症例詳細
Case detail
根管治療と並行して矯正を マウスピース治療
- 患者様
- 30代女性
- 治療期間
- 1年3ヶ月
- 治療回数
- 5-10回
- 治療計画
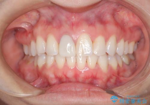
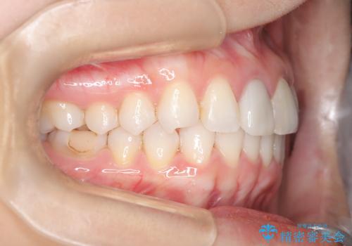
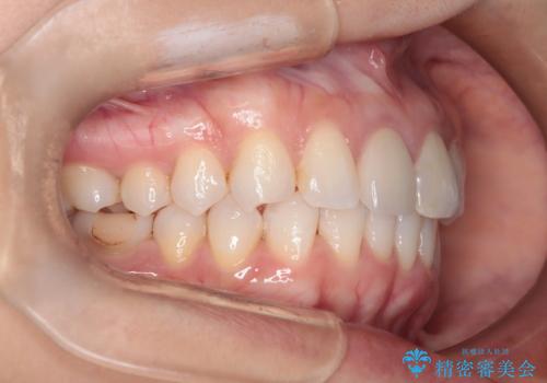
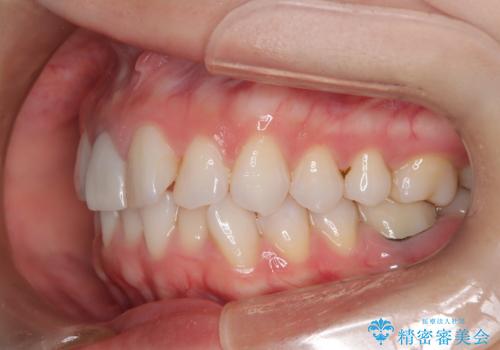
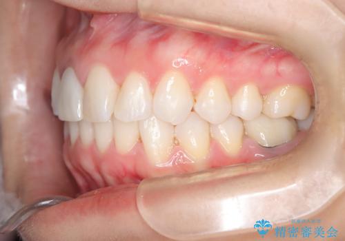
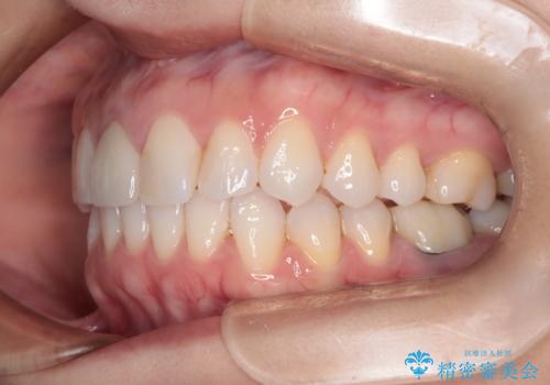
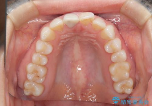
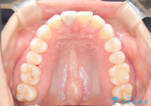
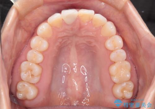
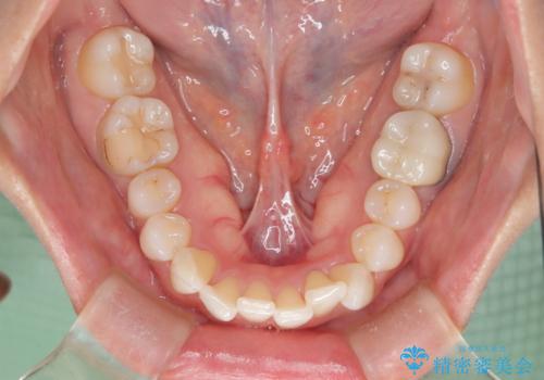
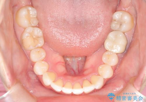
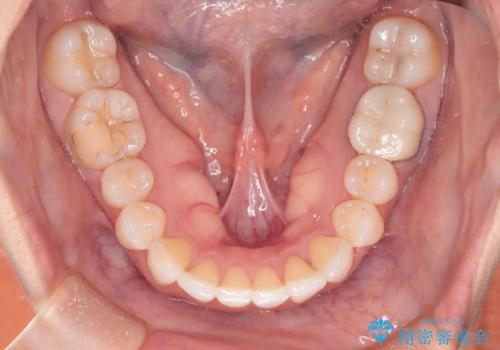
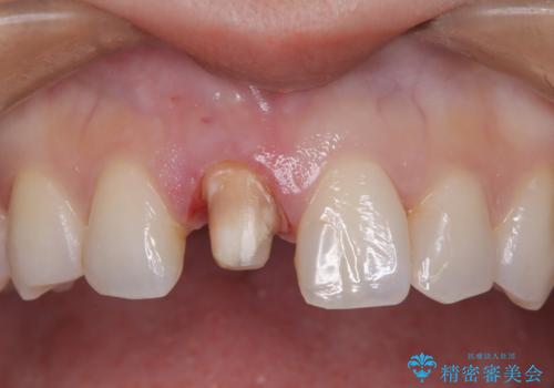
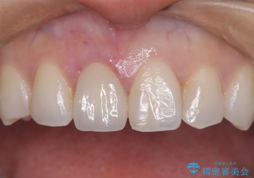
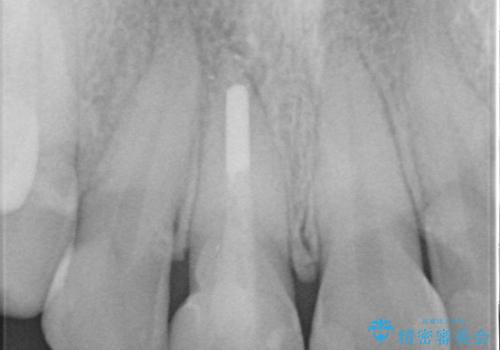
- 前歯のガタつき、変色を主訴に来院された患者様です。術前診査のCT撮影にて、変色した前歯の根の先に病巣があることが判明しました。そこで、マウスピースによる矯正治療と、前歯の根管治療、かぶせ物のやり直し治療を並行して行いました。
