症例詳細
Case detail
銀歯を白くしたい 一緒に矯正治療も行ない美しい口腔内に
- 患者様
- 30代男性
- 矯正装置
- 審美装置
- 治療期間
- 2年3ヶ月
- 治療回数
- 30回以上
- 治療計画
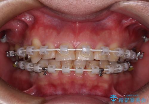
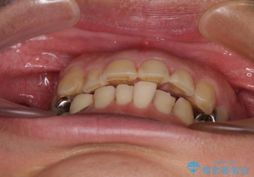
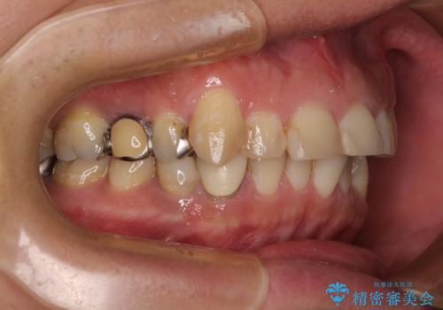
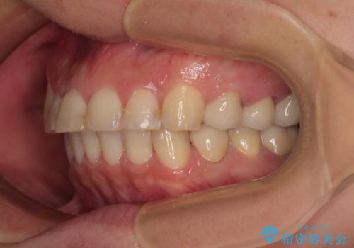
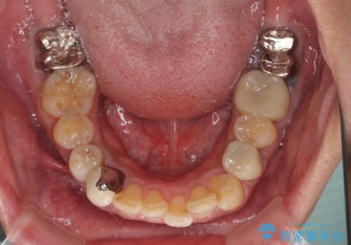
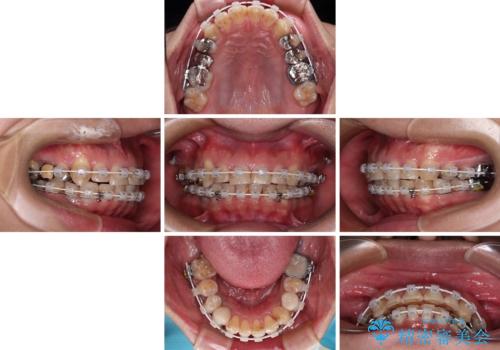
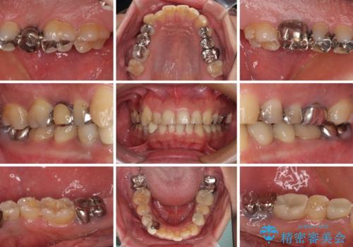
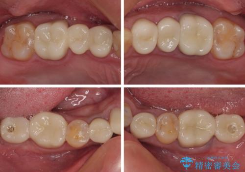
- 近医にて下顎奥歯の抜歯が必要と言われたとのことで来院された患者様です。
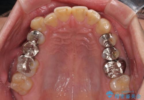
診察の結果、奥歯は左右ともに抜歯が必要な状態でした。
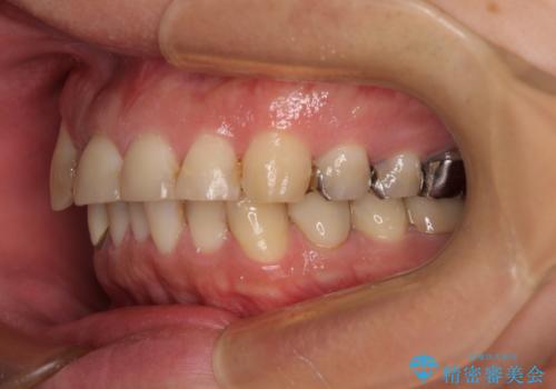
他の銀歯も気になっており、セラミックにしたいとの要望があり、詳しくお話をすると、デコボコの歯ならびも整えたいとのことでした。
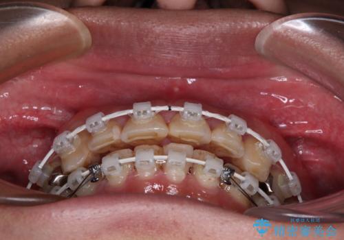
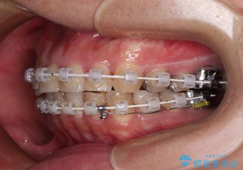
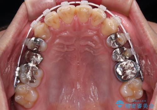
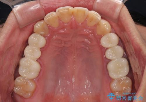
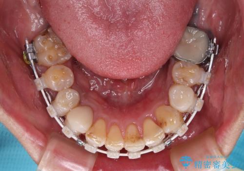
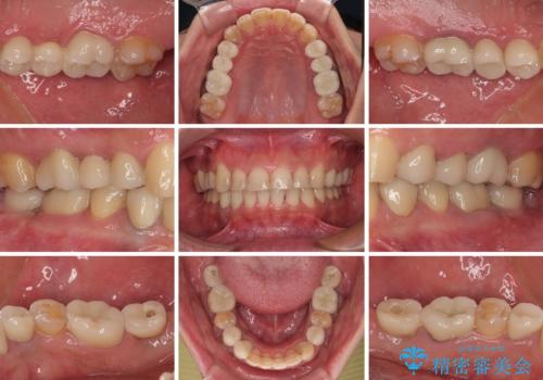
