症例詳細
Case detail
膨らんだ口元を改善する抜歯矯正 インプラント治療も同時に行う総合歯科治療
- 患者様
- 20代女性
- 矯正装置
- 審美装置
- 治療期間
- 3年8ヶ月
- 治療回数
- 30回以上
- 治療計画
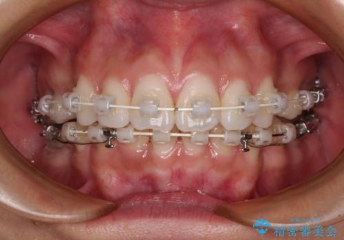
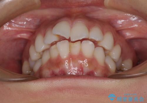
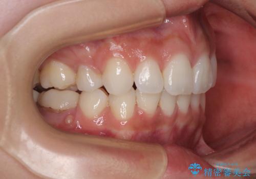
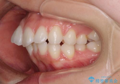
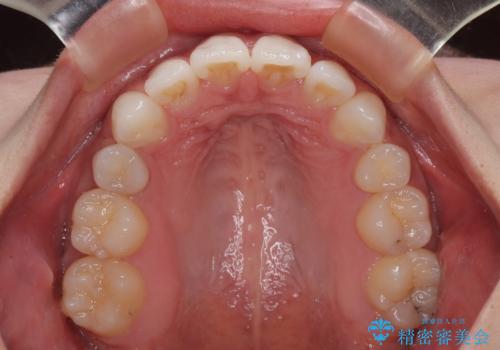
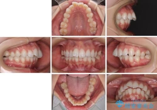
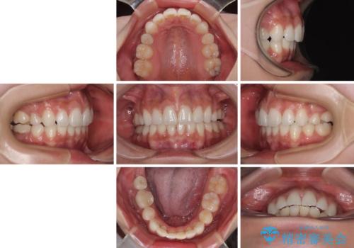
- 口元の突出感を気にして来院された患者様です。
左右ともに奥歯の咬み合わせに問題があり、上顎臼歯が前方位にある状態で、結果として上顎前歯全体が前方位かつ叢生になっていました。
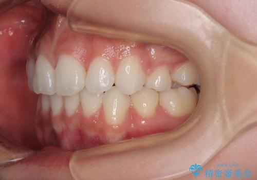
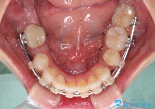
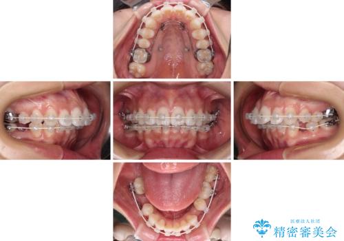
補助装置を用いて上顎歯列全体を後方に移動させ、下顎は左右で抜歯する小臼歯を変えることで、左右の咬み合わせをより理想的な位置となるように計画しました。
埋伏している右下第二大臼歯は、牽引して咬合に参加させることで計画しましたが、癒着などにより移動困難な場合には、抜歯の上インプラント補綴治療を行うこととしました。
- 費用(概算)
- 160万円(税込)費用は治療当時の料金となります
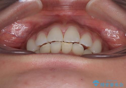
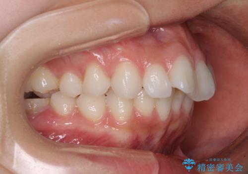
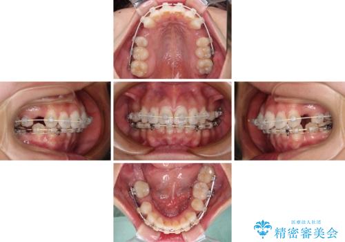
治療について
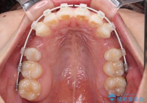
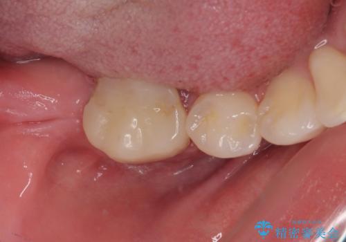
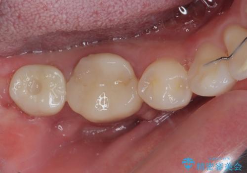
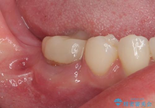
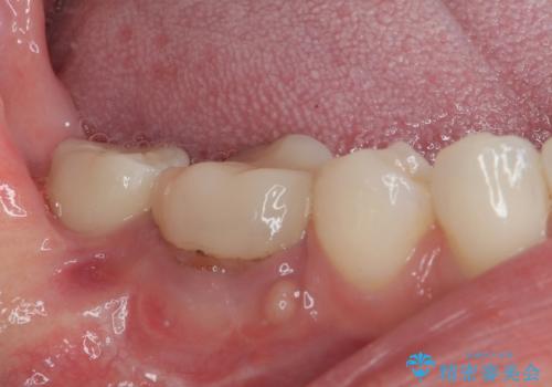
右下の埋伏歯はやはり癒着しており、抜歯の後にインプラントを埋入することとなりました。
埋伏歯の牽引や、奥歯の咬み合わせ改善、インプラント補綴治療と治療期間が延びてしまう要素が多く、治療は難航しましたが、最終的に非常に満足のいく仕上がりとなりました。
ワイヤー矯正の注意事項(リスク・副作用など)
- 治療中は違和感や痛みが起こることがあります
- 症状により、抜歯が必要な場合があります
- 治療中は歯磨きがしにくくなるため、虫歯や歯周病になりやすくなります
- 矯正治療後の保定が不十分だと後戻り(元の位置に戻ろうとする動き)をします
- 自費診療(保険適用外)となります
インプラント治療の注意事項(リスク・副作用など)
- 外科手術のため、術後に痛みや腫れ、違和感を伴います
- メンテナンスを怠ったり喫煙により、お口の中に大きな悪影響を及ぼすインプラント周囲炎等にかかる可能性があります
- 糖尿病、肝硬変、心臓病等の場合、インプラント治療ができない可能性があります
- 高血圧、貧血・不整脈等の場合、インプラント治療後に治癒不全を招く可能性があります
- 自費診療(保険適用外治療)となります
当サイトの内容、テキスト、画像等の無断転載、複製、複写、盗用を固く禁じます。



