- 費用(概算)
- 836,000円(税込)費用は治療当時の料金となります
当院ならではの総合治療
一般的に矯正専門歯科では、矯正以外の口腔内管理はほかの歯科へお願いされることが多いです。当院では、虫歯治療や根管治療の知識が豊富なドクターが矯正治療を担当いたしますので、安心して通院していただくことができます。
マウスピース矯正の注意事項(リスク・副作用など)
- 口腔内・歯並びの状態によっては対応できない場合があります
- マウスピース型矯正装置の長時間装着(1日20時間以上)が必須です
- 治療計画通りに進めるためには、患者様の意志が重要になります
- 矯正治療後の保定が不十分だと後戻り(元の位置に戻ろうとする動き)をします
- 薬機法対象外の矯正歯科装置のため医薬品副作用被害救済制度の対象外となる場合があります
- 自費診療(保険適用外)となります
セラミック治療の注意事項(リスク・副作用など)
- 天然歯を削ります
- 硬い素材は天然歯を傷つけてしまう場合があります
- かみ合わせや歯ぎしりが強すぎる方はセラミックが割れてしまう可能性があります
- 自費診療(保険適用外治療)となります
根管治療の注意事項(リスク・副作用など)
- 根管治療により類似の全ての症例の問題が解決するわけではなく、症例はあくまでも一例です
- 根管治療により痛みや腫れがひかない事や、術後に痛みや腫れが生じる事、治療によるファイル破折やパーフォレーションなどの偶発症、術後の歯根破折を生じる可能性もあります
- 自費診療(保険適用外)となります
当サイトの内容、テキスト、画像等の無断転載、複製、複写、盗用を固く禁じます。




















