症例詳細
Case detail
矯正の後戻りと奥歯の欠損 ワイヤー矯正とインプラント治療
- 患者様
 - 20代女性
 
- 矯正装置
 - クリアブラケット
 
- 治療期間
 - 1年4ヶ月
 
- 治療回数
 - 10-30回
 
- 治療計画
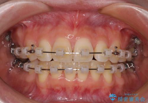
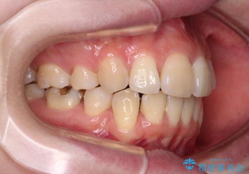
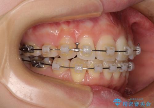
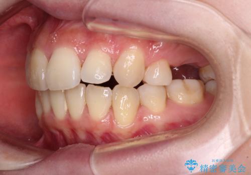
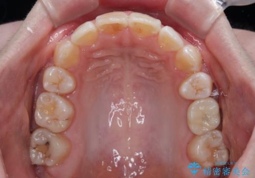
 - 奥歯の欠損と、抜歯矯正の後戻りを気にして来院された患者様です。
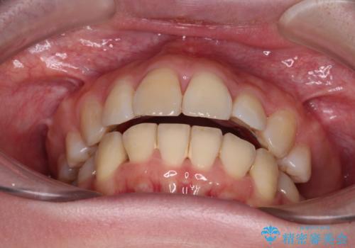
上下前歯をワイヤー保定していましたが、強い舌の突出癖により上下ともにスペースができ、上下前歯は非接触になっていました。
また、上顎臼歯は虫歯により抜歯されてから放置されている状態でした。
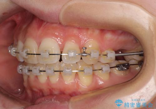
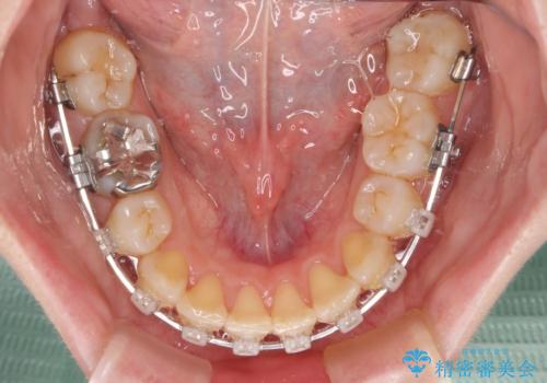
マウスピース矯正でもワイヤー矯正後でも対応可能でしたが、自己管理の煩わしさからワイヤー矯正後を選択されました。
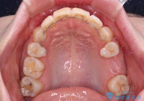
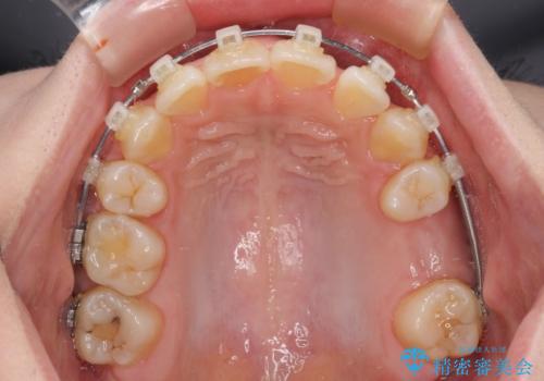
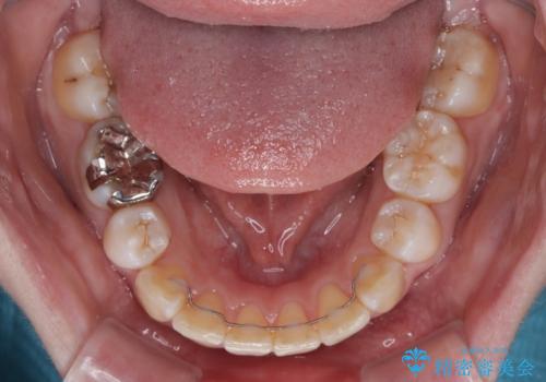
舌のトレーニングをしっかりと行っていただきながらワイヤー装置により矯正治療を行い、途中でインプラントを埋入し、矯正治療後に補綴治療を行うこととしました。 
- 費用(概算)
 - 治療費の目安: 130万円(税込)費用は治療当時の料金となります
 
治療について
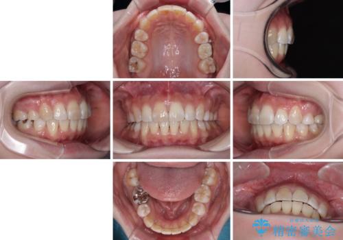
舌の突出癖を改善したことで、突出感のあった口元の印象も、やや引っ込めることができました。
ワイヤー矯正の注意事項(リスク・副作用など)
- 治療中は違和感や痛みが起こることがあります
 - 症状により、抜歯が必要な場合があります
 - 治療中は歯磨きがしにくくなるため、虫歯や歯周病になりやすくなります
 - 矯正治療後の保定が不十分だと後戻り(元の位置に戻ろうとする動き)をします
 - 自費診療(保険適用外)となります
 
インプラント治療の注意事項(リスク・副作用など)
- 外科手術のため、術後に痛みや腫れ、違和感を伴います
 - メンテナンスを怠ったり喫煙により、お口の中に大きな悪影響を及ぼすインプラント周囲炎等にかかる可能性があります
 - 糖尿病、肝硬変、心臓病等の場合、インプラント治療ができない可能性があります
 - 高血圧、貧血・不整脈等の場合、インプラント治療後に治癒不全を招く可能性があります
 - 自費診療(保険適用外治療)となります
 
セラミック治療の注意事項(リスク・副作用など)
- 天然歯を削ります
 - 硬い素材は天然歯を傷つけてしまう場合があります
 - かみ合わせや歯ぎしりが強すぎる方はセラミックが割れてしまう可能性があります
 - 自費診療(保険適用外治療)となります
 
当サイトの内容、テキスト、画像等の無断転載、複製、複写、盗用を固く禁じます。

                      
                                                          




























