症例詳細
Case detail
気になっていたむし歯と前歯のデコボコ 矯正治療とむし歯治療の総合歯科治療
治療症例の内容
- 患者様
- 20代女性
- 矯正装置
- 審美装置
- 治療期間
- 4年2ヶ月
- 治療回数
- 30回以上
- 治療計画
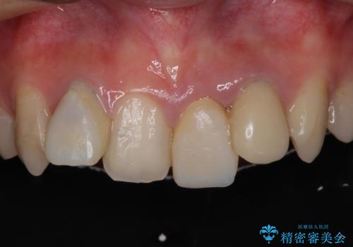
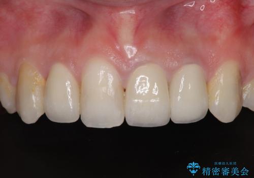
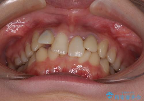
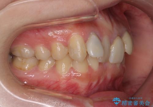
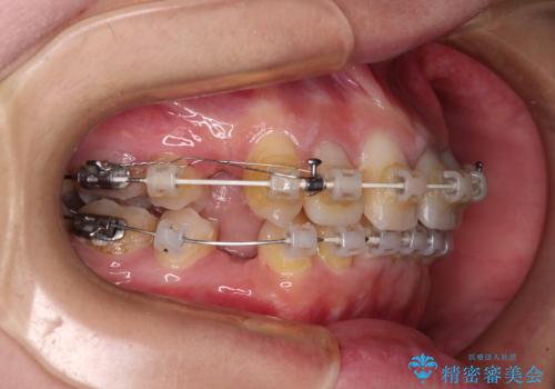
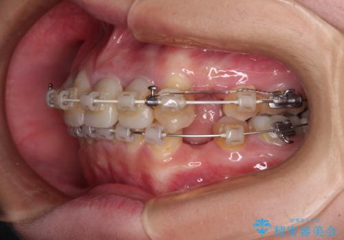
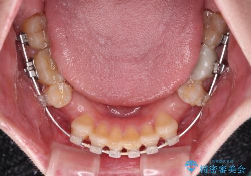
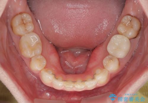
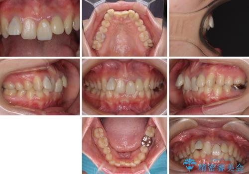
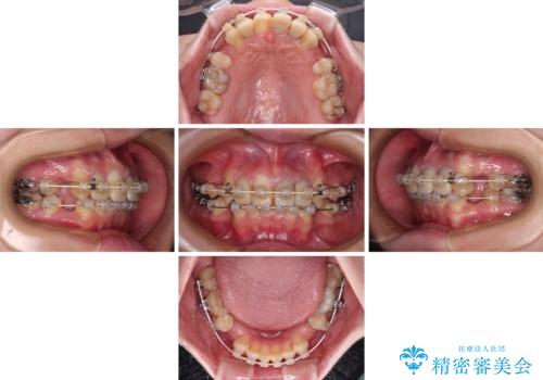
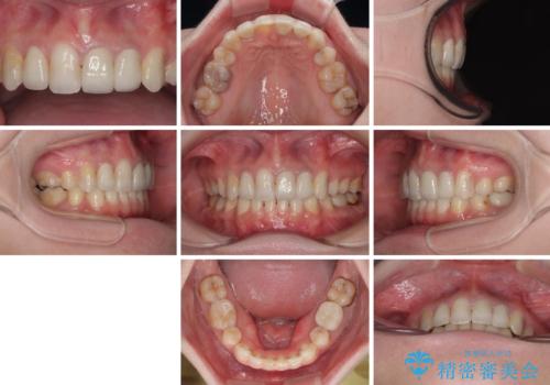
- 前歯のデコボコと、その結果むし歯が進行していることを気にして来院された患者様です。
前歯や奥歯の根管治療を行い、その後上下左右の第一小臼歯4本を抜歯してワイヤー装置にて矯正治療を行うこととしました。
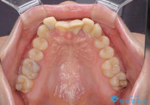
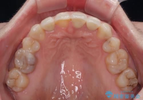
矯正治療後には、根管治療を行った歯をオールセラミッククラウンにて補綴治療を行うこととしました。
- 費用(概算)
- 185万円(税込)費用は治療当時の料金となります
治療について
治療途中で激務の会社に就職することとなり、なかなか矯正治療に通院することができなくなり、治療期間が想定の2倍近くとなりましたが、無事に満足のいく形で治療を終えることができました。
ワイヤー矯正の注意事項(リスク・副作用など)
- 治療中は違和感や痛みが起こることがあります
- 症状により、抜歯が必要な場合があります
- 治療中は歯磨きがしにくくなるため、虫歯や歯周病になりやすくなります
- 矯正治療後の保定が不十分だと後戻り(元の位置に戻ろうとする動き)をします
- 自費診療(保険適用外)となります
セラミック治療の注意事項(リスク・副作用など)
- 天然歯を削ります
- 硬い素材は天然歯を傷つけてしまう場合があります
- かみ合わせや歯ぎしりが強すぎる方はセラミックが割れてしまう可能性があります
- 自費診療(保険適用外治療)となります
当サイトの内容、テキスト、画像等の無断転載、複製、複写、盗用を固く禁じます。




























