症例詳細
Case detail
以前の治療箇所が痛む 全顎的なむし歯治療
治療症例の内容
- 患者様
- 30代女性
- 治療期間
- 1年10ヶ月
- 治療回数
- 10-30回
- 治療計画
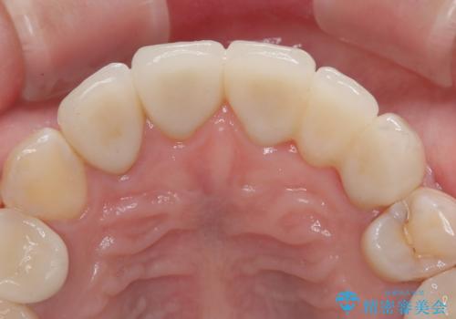
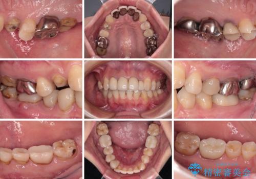
- 結婚式に向けて、前歯のセラミックを作り替えたいとのことで来院された患者様です。
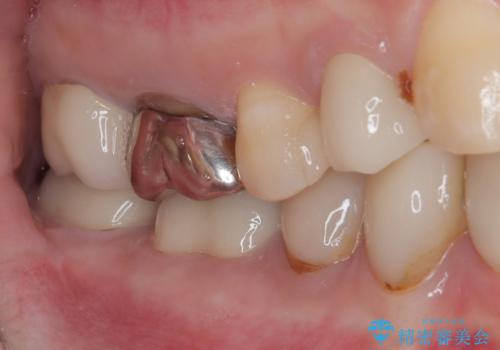
むし歯で神経を取り除いたことをきっかけに、前歯をセラミックにしたそうですが、金属の縁が見えてきたり、内側に引っ込んでいた歯を強引に前に出しことで汚れが溜まったりと、不具合を感じているとのことでした。
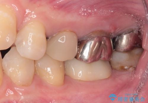
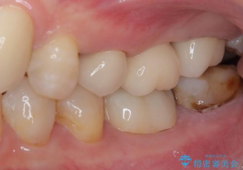
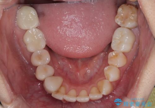
また、奥歯にも痛みがあったり治療途中で放置されていたりと、全顎的な治療が必要な状況でした。
結婚式が近いことから、前歯は舌側に転位している歯は抜歯してブリッジにすることで外見と清掃性を改善し、速やかにオールセラミッククラウンにて補綴治療を行うこととしました。
その後、奥歯は痛みのある部分から少しずつ、根管治療やインプラント治療などを行うこととしました。
- 費用(概算)
- 治療費の目安: 250万円(税込)費用は治療当時の料金となります
治療について
前歯をブリッジとするか否か、非常に悩まれていらっしゃいましたが、術前と比べてものが挟まる感覚がなくなったとのことで、大変満足されていました。
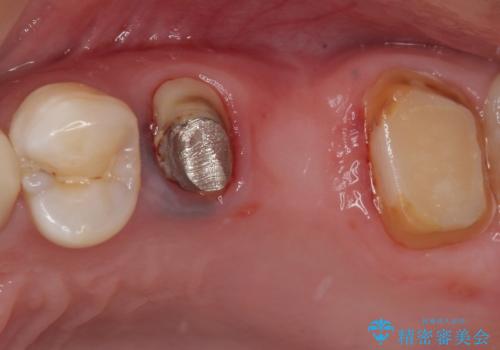
インプラントが必要となった奥歯は、インプラントが埋入できないほど隣の歯の根尖病変が非常に大きかったため、根管治療を行ったうえで半年ほど待ち、骨が再生したことを確認してからインプラントを埋入しました。期間は長くかかりましたが、大変良い仕上がりとなりました。
根管治療の注意事項(リスク・副作用など)
- 根管治療により類似の全ての症例の問題が解決するわけではなく、症例はあくまでも一例です
- 根管治療により痛みや腫れがひかない事や、術後に痛みや腫れが生じる事、治療によるファイル破折やパーフォレーションなどの偶発症、術後の歯根破折を生じる可能性もあります
- 自費診療(保険適用外)となります
インプラント治療の注意事項(リスク・副作用など)
- 外科手術のため、術後に痛みや腫れ、違和感を伴います
- メンテナンスを怠ったり喫煙により、お口の中に大きな悪影響を及ぼすインプラント周囲炎等にかかる可能性があります
- 糖尿病、肝硬変、心臓病等の場合、インプラント治療ができない可能性があります
- 高血圧、貧血・不整脈等の場合、インプラント治療後に治癒不全を招く可能性があります
- 自費診療(保険適用外治療)となります
セラミック治療の注意事項(リスク・副作用など)
- 天然歯を削ります
- 硬い素材は天然歯を傷つけてしまう場合があります
- かみ合わせや歯ぎしりが強すぎる方はセラミックが割れてしまう可能性があります
- 自費診療(保険適用外治療)となります
当サイトの内容、テキスト、画像等の無断転載、複製、複写、盗用を固く禁じます。






















