症例詳細
Case detail
むし歯と前歯のデコボコを治したい インビザラインを使用した総合歯科治療
治療症例の内容
- 患者様
- 50代女性
- 矯正装置
- インビザライン・モデレート
- 治療期間
- 1年6ヶ月
- 治療回数
- 10-30回
- 治療計画
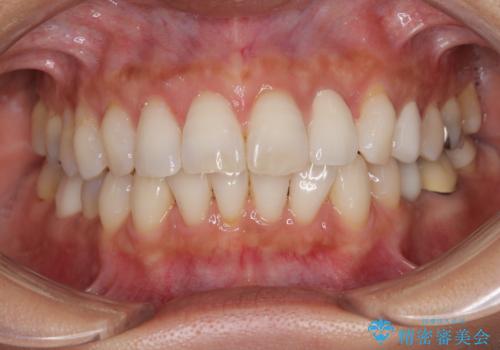
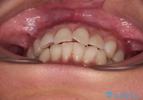
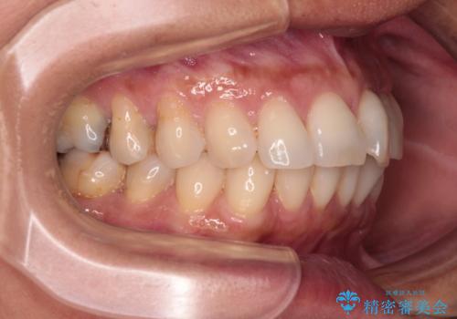
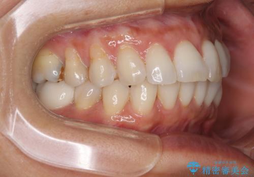
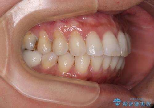
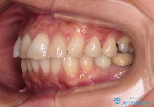
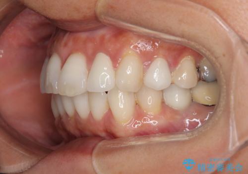
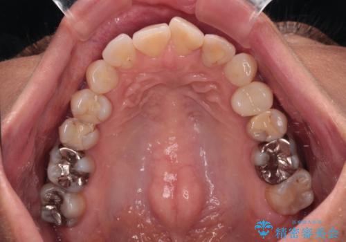
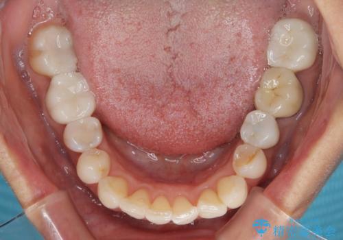
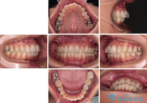
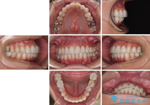
- 目立つ銀歯やむし歯、前歯のデコボコを気にして来院された患者様です。
デコボコはある程度改善できれば良いとのことでしたので、インビザラインの廉価版を用いて矯正治療を行うこととしました。
飛行機での通院であり、更にはご家族がの都合で海外に滞在されることも多いため、中等度の歯列不正に対応可能なインビザライン・モデレートパッケージを使用することとしました。
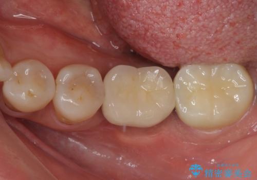
むし歯治療は、症状のある歯を矯正治療前に処置し、概ね歯列が整ったところで残りのは全て処置し、最後にインビザラインで歯列を仕上げることで、無駄なく治療を進めて行くこととしました。
- 費用(概算)
- 治療費の目安: 150万円(税込)費用は治療当時の料金となります
治療について
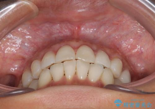
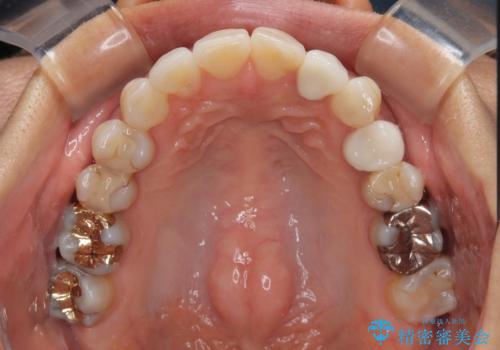
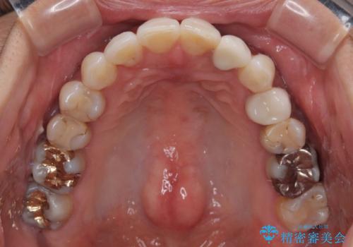
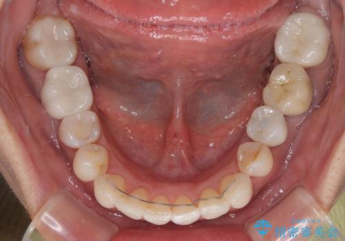
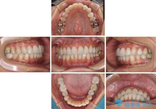
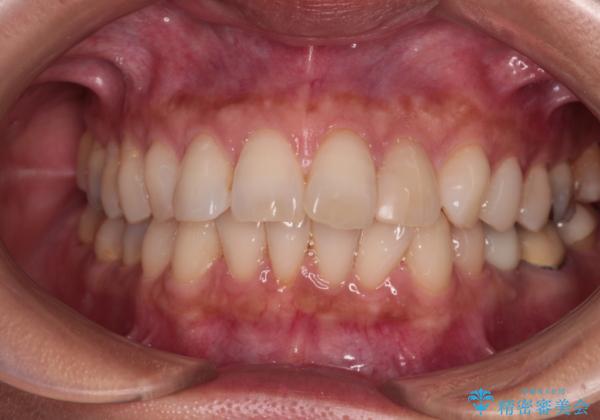
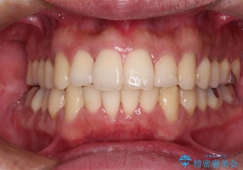
しっかりと装着時間を守ってくださり、来院のタイミングに合わせてインビザラインの装着期間を調整するなど、協力いただいたおかけで、1年半の期間で全てを終えることができました。
セラミック治療の注意事項(リスク・副作用など)
- 天然歯を削ります
- 硬い素材は天然歯を傷つけてしまう場合があります
- かみ合わせや歯ぎしりが強すぎる方はセラミックが割れてしまう可能性があります
- 自費診療(保険適用外治療)となります
マウスピース矯正の注意事項(リスク・副作用など)
- 口腔内・歯並びの状態によっては対応できない場合があります
- マウスピース型矯正装置の長時間装着(1日20時間以上)が必須です
- 治療計画通りに進めるためには、患者様の意志が重要になります
- 矯正治療後の保定が不十分だと後戻り(元の位置に戻ろうとする動き)をします
- 薬機法対象外の矯正歯科装置のため医薬品副作用被害救済制度の対象外となる場合があります
- 自費診療(保険適用外)となります
当サイトの内容、テキスト、画像等の無断転載、複製、複写、盗用を固く禁じます。



























