症例詳細
Case detail
変色した前歯をきれいにしたい 部分矯正を併用した前歯の審美歯科治療
- 患者様
- 40代男性
- 治療期間
- 8ヶ月
- 治療回数
- 10-30回
- 治療計画
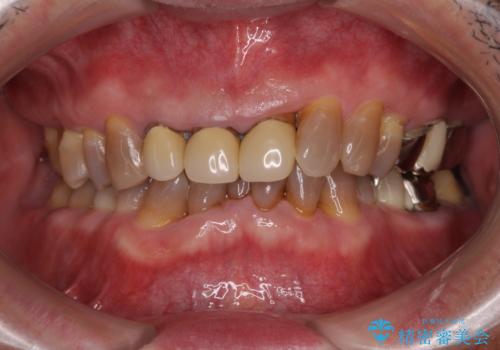
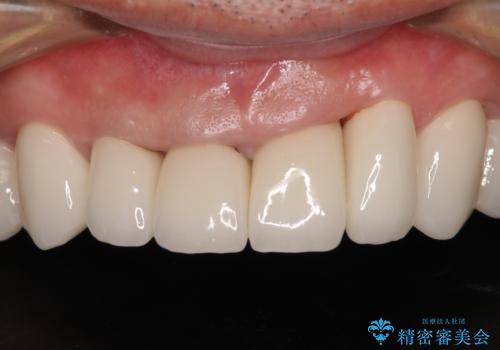
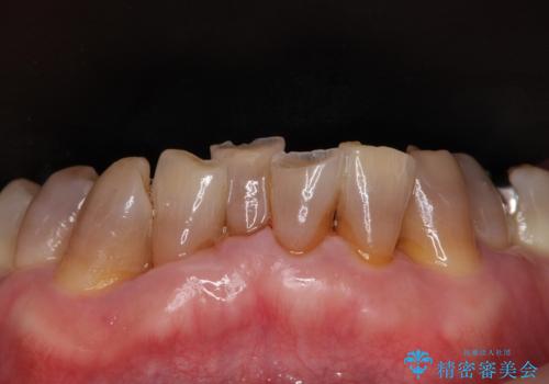
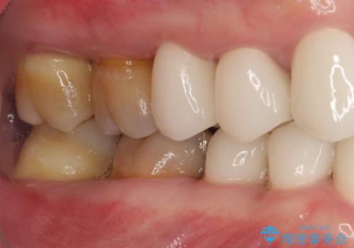
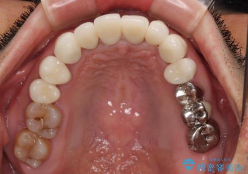
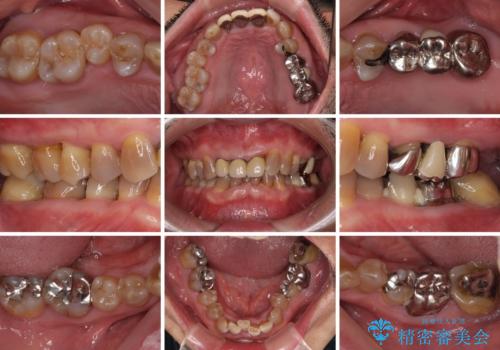
- 幼少期の薬剤の影響で歯が変色していていることを気にして来院された患者様です。
仕事も落ち着き、長年気にしていた前歯の色をきれいにしたいとのことでした。
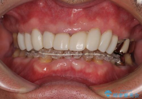
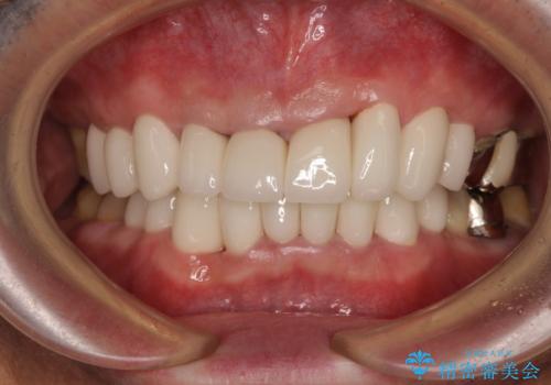
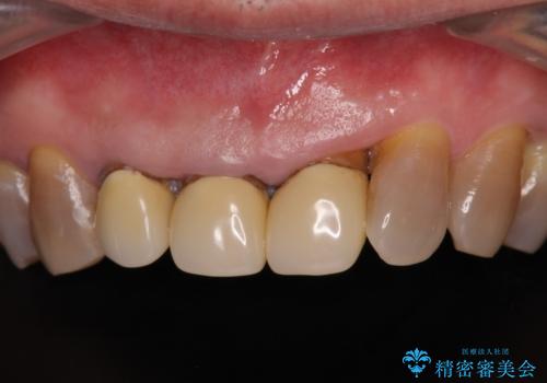
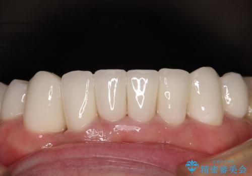
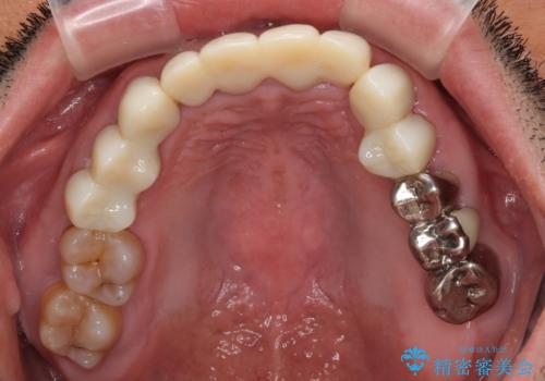
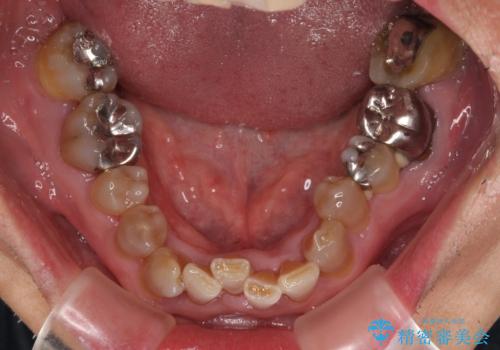
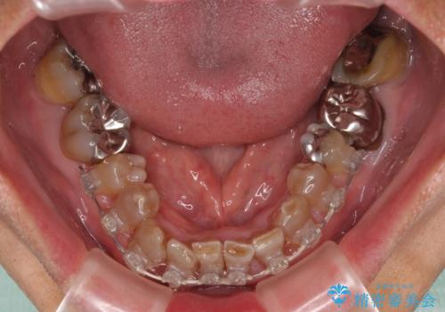
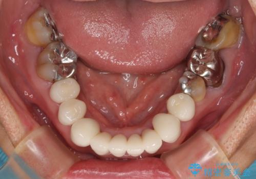
