症例詳細
Case detail
目立つ金属をすべてセラミックに 全顎的メタルフリー治療
治療症例の内容
- 患者様
- 40代男性
- 治療期間
- 8ヶ月
- 治療回数
- 5-10回
- 治療計画
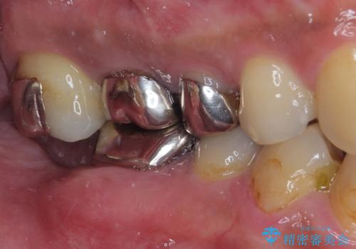
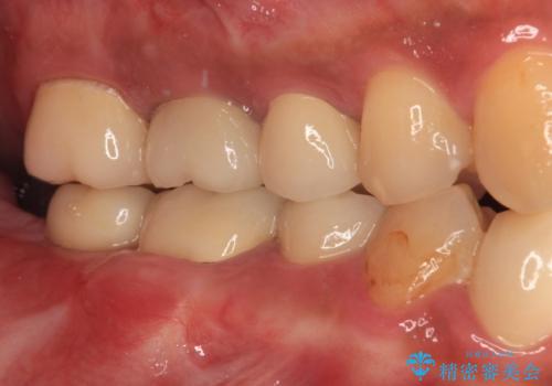
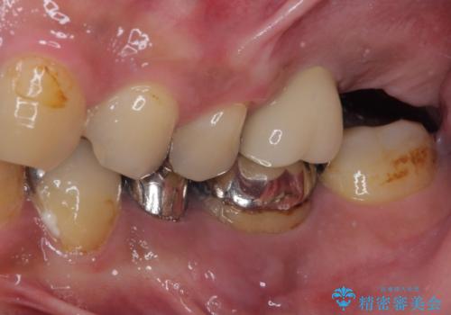
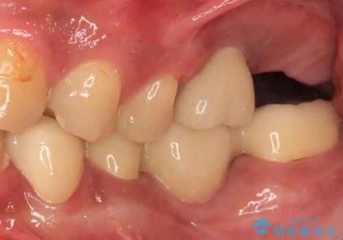
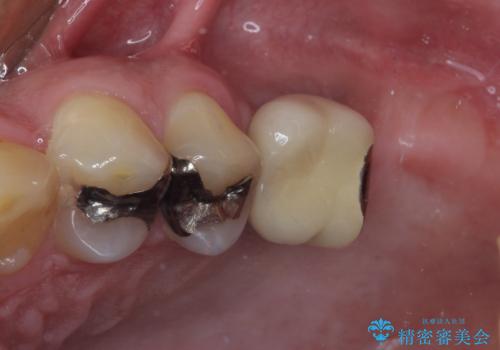
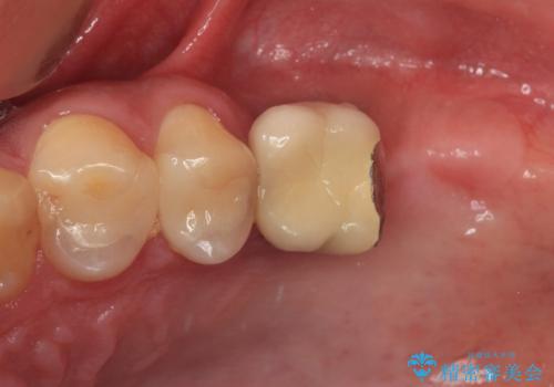
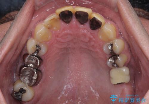
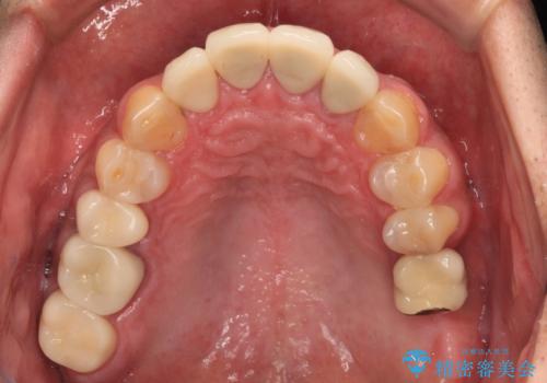
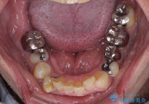
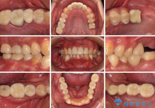
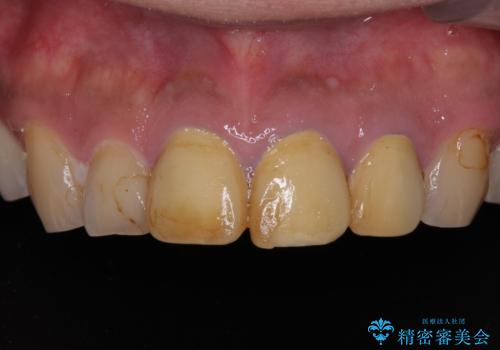
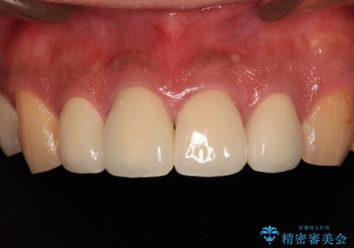
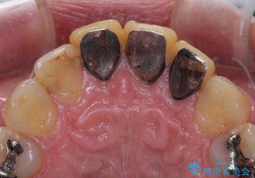
- 黄ばんだ前歯や目立つ奥歯の銀歯をきれいにしたいとのことで来院された患者様です。
欠損している歯や、割れてしまって抜歯の必要な歯などがあり、咬合力が強いため欠損部はインプラント補綴を前提に治療を行うこととしました。
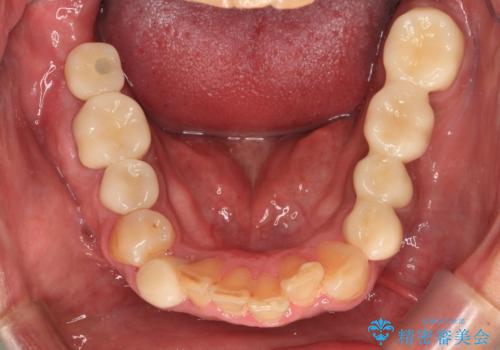
