症例・治療例紹介
Cases
Dr. 齋藤佑磨の症例写真
1ページ目 / 6
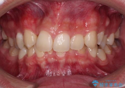
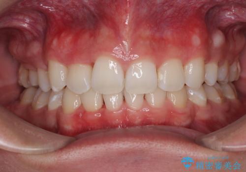
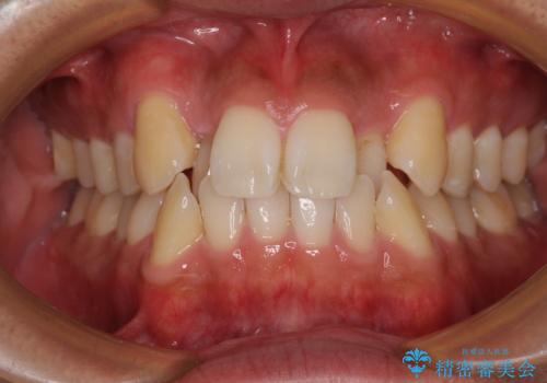
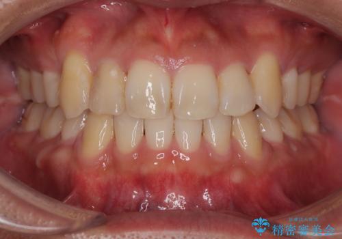
抜歯矯正で叢生と正中のずれを改善|審美装置による矯正症例


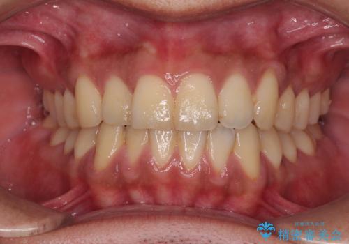
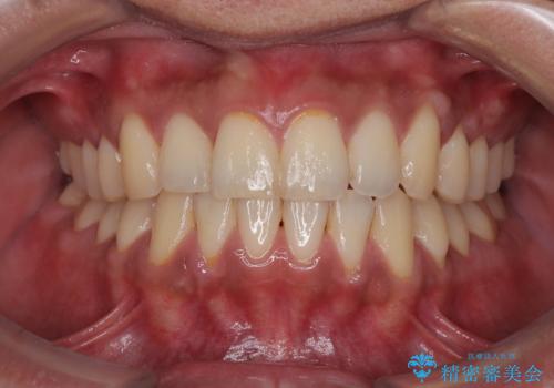
矯正後の後戻りをインビザラインライトで再治療|目立たない矯正の症例紹介


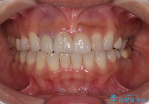
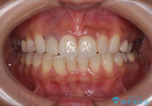
適合不良のラミネートベニアをやり替えて自然な笑顔に|オールセラミッククラウンによる前歯補綴症例
担当医 齋藤佑磨


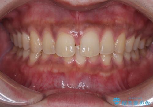
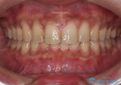
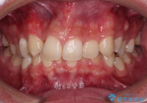
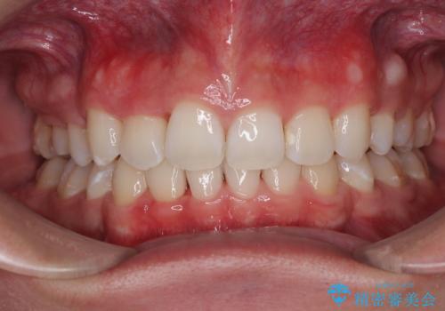
目立たない矯正で正中離開と下の前歯のデコボコを改善|インビザラインによる治療症例


外科処置は一度だけ|抜歯即時インプラントで短期間で自然な見た目へ


【モニター】前歯のデコボコと口元の出っ張りを改善!目立たない矯正で自然な笑顔に
担当医 齋藤佑磨


保険治療後の見た目が気になる方へ|セラミッククラウンで美しく自然な仕上がりに
担当医 齋藤佑磨


抜歯即時インプラントで治療期間を大幅短縮!抜歯からセラミックまでを3か月で完了


八重歯と前歯のガタガタを抜歯矯正で治療|クリアブラケット使用例
担当医 齋藤佑磨


ラバーダム使用で再感染リスクを抑えた再根管治療+精密な補綴による長期安定を実現


「抜歯してブリッジ」と言われた20代女性が選んだ治療とは?|たった4か月で自然な笑顔に|抜歯即時インプラント+審美補綴の症例


前歯のねじれ・ガタガタを10か月で改善!20代女性の矯正治療|クリアブラケットでむし歯になりにくい歯並びへ改善
担当医 齋藤佑磨