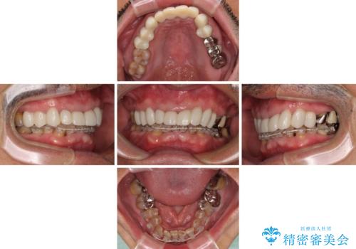
上下ともに前歯のセラミッククラウンによる補綴治療を希望されていましたが、下顎前歯は叢生が強いため、補綴治療前に部分矯正を行って歯列を整えた上で、補綴治療を行うこととしました。
- 費用(概算)
- 治療費の目安: 280万円(税込)費用は治療当時の料金となります
治療について
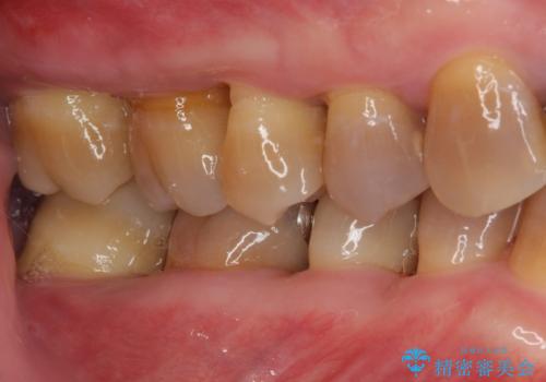
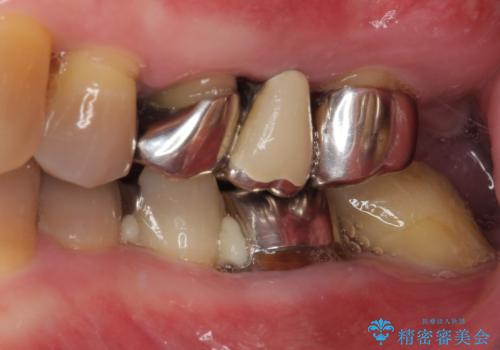
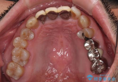
臼歯部には歯周ポケットのある箇所が散見されましたが、まずは前歯を治療したいとのことで、治療を進めました。
ディープバイトにより臼歯部に負担のかかる咬合であったので、補綴治療後には、矯正治療の後戻り防止もかねて、睡眠時にマウスピースを装着するように指示しました。
セラミック治療の注意事項(リスク・副作用など)
- 天然歯を削ります
- 硬い素材は天然歯を傷つけてしまう場合があります
- かみ合わせや歯ぎしりが強すぎる方はセラミックが割れてしまう可能性があります
- 自費診療(保険適用外治療)となります
ワイヤー矯正の注意事項(リスク・副作用など)
- 治療中は違和感や痛みが起こることがあります
- 症状により、抜歯が必要な場合があります
- 治療中は歯磨きがしにくくなるため、虫歯や歯周病になりやすくなります
- 矯正治療後の保定が不十分だと後戻り(元の位置に戻ろうとする動き)をします
- 自費診療(保険適用外)となります
当サイトの内容、テキスト、画像等の無断転載、複製、複写、盗用を固く禁じます。


