しかしながら、左下の抜歯部位は骨欠損が著しく大きく、多大な垂直的骨造成を要するため、3歯を支台としたブリッジによる補綴治療とし、右下のみをインプラント補綴としました。
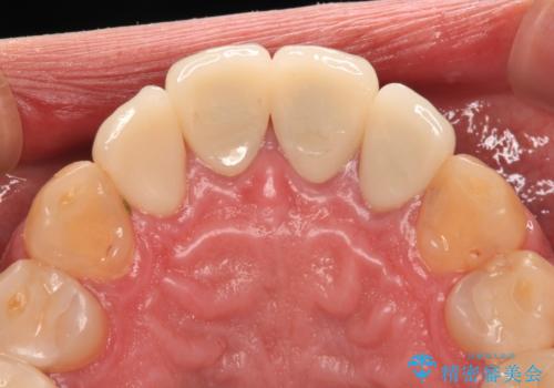
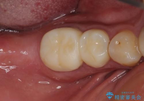
小さい修復物の銀歯が装着されている歯はセラミックインレーにて、その他はオールセラミッククラウンにて補綴治療を進めることとしました。
- 費用(概算)
- 治療費の目安: 250万円(税込)費用は治療当時の料金となります
治療について
矯正治療にも最初は興味を持たれていましたが、抜歯矯正の可能性が高いことや、治療期間、後戻り防止のためのマウスピース使用などが煩わしいと感じ、補綴治療のみを行うこととなりました。
セラミック治療の注意事項(リスク・副作用など)
- 天然歯を削ります
- 硬い素材は天然歯を傷つけてしまう場合があります
- かみ合わせや歯ぎしりが強すぎる方はセラミックが割れてしまう可能性があります
- 自費診療(保険適用外治療)となります
インプラント治療の注意事項(リスク・副作用など)
- 外科手術のため、術後に痛みや腫れ、違和感を伴います
- メンテナンスを怠ったり喫煙により、お口の中に大きな悪影響を及ぼすインプラント周囲炎等にかかる可能性があります
- 糖尿病、肝硬変、心臓病等の場合、インプラント治療ができない可能性があります
- 高血圧、貧血・不整脈等の場合、インプラント治療後に治癒不全を招く可能性があります
- 自費診療(保険適用外治療)となります
当サイトの内容、テキスト、画像等の無断転載、複製、複写、盗用を固く禁じます。


























