症例詳細
Case detail
上下前歯のデコボコ ワイヤー装置で楽ちん矯正治療
治療症例の内容
- 患者様
- 20代女性
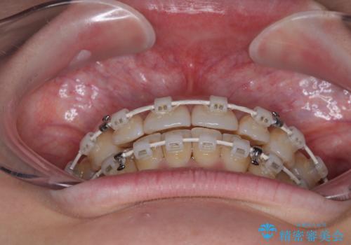
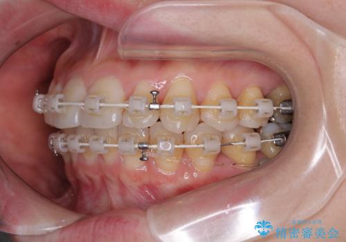
- 矯正装置
- 審美装置
- 治療期間
- 1年3ヶ月
- 治療回数
- 10-30回
- 治療計画
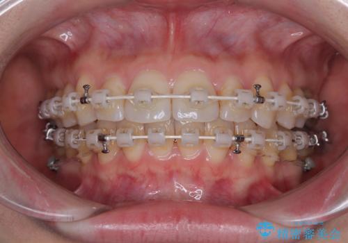
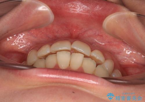
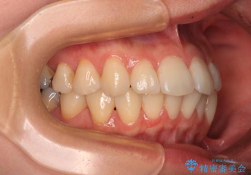
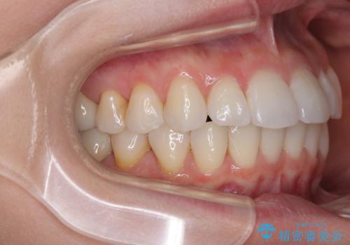
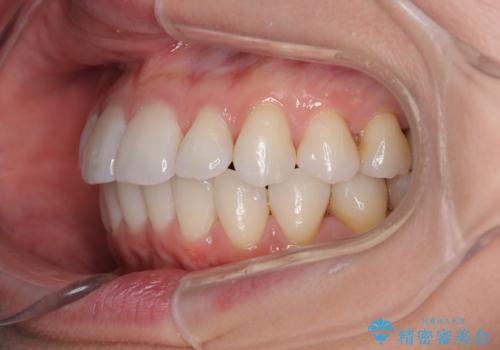
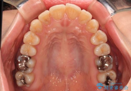
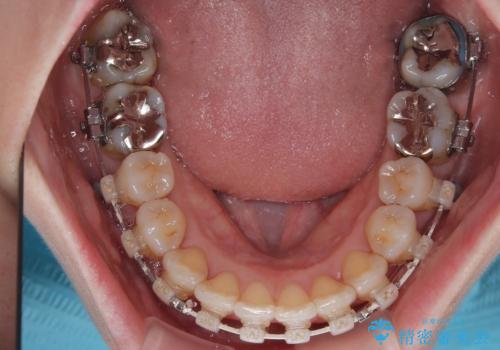
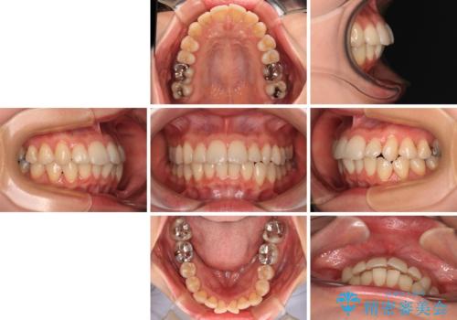
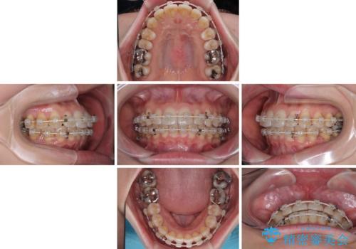
- 前歯のデコボコや、やや突出した感じを気にして来院された患者様です。
抜歯矯正を必要とするほど口元の突出感はなく、本人もそこまでは気にしていない様子でした。
お仕事柄、マウスピース装着は困難とのことで、表側のワイヤー矯正にて治療を行うこととしました。
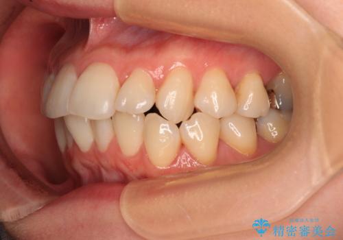
デコボコ解消の際に、前歯が前突するリスクがあったため、舌突出癖の改善と、アンカースクリューによる加強固定を行うこととしました。
- 費用(概算)
- 治療費の目安: 165万円(税込)費用は治療当時の料金となります
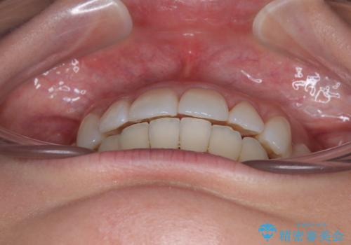
治療について
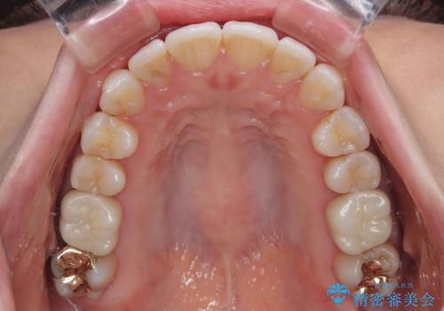
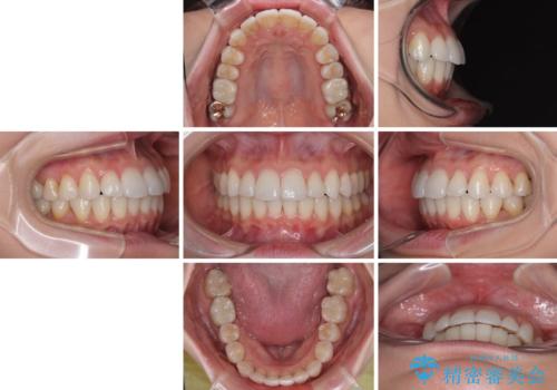
矯正治療後には奥歯の銀歯やむし歯をセラミックやゴールドにて治療を行い、大変整った口腔環境へと改善さ。れました
ワイヤー矯正の注意事項(リスク・副作用など)
- 治療中は違和感や痛みが起こることがあります
- 症状により、抜歯が必要な場合があります
- 治療中は歯磨きがしにくくなるため、虫歯や歯周病になりやすくなります
- 矯正治療後の保定が不十分だと後戻り(元の位置に戻ろうとする動き)をします
- 自費診療(保険適用外)となります
セラミック治療の注意事項(リスク・副作用など)
- 天然歯を削ります
- 硬い素材は天然歯を傷つけてしまう場合があります
- かみ合わせや歯ぎしりが強すぎる方はセラミックが割れてしまう可能性があります
- 自費診療(保険適用外治療)となります
PGA(ゴールド)クラウン、インレーの注意事項(リスク・副作用など)
- インレーおよびクラウンは脱離するリスクがあります
- 形成量はセラミックより少ないですが、歯の形成、修復後に歯に症状が出ることがあります
- 自費診療(保険適用外治療)となります
当サイトの内容、テキスト、画像等の無断転載、複製、複写、盗用を固く禁じます。



