抜歯が必要な歯は事前に抜歯をし、その後ワイヤー装置にて歯列矯正を行い、途中でインプラントを埋入し、オールセラミッククラウンにて補綴治療を行うこととしました。
- 費用(概算)
- 300万円(税込)費用は治療当時の料金となります
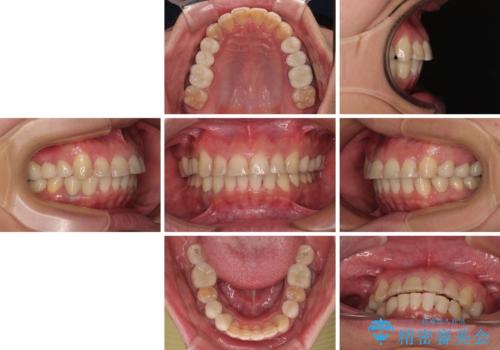
治療について
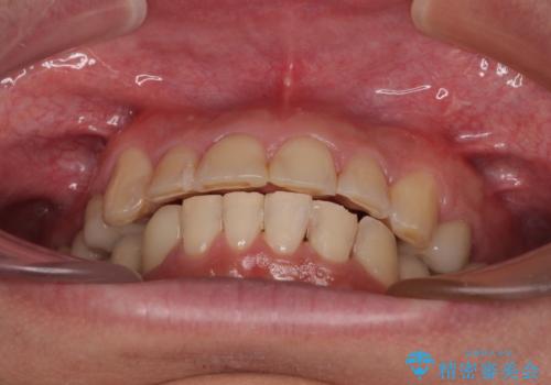
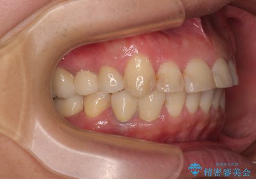
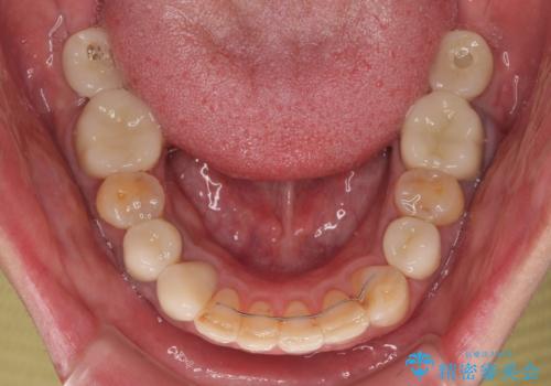
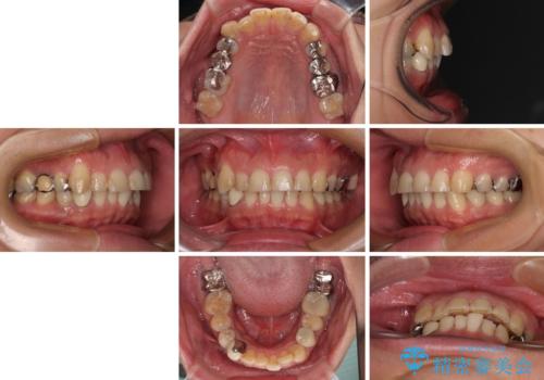
矯正治療にやや時間がかかりましたが、歯列はきれいに整い、気になっていたむし歯や銀歯は自然な色合いに仕上がりました。
ワイヤー矯正の注意事項(リスク・副作用など)
- 治療中は違和感や痛みが起こることがあります
- 症状により、抜歯が必要な場合があります
- 治療中は歯磨きがしにくくなるため、虫歯や歯周病になりやすくなります
- 矯正治療後の保定が不十分だと後戻り(元の位置に戻ろうとする動き)をします
- 自費診療(保険適用外)となります
インプラント治療の注意事項(リスク・副作用など)
- 外科手術のため、術後に痛みや腫れ、違和感を伴います
- メンテナンスを怠ったり喫煙により、お口の中に大きな悪影響を及ぼすインプラント周囲炎等にかかる可能性があります
- 糖尿病、肝硬変、心臓病等の場合、インプラント治療ができない可能性があります
- 高血圧、貧血・不整脈等の場合、インプラント治療後に治癒不全を招く可能性があります
- 自費診療(保険適用外治療)となります
セラミック治療の注意事項(リスク・副作用など)
- 天然歯を削ります
- 硬い素材は天然歯を傷つけてしまう場合があります
- かみ合わせや歯ぎしりが強すぎる方はセラミックが割れてしまう可能性があります
- 自費診療(保険適用外治療)となります
当サイトの内容、テキスト、画像等の無断転載、複製、複写、盗用を固く禁じます。































