症例詳細
Case detail
総合歯科診療 矯正希望で通院したら前歯がクラウンになっていた方の再治療
- 患者様
- 30代女性
- 矯正装置
- ハーフリンガル
- 治療期間
- 4年
- 治療回数
- 30回以上
- 治療計画
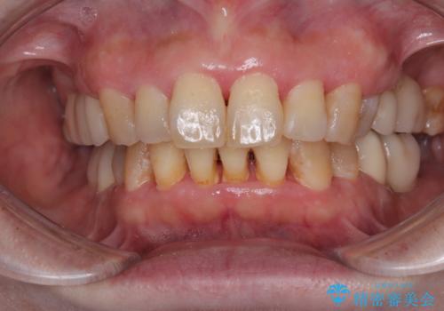
- 上の出っ歯を気にし、矯正治療を希望して美容歯科に行ったところ、ちゃんと説明のないままに前歯がクラウンになってしまったとのことで来院された患者様です。
クラウンとなっても出っ歯はさほど改善されず、更には不適なクラウンであったために歯肉が腫れている状態でした。
まずはクラウンを仮歯に替え、上顎の小臼歯2本を抜歯して矯正治療を実施し、その後歯周外科処置を行った上でオールセラミッククラウンにて補綴することとしました。
- 費用(概算)
- 治療費の目安: 180万円費用は治療当時の料金となります
治療を終えて
矯正治療は2年数ヶ月で終了したのですが、その後引っ越しをされ、クラウン装着までに長い期間がかかってしまいました。
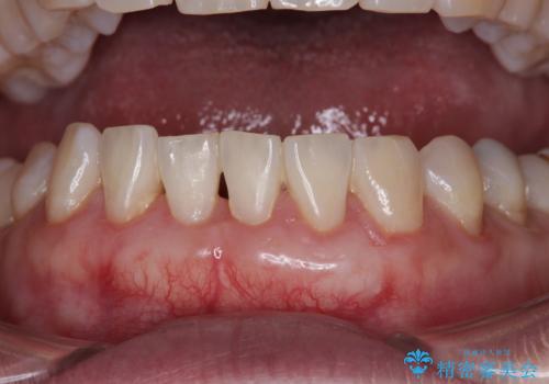
矯正治療により長年気になっていた出っ歯が改善され、更には歯磨きの度に悩まされていた前歯の出血もなくなり、患者様には大変満足していただきました。
リスクについて
外科処置は術後に痛みを伴います。
セラミックは破折などにより修復や再製作が必要となることがあります。
矯正治療は後戻りのリスクがあります。
ワイヤー矯正の注意事項(リスク・副作用など)
- 治療中は違和感や痛みが起こることがあります
- 症状により、抜歯が必要な場合があります
- 治療中は歯磨きがしにくくなるため、虫歯や歯周病になりやすくなります
- 矯正治療後の保定が不十分だと後戻り(元の位置に戻ろうとする動き)をします
- 自費診療(保険適用外)となります
当サイトの内容、テキスト、画像等の無断転載、複製、複写、盗用を固く禁じます。














