症例詳細
Case detail
全体的なデコボコが気になる。拡大装置を併用したワイヤー矯正
治療症例の内容
- 患者様
- 20代男性
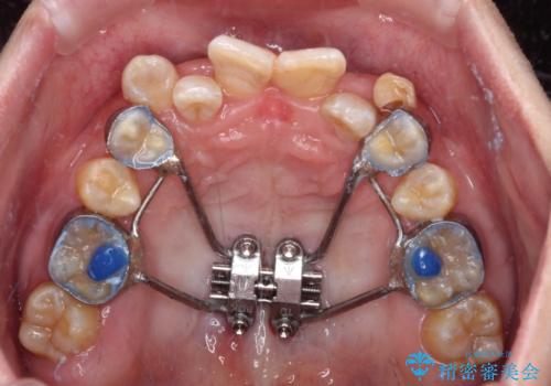
- 矯正装置
- 審美装置
- 治療期間
- 2年4ヶ月
- 治療回数
- 30回以上
- 治療計画
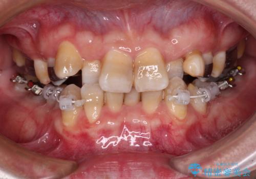
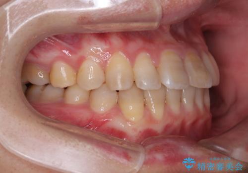
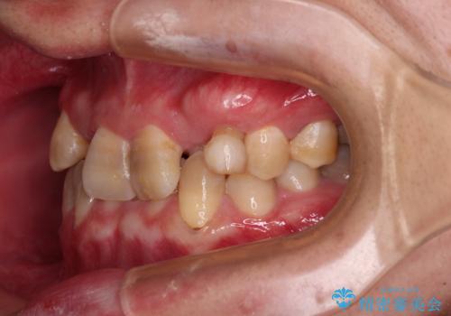
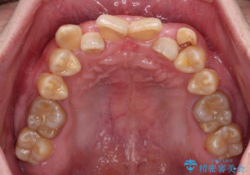
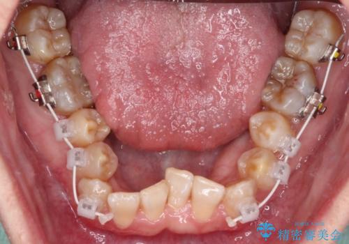
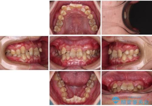
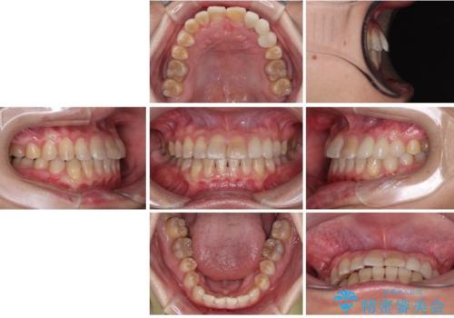
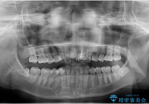
- 上下の前歯のデコボコを改善したいと来院された患者様です。
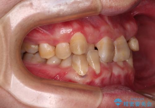
上顎の歯列幅が狭く、それによって歯が並ぶスペースが不足しています。
また下顎の歯列幅も制限され、内側に歯が倒れています。
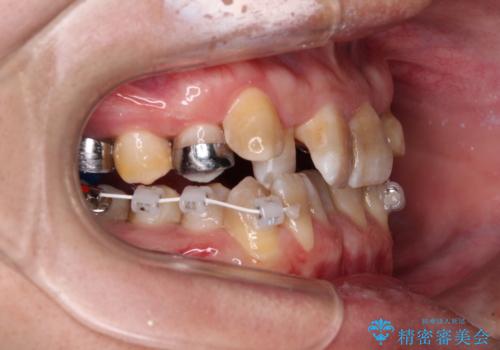
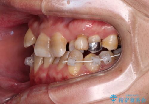
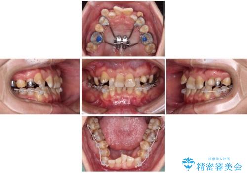
