症例詳細
Case detail
前歯の不自然なセラミック 下のすきっ歯 矯正治療で総合的に美しく
- 患者様
- 20代女性
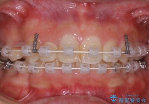
- 矯正装置
- ワイヤー矯正 審美装置
- 治療期間
- 2年3ヶ月
- 治療回数
- 10-30回
- 治療計画
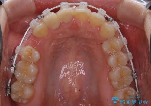
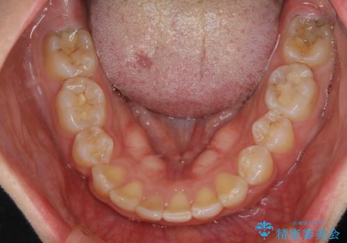
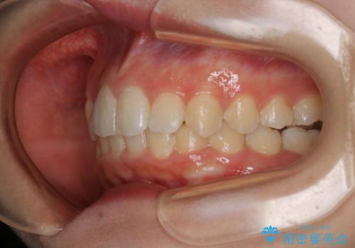
- 前歯の並びを気にして来院。
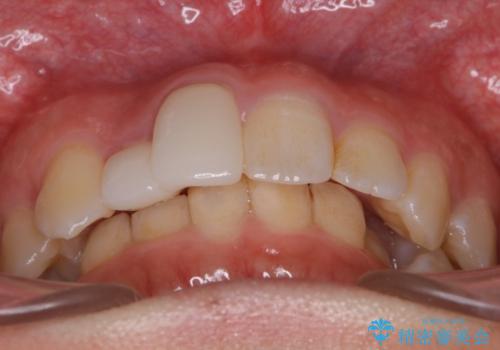
右上の2番目の前歯のセラミックが小さく、並びが気になるとのことでした。
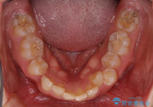
また、右下の歯が生まれつき少なく、隙間が空いている状態でした。
矯正治療でご自身の歯を移動して閉じることにしました。
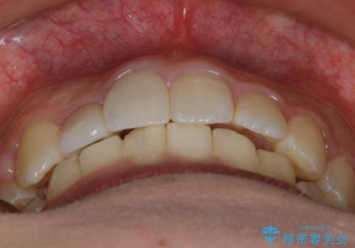
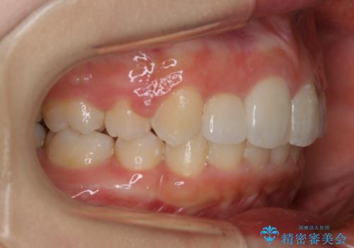
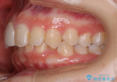
また、咬んだときに下の前歯が隠れる過蓋咬合でしたが、矯正治療で改善しました。
- 費用(概算)
- 132万円(矯正治療、セラミック治療)費用は治療当時の料金となります
治療について
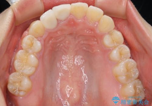
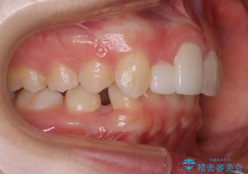
右上の2番目の前歯が奥に入っている状態で、かぶせてあったため左に比べて短いセラミックになってしまっていました。
矯正治療で根の向きも修正したため、左右対称に審美的なセラミックを入れることができました。
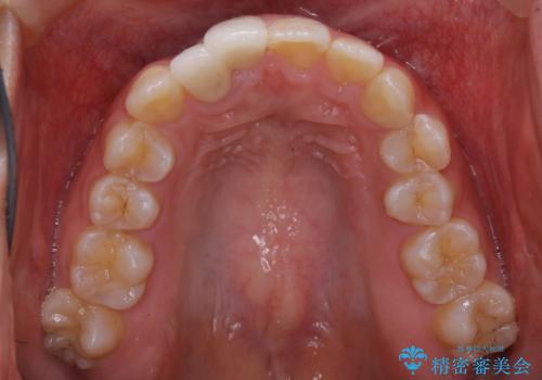
右下の隙間を閉じるため、歯の数を合わせるため、右上の小臼歯を一本抜歯しています。
セラミック矯正のデメリットついて
以前の治療はいわゆるセラミック矯正と呼ばれるものになります。
歯の生え方が悪い歯をセラミックだけで治療しようとした場合、どうしても自然な美しい歯を作ることはできません。
また、無理な治療により神経をとらなければならなかったり、磨きにくくなってしまうことで虫歯ができてしまったりと、歯の寿命を縮めてしまう恐れがあります。
ワイヤー矯正の注意事項(リスク・副作用など)
- 治療中は違和感や痛みが起こることがあります
- 症状により、抜歯が必要な場合があります
- 治療中は歯磨きがしにくくなるため、虫歯や歯周病になりやすくなります
- 矯正治療後の保定が不十分だと後戻り(元の位置に戻ろうとする動き)をします
- 自費診療(保険適用外)となります
セラミック治療の注意事項(リスク・副作用など)
- 天然歯を削ります
- 硬い素材は天然歯を傷つけてしまう場合があります
- かみ合わせや歯ぎしりが強すぎる方はセラミックが割れてしまう可能性があります
- 自費診療(保険適用外治療)となります
当サイトの内容、テキスト、画像等の無断転載、複製、複写、盗用を固く禁じます。























