症例詳細
Case detail
奥歯の欠損と前歯のデコボコを治したい インプラントと矯正治療の総合歯科治療
- 患者様
- 50代男性
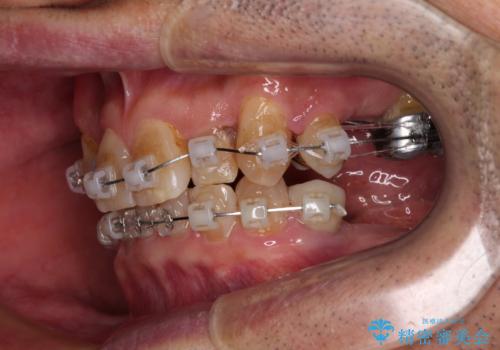
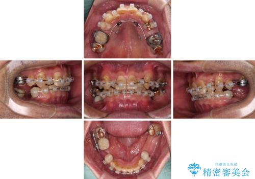
- 矯正装置
- クリアブラケット
- 治療期間
- 3年4ヶ月
- 治療回数
- 30回以上
- 治療計画
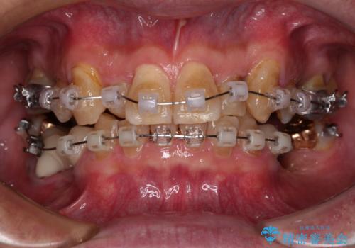
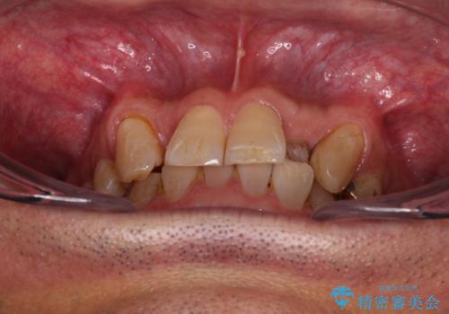
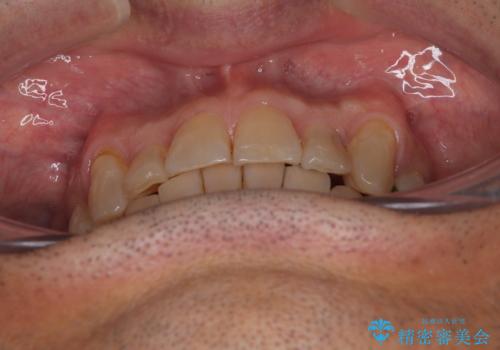
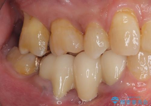
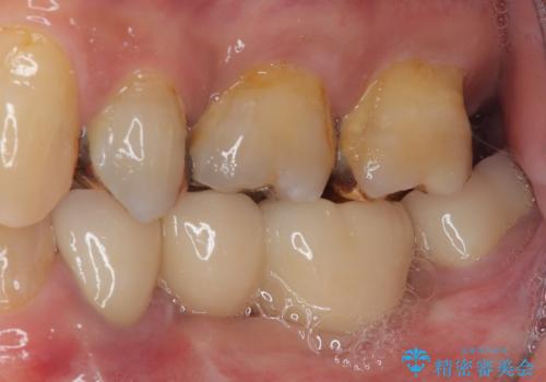
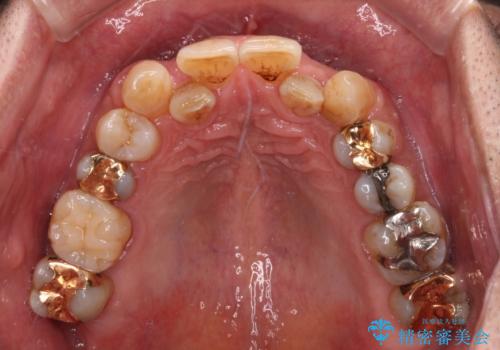
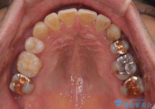
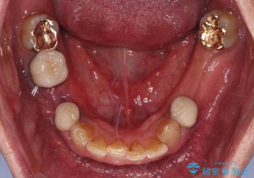
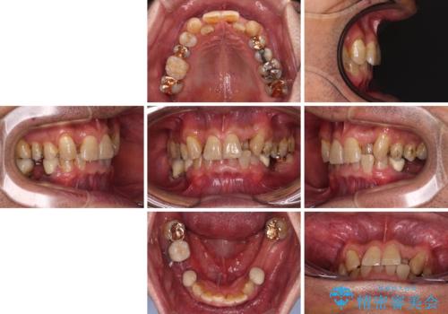
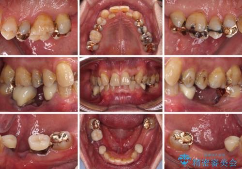
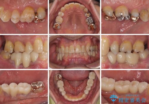
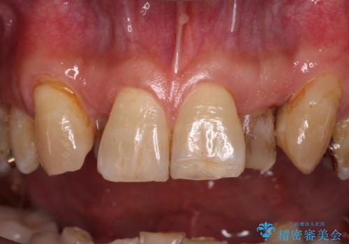
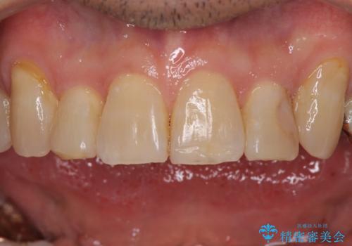
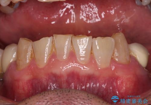
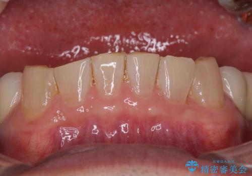
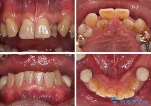
- 下顎両側の欠損と上顎前歯のデコボコを気にして来院された患者様です。
デコボコは今まで気にせずにいたそうですが、奥歯の欠損改善を機に、矯正治療に興味があるので、相談したいとのことでした。
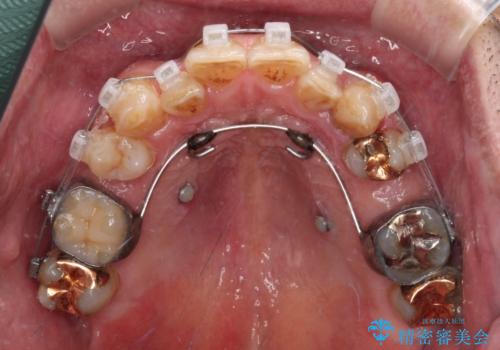
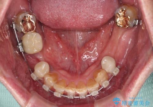
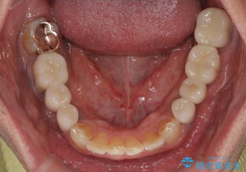
