症例詳細
Case detail
【モニター】デコボコ前歯を治したい ワイヤー装置での抜歯矯正治療
治療症例の内容
- 患者様
- 30代女性
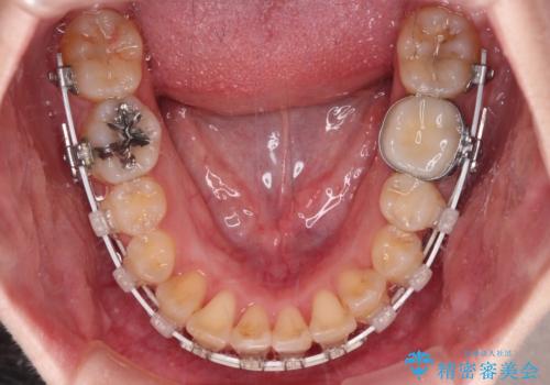
- 矯正装置
- 審美装置
- 治療期間
- 3年1ヶ月
- 治療回数
- 30回以上
- 治療計画
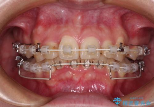
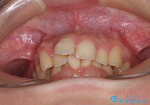
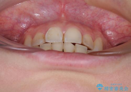
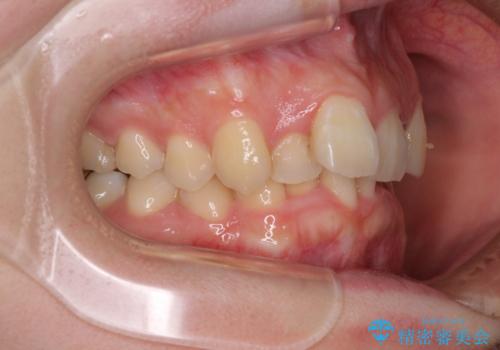
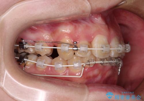
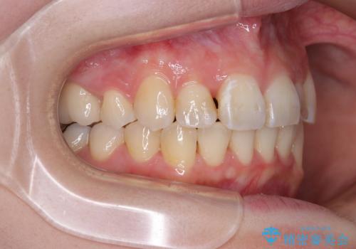
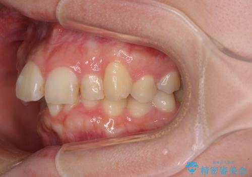
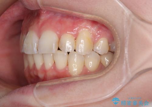
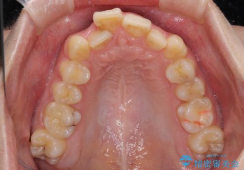
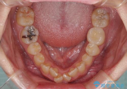
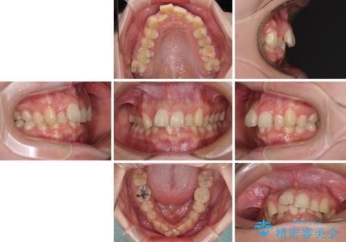
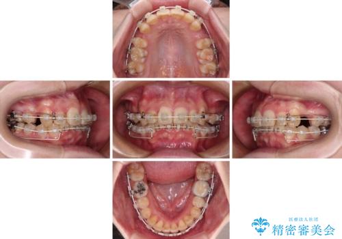
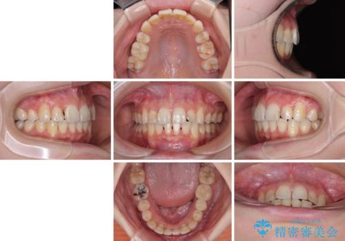
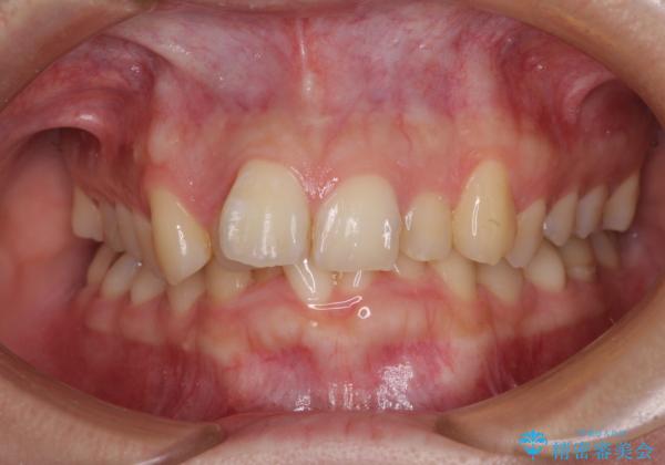
- 前歯のデコボコを気にして来院された患者様です。
上下の前歯にデコボコがあり、更にはディープバイトにより下顎前歯の大半が隠れている状態でした。
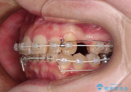
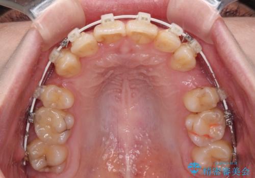
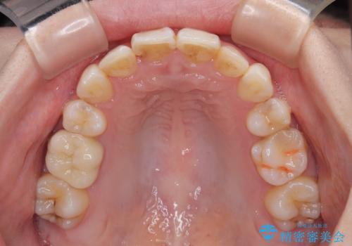
上顎左右第一小臼歯の2本を抜歯し、ワイヤー装置を使用して咬み合わせ高さを改善しながら、歯列を整えて行くこととしました。
- 費用(概算)
- 治療費の目安: 145万円(税込)費用は治療当時の料金となります
※顔写真掲載にあたり、患者様の了解を得ております
治療について
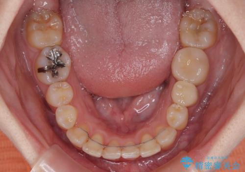
事前にむし歯の疑いがある歯があり、処置を行いましたが、矯正治療中に失活してしまい、ワイヤー装置除去後に、根管治療とセラミッククラウンによる補綴治療を行いました。
矯正治療は2年半ほで無事におけることができました。
ワイヤー矯正の注意事項(リスク・副作用など)
- 治療中は違和感や痛みが起こることがあります
- 症状により、抜歯が必要な場合があります
- 治療中は歯磨きがしにくくなるため、虫歯や歯周病になりやすくなります
- 矯正治療後の保定が不十分だと後戻り(元の位置に戻ろうとする動き)をします
- 自費診療(保険適用外)となります
セラミック治療の注意事項(リスク・副作用など)
- 天然歯を削ります
- 硬い素材は天然歯を傷つけてしまう場合があります
- かみ合わせや歯ぎしりが強すぎる方はセラミックが割れてしまう可能性があります
- 自費診療(保険適用外治療)となります
当サイトの内容、テキスト、画像等の無断転載、複製、複写、盗用を固く禁じます。


























