症例詳細
Case detail
インビザラインによる矯正治療と奥歯のインプラント治療
- 患者様
- 20代男性
- 矯正装置
- インビザライン
- 治療期間
- 3年6ヶ月
- 治療回数
- 10-30回
- 治療計画
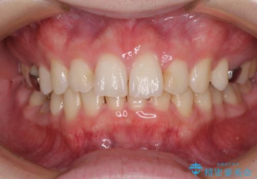
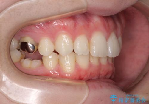
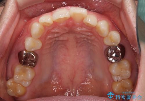
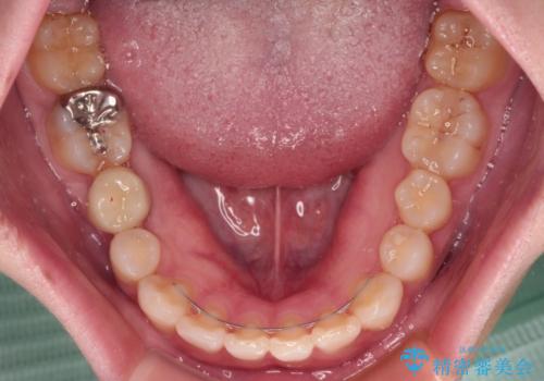
- 咬み合わせと前歯のデコボコを気にして来院された患者様です。
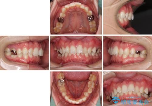
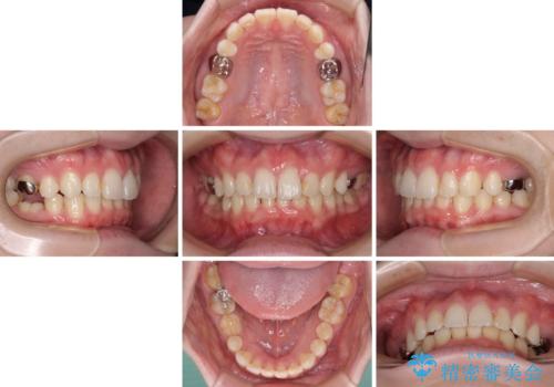
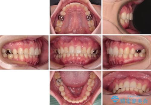
前から5番目の永久歯が3本欠損しており、乳歯が残存している状態でしたが、インビザラインでも十分に対応可能と判断し、インビザラインにて矯正治療を行うこととしました。
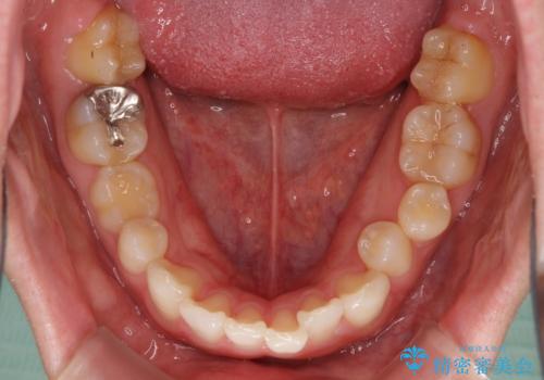
右下の残存している乳歯は萌出しきれておらず、全く咬み合っていない状態であり、インビザラインにて移動できない可能性があるため、ワイヤー矯正の併用も念頭に置いて治療を開始しました。
- 費用(概算)
- 治療費の目安: 130万円(税込)費用は治療当時の料金となります
治療について
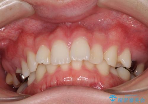
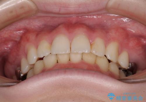
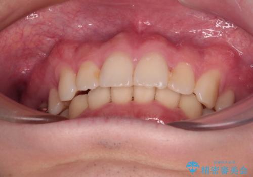
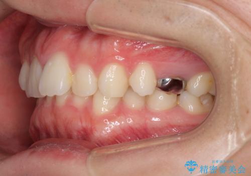
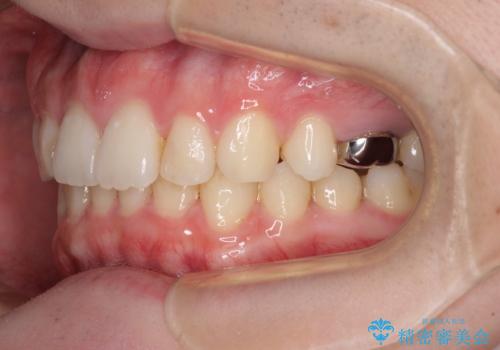
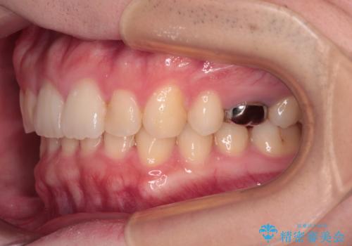
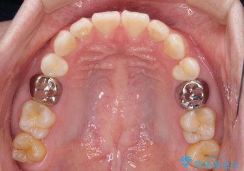
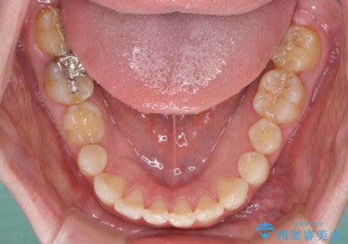
萌出が不十分な歯はインビザラインで引き出すことができないため、ワイヤー装置などの併用が必須となります。
今回は部分的にワイヤー矯正を用いましたが、右下の乳歯は全く動かなかったため、抜歯をした上でインプラントを埋入し、オールセラミッククラウンにて補綴治療を行いました。
マウスピース矯正の注意事項(リスク・副作用など)
- 口腔内・歯並びの状態によっては対応できない場合があります
- マウスピース型矯正装置の長時間装着(1日20時間以上)が必須です
- 治療計画通りに進めるためには、患者様の意志が重要になります
- 矯正治療後の保定が不十分だと後戻り(元の位置に戻ろうとする動き)をします
- 薬機法対象外の矯正歯科装置のため医薬品副作用被害救済制度の対象外となる場合があります
- 自費診療(保険適用外)となります
インプラント治療の注意事項(リスク・副作用など)
- 外科手術のため、術後に痛みや腫れ、違和感を伴います
- メンテナンスを怠ったり喫煙により、お口の中に大きな悪影響を及ぼすインプラント周囲炎等にかかる可能性があります
- 糖尿病、肝硬変、心臓病等の場合、インプラント治療ができない可能性があります
- 高血圧、貧血・不整脈等の場合、インプラント治療後に治癒不全を招く可能性があります
- 自費診療(保険適用外治療)となります
セラミック治療の注意事項(リスク・副作用など)
- 天然歯を削ります
- 硬い素材は天然歯を傷つけてしまう場合があります
- かみ合わせや歯ぎしりが強すぎる方はセラミックが割れてしまう可能性があります
- 自費診療(保険適用外治療)となります
当サイトの内容、テキスト、画像等の無断転載、複製、複写、盗用を固く禁じます。



