奥歯に欠損が多く、矯正治療はやや難航することが予想されますが、患者様の希望もあり、上顎左右小臼歯を1本ずつ抜歯し、ワイヤー装置にて矯正治療を行うこととしました。
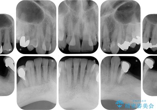
矯正歯科治療を行うに当たり、痛みや違和感を感じている歯の根管治療を行い、矯正治療中にインプラント埋入し、補綴治療と矯正治療を同時に終了できるように進めて行くこととしました。
- 費用(概算)
- 310万円(税込)費用は治療当時の料金となります
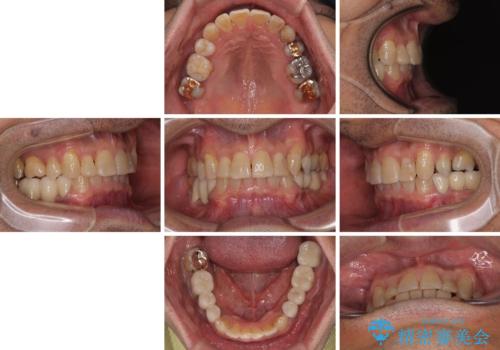
治療について
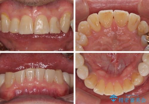
銀歯やむし歯治療されている歯を抜歯する治療計画としたため、やや時間はかかりましたが、治療後の仕上がりには大変満足していただけました。
ワイヤー矯正の注意事項(リスク・副作用など)
- 治療中は違和感や痛みが起こることがあります
- 症状により、抜歯が必要な場合があります
- 治療中は歯磨きがしにくくなるため、虫歯や歯周病になりやすくなります
- 矯正治療後の保定が不十分だと後戻り(元の位置に戻ろうとする動き)をします
- 自費診療(保険適用外)となります
インプラント治療の注意事項(リスク・副作用など)
- 外科手術のため、術後に痛みや腫れ、違和感を伴います
- メンテナンスを怠ったり喫煙により、お口の中に大きな悪影響を及ぼすインプラント周囲炎等にかかる可能性があります
- 糖尿病、肝硬変、心臓病等の場合、インプラント治療ができない可能性があります
- 高血圧、貧血・不整脈等の場合、インプラント治療後に治癒不全を招く可能性があります
- 自費診療(保険適用外治療)となります
根管治療の注意事項(リスク・副作用など)
- 根管治療により類似の全ての症例の問題が解決するわけではなく、症例はあくまでも一例です
- 根管治療により痛みや腫れがひかない事や、術後に痛みや腫れが生じる事、治療によるファイル破折やパーフォレーションなどの偶発症、術後の歯根破折を生じる可能性もあります
- 自費診療(保険適用外)となります
セラミック治療の注意事項(リスク・副作用など)
- 天然歯を削ります
- 硬い素材は天然歯を傷つけてしまう場合があります
- かみ合わせや歯ぎしりが強すぎる方はセラミックが割れてしまう可能性があります
- 自費診療(保険適用外治療)となります
当サイトの内容、テキスト、画像等の無断転載、複製、複写、盗用を固く禁じます。


































