症例詳細
Case detail
歯肉の腫れた前歯 部分矯正と歯周外科後の審美治療
治療症例の内容
- 患者様
- 30代女性
- 矯正装置
- プラスチックブラケット
- 治療期間
- 1年3ヶ月
- 治療回数
- 10-30回
- 治療計画
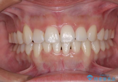
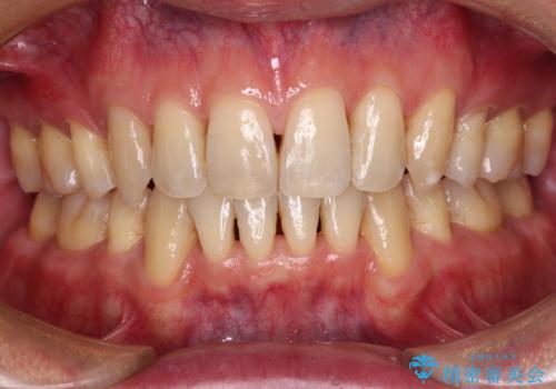
- 前歯の歯茎に違和感を感じるとのことで来院された患者様です。
左上中央の歯は根の深くまで割れており、抜歯が必要との診断となりました。
それ以外の3歯も歯肉深いところまでクラウンが装着されていたため、歯周外科(歯肉弁根尖側移動術)を行った後にオールセラミッククラウンにて補綴することとしました。
また、下の前歯が隠れてしまうほど上の前歯が下に降りていることを気にされていたため、部分矯正により前歯の位置を事前に改善することとしました。
- 費用(概算)
- 治療費の目安: 100万円費用は治療当時の料金となります
治療を終えて
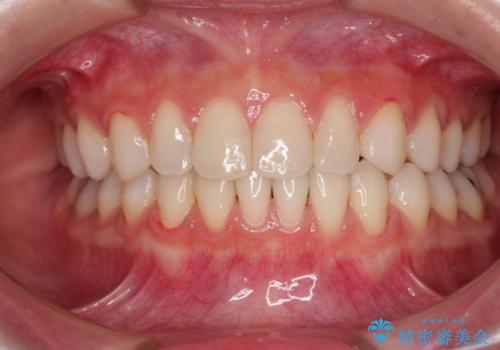
抜歯や矯正治療、歯周外科処置など盛りだくさんの治療計画となったため、初めはとても不安に感じていらっしゃいましたが、矯正治療により八重歯が改善したり、下の歯が見えるようになったりとしたことで、途中からは治療結果を楽しみに感じていただけるようになりました。
矯正治療や歯周外科により治療期間は多少長くかかりましたが、患者様が望まれた前歯の仕上がりとなり、大変満足していただきました。
リスクについて
外科処置は術後に痛みを伴います。
セラミックは破折などにより修復や再製作が必要となることがあります。
矯正治療は後戻りのリスクがあります。
根管治療後は一定の確率で症状が再発する可能性があります。
ワイヤー矯正の注意事項(リスク・副作用など)
- 治療中は違和感や痛みが起こることがあります
- 症状により、抜歯が必要な場合があります
- 治療中は歯磨きがしにくくなるため、虫歯や歯周病になりやすくなります
- 矯正治療後の保定が不十分だと後戻り(元の位置に戻ろうとする動き)をします
- 自費診療(保険適用外)となります
当サイトの内容、テキスト、画像等の無断転載、複製、複写、盗用を固く禁じます。
