それらを改善するため上顎に拡大装置を用いて、審美装置にてワイヤー矯正を行いました。
左上の乳犬歯は当初保存する計画でしたが、虫歯が大きいため抜歯になり、患者様の希望によりブリッジにしました。
- 費用(概算)
- 136万円(税込)費用は治療当時の料金となります
治療について
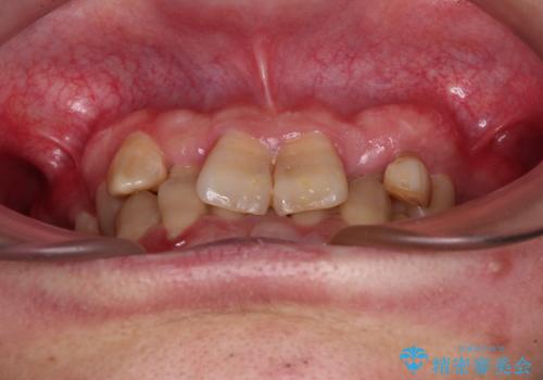
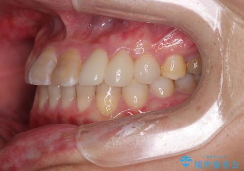
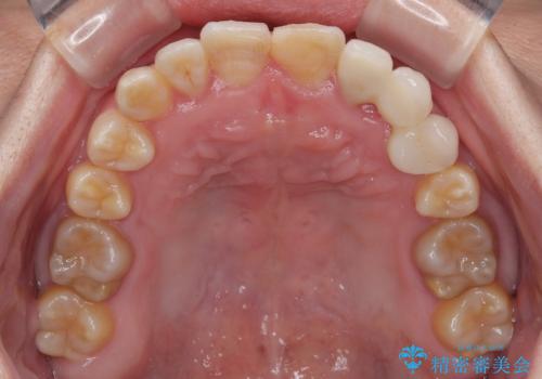
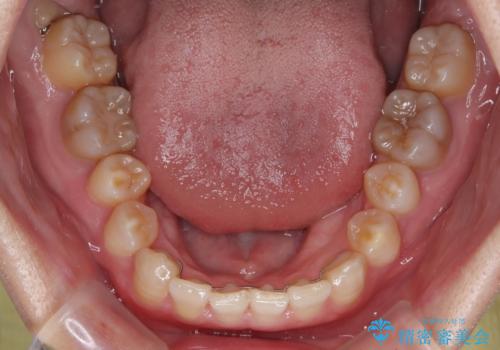
上顎が側方に拡大されて歯が並ぶスペースを確保できました。
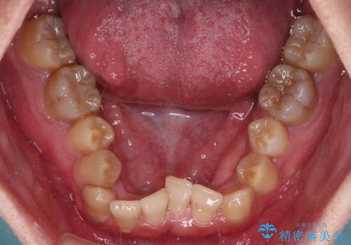
それに伴い下顎の歯列も拡大され、舌側に倒れているのが改善されました。
ワイヤー矯正の注意事項(リスク・副作用など)
- 治療中は違和感や痛みが起こることがあります
- 症状により、抜歯が必要な場合があります
- 治療中は歯磨きがしにくくなるため、虫歯や歯周病になりやすくなります
- 矯正治療後の保定が不十分だと後戻り(元の位置に戻ろうとする動き)をします
- 自費診療(保険適用外)となります
セラミック治療の注意事項(リスク・副作用など)
- 天然歯を削ります
- 硬い素材は天然歯を傷つけてしまう場合があります
- かみ合わせや歯ぎしりが強すぎる方はセラミックが割れてしまう可能性があります
- 自費診療(保険適用外治療)となります
当サイトの内容、テキスト、画像等の無断転載、複製、複写、盗用を固く禁じます。




























