症例詳細
Case detail
治療中で放置 インプラントでしっかりと咬めるように
- 患者様
- 50代女性
- 治療期間
- 1年8ヶ月
- 治療回数
- 30回以上
- 治療計画
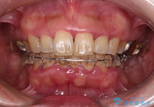
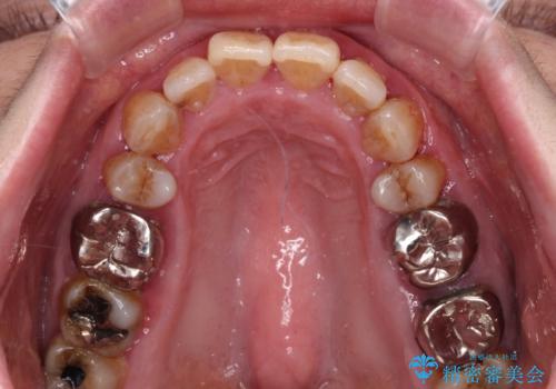
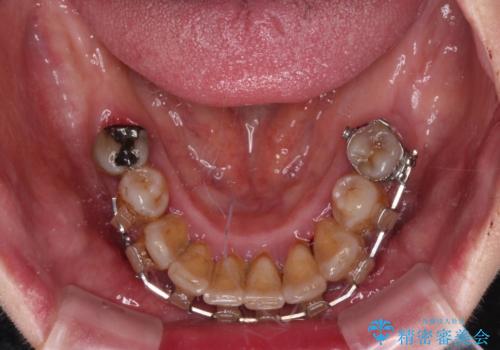
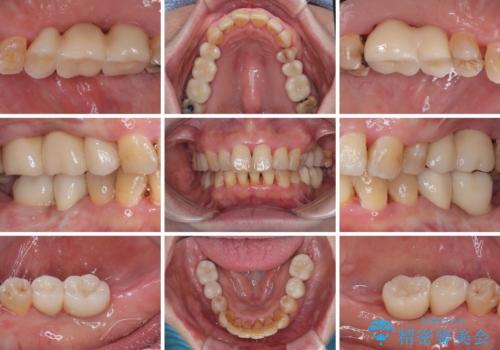
- インプラント治療を前提に下顎の部分矯正を始めたものの、そのまま長い間放置しているとのことで来院された患者様です。
全体的に歯肉が腫れており、歯周病により抜歯をしなければならない歯がある状態でした。
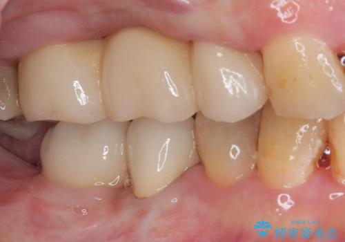
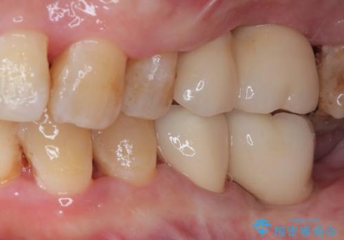
矯正治療を仕上げ、必要に応じて歯周外科処置を行い、適宜インプラントを埋入しながら咬み合わせを回復させていくこととしました。
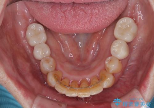
最終的に奥歯はオールセラミッククラウンによる補綴治療を行うこととしました。
- 費用(概算)
- 治療費の目安: 300万円(税込)費用は治療当時の料金となります
治療について
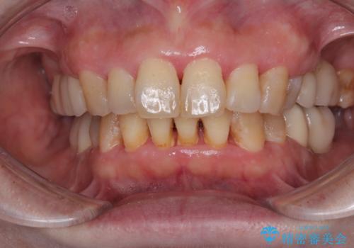
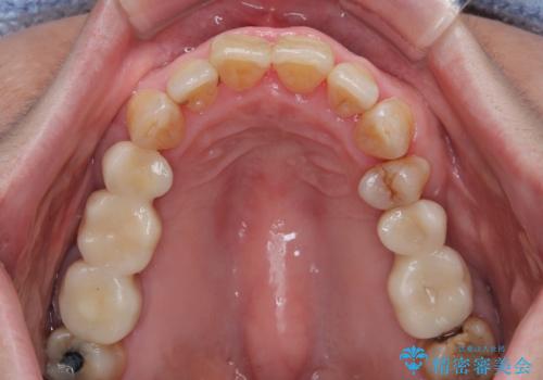
治療前は磨き残しが多く見られ、全体的に歯肉が腫れている状態でしたが、抜歯の必要な歯を抜いたことで口腔内の環境が改善され、磨き残しも少なくなってきました。
インプラントにより咬合が回復したことで、治療開始時に認められた上顎前歯の動揺も改善されました。
インプラント治療の注意事項(リスク・副作用など)
- 外科手術のため、術後に痛みや腫れ、違和感を伴います
- メンテナンスを怠ったり喫煙により、お口の中に大きな悪影響を及ぼすインプラント周囲炎等にかかる可能性があります
- 糖尿病、肝硬変、心臓病等の場合、インプラント治療ができない可能性があります
- 高血圧、貧血・不整脈等の場合、インプラント治療後に治癒不全を招く可能性があります
- 自費診療(保険適用外治療)となります
歯周病治療の注意事項(リスク・副作用など)
- 外科手術のため、術後に痛みや腫れ、違和感を伴います
- 歯周組織再生治療は患者様の状態によって術後の経過が異なります(見た目が改善しない場合もあります)
- 歯周組織再生治療は自費診療(保険適用外)となります
セラミック治療の注意事項(リスク・副作用など)
- 天然歯を削ります
- 硬い素材は天然歯を傷つけてしまう場合があります
- かみ合わせや歯ぎしりが強すぎる方はセラミックが割れてしまう可能性があります
- 自費診療(保険適用外治療)となります
当サイトの内容、テキスト、画像等の無断転載、複製、複写、盗用を固く禁じます。

























