症例詳細
Case detail
外科手術を検討? 過大な開咬をワイヤー装置とインビザラインで劇的に改善する
- 患者様
- 40代男性
- 矯正装置
- インビザライン・審美装置
- 治療期間
- 2年3ヶ月
- 治療回数
- 10-30回
- 治療計画
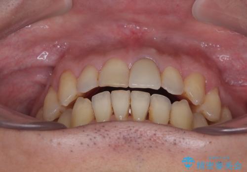
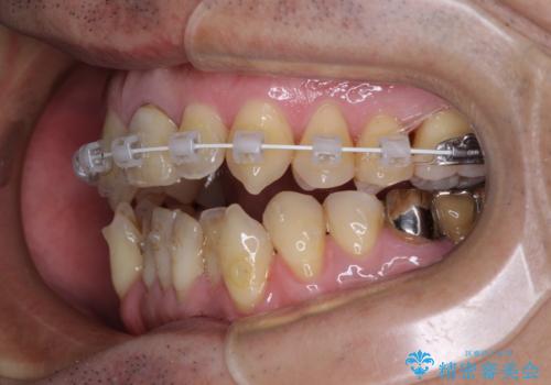
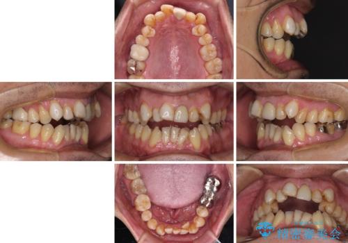
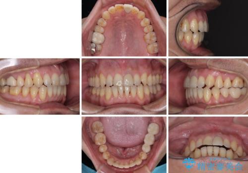
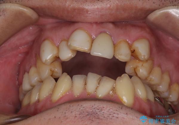
- 長年気になっていた口元を改善したいとのことで来院された患者様です。
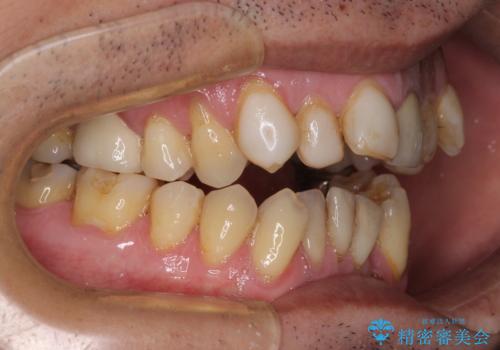
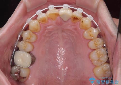
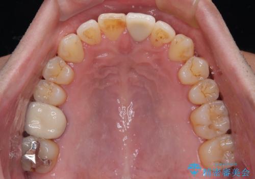
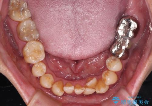
外科手術を併用した矯正治療を検討するほどに隙間の空いた開咬と、顕著な叢生が認められました。
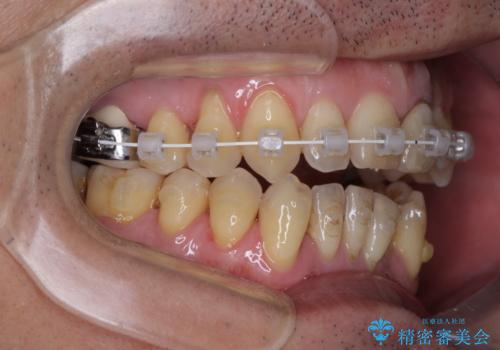
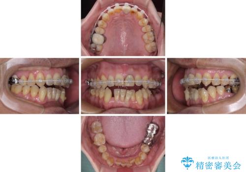
開咬の改善には、舌の突出癖改善のためにトレーニングを行いつつ、インビザラインでの矯正治療が大変有効ですが、上顎骨が下顎骨に対して前方位に位置しており、インビザライン単独で治療を行うよりは補助装置とワイヤー矯正で奥歯の咬み合わせを改善してから、開咬改善のためのインビザライン矯正治療を行うこととしました。
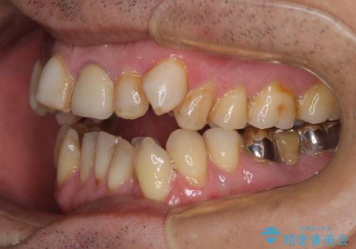
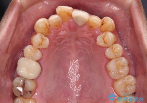
奥歯の銀歯は、土台の一部に抜歯が必要であったので、矯正治療の途中で抜歯してからオールセラミックブリッジによる補綴治療を行うこととしました。
- 費用(概算)
- 治療費の目安: 180万円(税込)費用は治療当時の料金となります
治療について
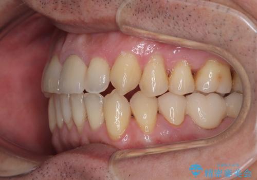
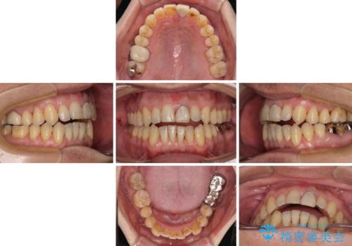
外科処置は希望されなかったので、開咬の改善は限界があると事前にお話ししていたため、上下前歯が完全に接触する前に、もう十分改善したとのことで治療を終了しました。
インビザラインを毎日22時間しっかりと装着してくださったので、我々も驚愕するほどの治療成果が達成されました。
ワイヤー矯正の注意事項(リスク・副作用など)
- 治療中は違和感や痛みが起こることがあります
- 症状により、抜歯が必要な場合があります
- 治療中は歯磨きがしにくくなるため、虫歯や歯周病になりやすくなります
- 矯正治療後の保定が不十分だと後戻り(元の位置に戻ろうとする動き)をします
- 自費診療(保険適用外)となります
マウスピース矯正の注意事項(リスク・副作用など)
- 口腔内・歯並びの状態によっては対応できない場合があります
- マウスピース型矯正装置の長時間装着(1日20時間以上)が必須です
- 治療計画通りに進めるためには、患者様の意志が重要になります
- 矯正治療後の保定が不十分だと後戻り(元の位置に戻ろうとする動き)をします
- 薬機法対象外の矯正歯科装置のため医薬品副作用被害救済制度の対象外となる場合があります
- 自費診療(保険適用外)となります
セラミック治療の注意事項(リスク・副作用など)
- 天然歯を削ります
- 硬い素材は天然歯を傷つけてしまう場合があります
- かみ合わせや歯ぎしりが強すぎる方はセラミックが割れてしまう可能性があります
- 自費診療(保険適用外治療)となります
当サイトの内容、テキスト、画像等の無断転載、複製、複写、盗用を固く禁じます。





























