症例詳細
Case detail
放置したインプラントとインビザライン 全顎リカバリー治療
治療症例の内容
- 患者様
- 50代女性
- 矯正装置
- 審美装置
- 治療期間
- 2年2ヶ月
- 治療回数
- 10-30回
- 治療計画
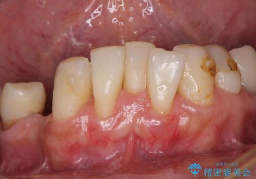
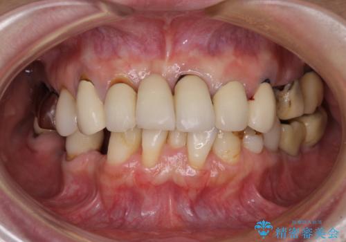
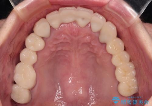
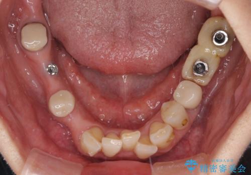
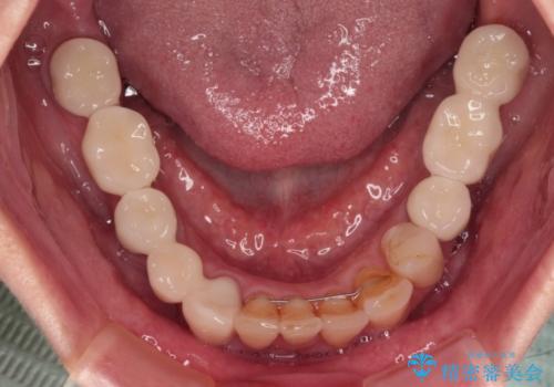
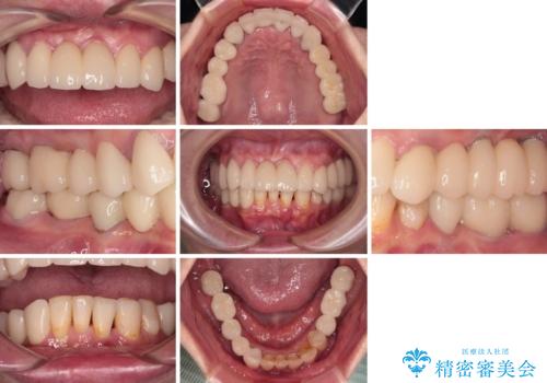
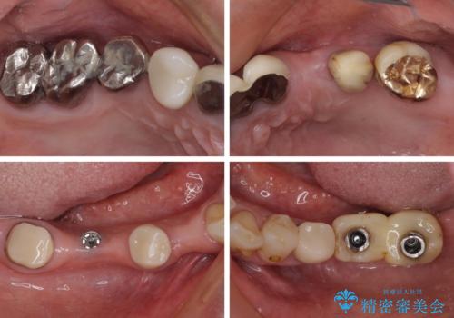
- 以前通院していた医院で、奥歯のインプラント埋入、前歯部のインビザライン矯正を行ったものの、そのまま放置してしまったとのことで来院された患者様です。
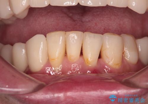
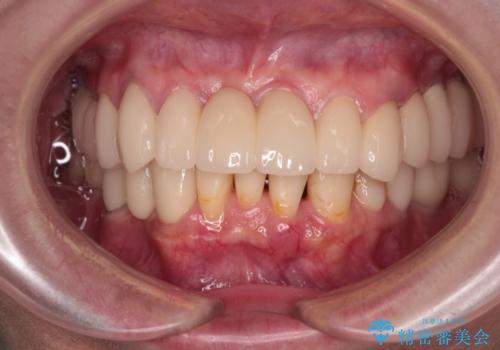
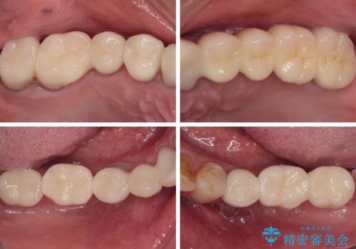
下顎前歯や上顎奥歯などをワイヤー装置により部分矯正を行い、歯列を整えた上でインプラン部分を含めてオールセラミッククラウンにて補綴治療を行うこととしました。
- 費用(概算)
- 治療費の目安: 450万円(税込)費用は治療当時の料金となります
治療について
ご主人が通院されていたことで、ご紹介により来院されました。
インプラント上の仮歯がボロボロになり、前歯に非常に負担のかかる状態であったため、早急に奥歯の仮歯を修復し、矯正治療、奥歯の補綴治療、前歯の補綴治療と順々に進めて行きました。
セラミック治療の注意事項(リスク・副作用など)
- 天然歯を削ります
- 硬い素材は天然歯を傷つけてしまう場合があります
- かみ合わせや歯ぎしりが強すぎる方はセラミックが割れてしまう可能性があります
- 自費診療(保険適用外治療)となります
当サイトの内容、テキスト、画像等の無断転載、複製、複写、盗用を固く禁じます。


















