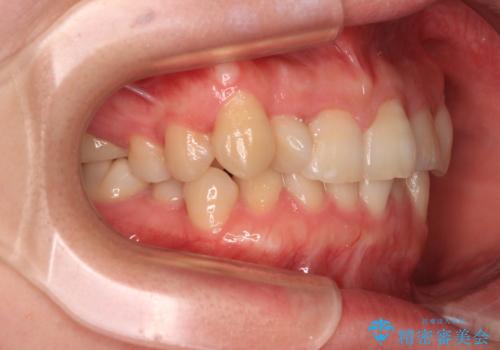
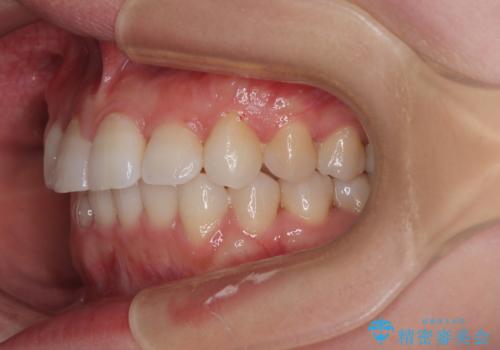
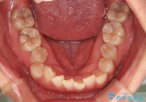
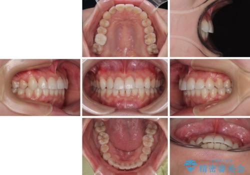
- 前歯のデコボコ、特に90度捻れている上顎前歯を気にして来院された患者様です。
マウスピースでもワイヤーでも対応可能でしたら、捻転が非常に強いことから、患者様と相談の上ワイヤー装置にて矯正治療を行うこととしました。
捻転を解消する際に、歯列全体が前方に突出して出っ歯の仕上がりとなることが懸念されたため、補助装置を用いて上顎歯列全体を後方に移動する力をかけることとしました。
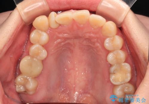
適合や携帯の悪いプラスチックのクラウンが装着されていたため、矯正治療後にオールセラミッククラウンによる補綴治療を行うこととしました。
- 費用(概算)
- 105万円(税込)費用は治療当時の料金となります
治療について
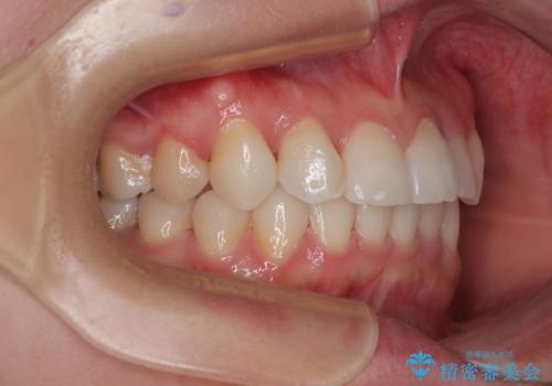
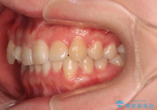
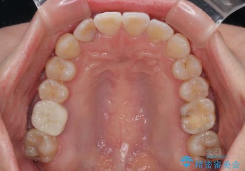
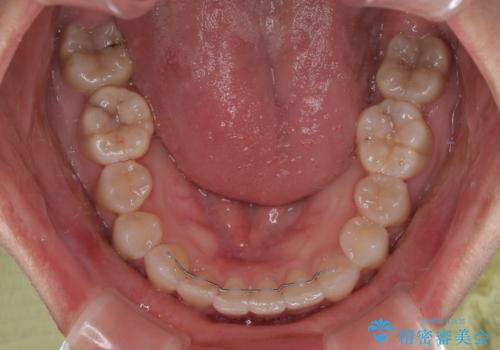
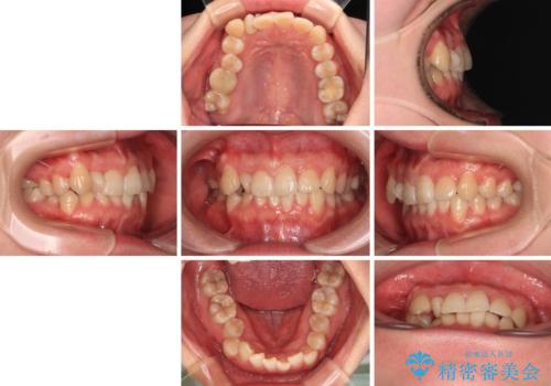
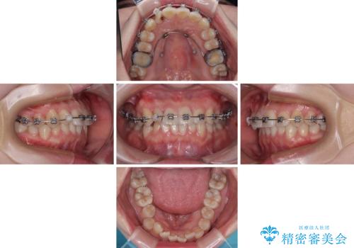
当初予定通り1年半ほどの治療期間で、非常に綺麗な歯列に仕上げることができました。
ワイヤー矯正の注意事項(リスク・副作用など)
- 治療中は違和感や痛みが起こることがあります
- 症状により、抜歯が必要な場合があります
- 治療中は歯磨きがしにくくなるため、虫歯や歯周病になりやすくなります
- 矯正治療後の保定が不十分だと後戻り(元の位置に戻ろうとする動き)をします
- 自費診療(保険適用外)となります
セラミック治療の注意事項(リスク・副作用など)
- 天然歯を削ります
- 硬い素材は天然歯を傷つけてしまう場合があります
- かみ合わせや歯ぎしりが強すぎる方はセラミックが割れてしまう可能性があります
- 自費診療(保険適用外治療)となります
当サイトの内容、テキスト、画像等の無断転載、複製、複写、盗用を固く禁じます。



























