症例詳細
Case detail
むし歯と八重歯を治したい 総合歯科治療
治療症例の内容
- 患者様
- 30代女性
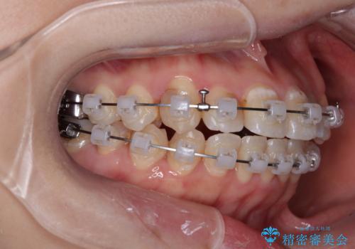
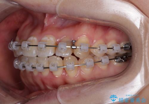
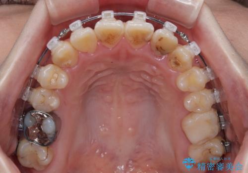
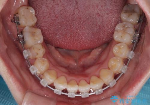
- 矯正装置
- クリアブラケット
- 治療期間
- 1年5ヶ月
- 治療回数
- 10-30回
- 治療計画
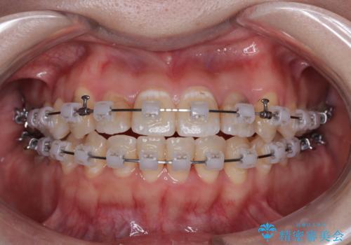
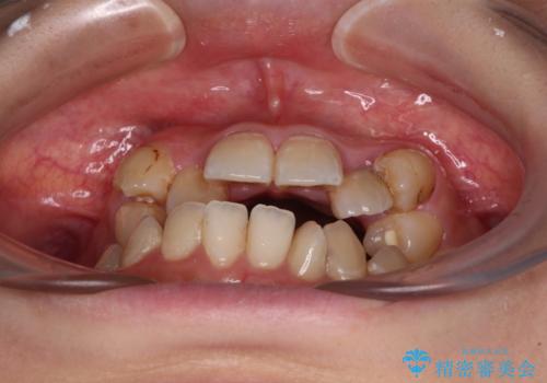
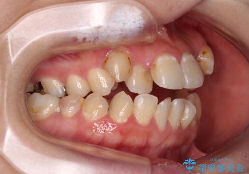
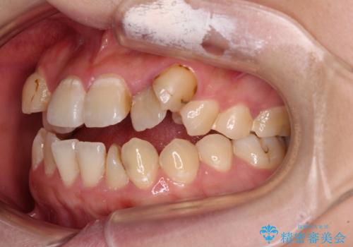
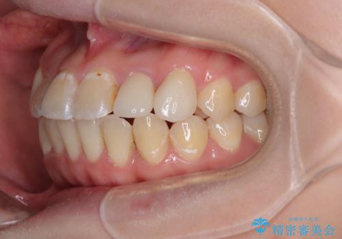
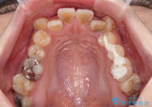
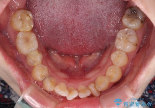
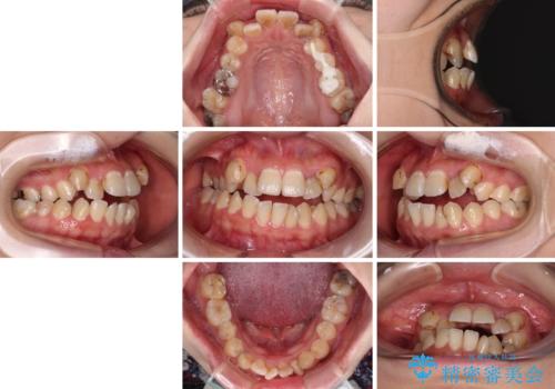
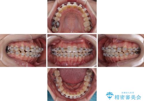
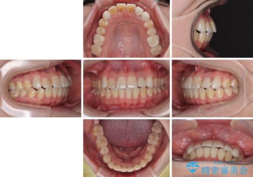
- 上下の歯が非接触であり、八重歯やむし歯を気にして来院された患者様です。
下顎骨の左右偏位はあるものの、上顎骨幅が相対的に狭い状態であったので、奥歯の咬み合わせが非常に乱れていました。
急速拡大装置により上顎骨幅を側方に拡大し、それを利用して八重歯を歯列に納めることにしました。
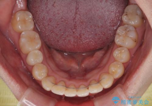
矯正治療後は全顎的にむし歯が多いため、セラミッククラウンやインレーにより補綴治療を行うこととしました。
- 費用(概算)
- 治療費の目安: 230万円(税込)費用は治療当時の料金となります
治療について
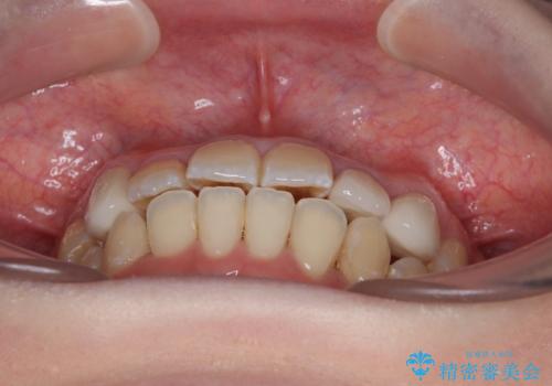
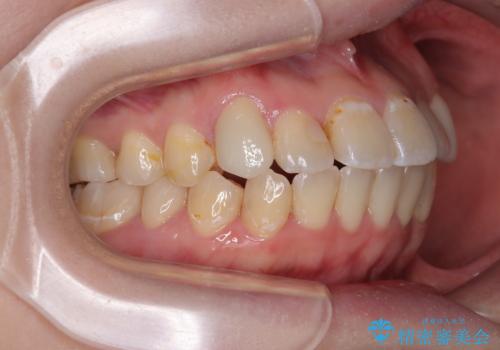
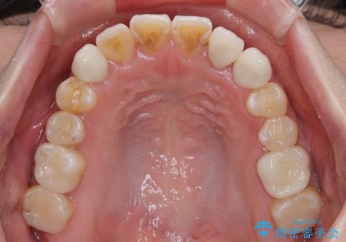
急速拡大が奏効し、非抜歯矯正にて八重歯を解決することができました。
矯正治療後半で結婚式を挙げられたそうですが、参列された方々からは綺麗に整った前歯に大変驚かれたそうで、非常に満足されていらっしゃいました。
ワイヤー矯正の注意事項(リスク・副作用など)
- 治療中は違和感や痛みが起こることがあります
- 症状により、抜歯が必要な場合があります
- 治療中は歯磨きがしにくくなるため、虫歯や歯周病になりやすくなります
- 矯正治療後の保定が不十分だと後戻り(元の位置に戻ろうとする動き)をします
- 自費診療(保険適用外)となります
セラミック治療の注意事項(リスク・副作用など)
- 天然歯を削ります
- 硬い素材は天然歯を傷つけてしまう場合があります
- かみ合わせや歯ぎしりが強すぎる方はセラミックが割れてしまう可能性があります
- 自費診療(保険適用外治療)となります
当サイトの内容、テキスト、画像等の無断転載、複製、複写、盗用を固く禁じます。



























