症例詳細
Case detail
出っ歯と奥歯の欠損 ワイヤー矯正とインプラント治療
- 患者様
- 30代女性
- 矯正装置
- 審美装置
- 治療期間
- 3年
- 治療回数
- 30回以上
- 治療計画
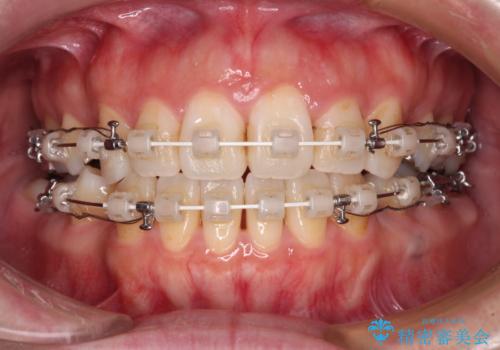
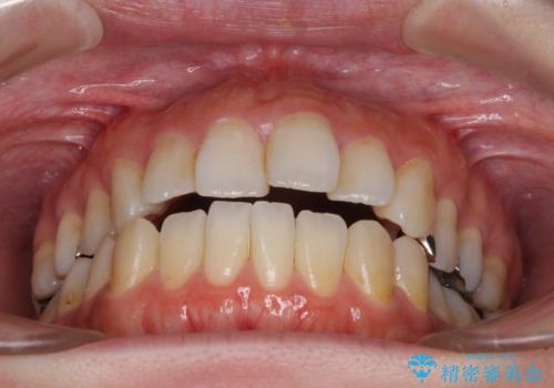
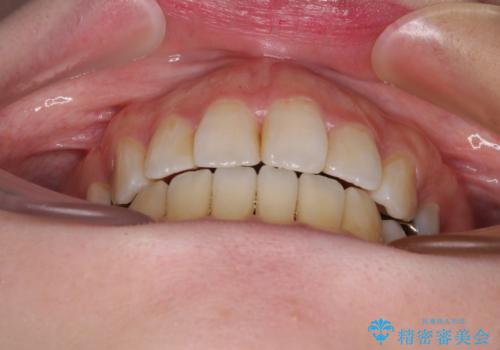
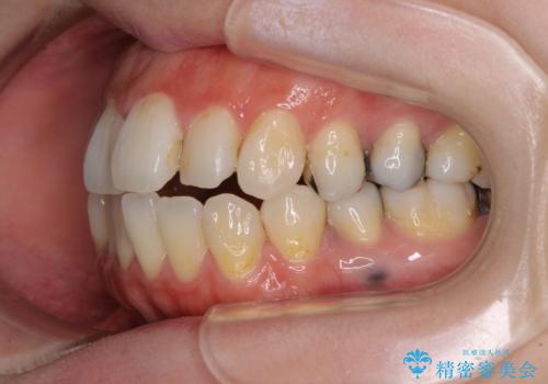
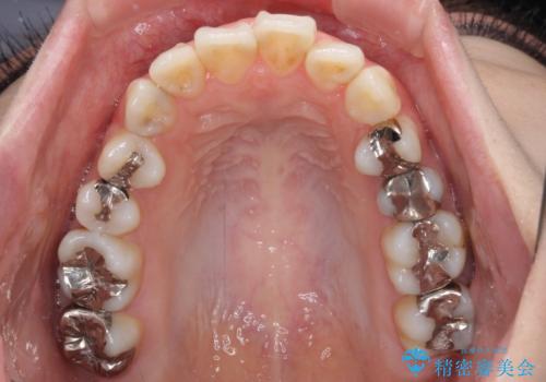
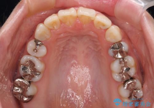
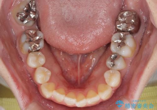
- 口元の突出感と奥歯の欠損を気にして来院された患者様です。
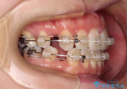
口元の突出感改善には、上下左右の第一小臼歯4本を抜歯し、奥歯の欠損部には矯正治療の途中でインプランを埋入していくこととしました。
- 費用(概算)
- 治療費の目安: 150万円(税込)費用は治療当時の料金となります
治療について
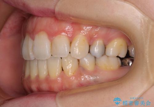
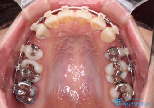
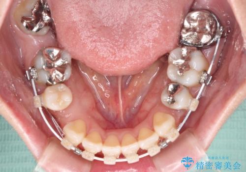
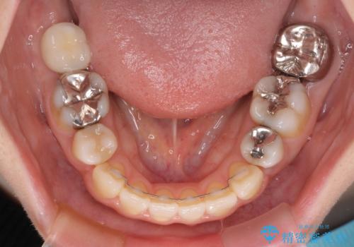
矯正治療の後半にインプラント埋入を行うことで、トータルの治療期間を短縮することができました。
ワイヤー矯正の注意事項(リスク・副作用など)
- 治療中は違和感や痛みが起こることがあります
- 症状により、抜歯が必要な場合があります
- 治療中は歯磨きがしにくくなるため、虫歯や歯周病になりやすくなります
- 矯正治療後の保定が不十分だと後戻り(元の位置に戻ろうとする動き)をします
- 自費診療(保険適用外)となります
インプラント治療の注意事項(リスク・副作用など)
- 外科手術のため、術後に痛みや腫れ、違和感を伴います
- メンテナンスを怠ったり喫煙により、お口の中に大きな悪影響を及ぼすインプラント周囲炎等にかかる可能性があります
- 糖尿病、肝硬変、心臓病等の場合、インプラント治療ができない可能性があります
- 高血圧、貧血・不整脈等の場合、インプラント治療後に治癒不全を招く可能性があります
- 自費診療(保険適用外治療)となります
セラミック治療の注意事項(リスク・副作用など)
- 天然歯を削ります
- 硬い素材は天然歯を傷つけてしまう場合があります
- かみ合わせや歯ぎしりが強すぎる方はセラミックが割れてしまう可能性があります
- 自費診療(保険適用外治療)となります
当サイトの内容、テキスト、画像等の無断転載、複製、複写、盗用を固く禁じます。





























