症例詳細
Case detail
- 患者様
- 50代女性
- 治療期間
- 2年
- 治療回数
- 10-30回
- 治療計画
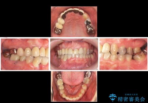
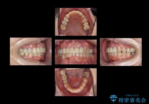
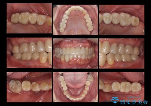
- 全体的な虫歯治療、根管治療、および歯周病治療を行いました。
歯周病治療につきましては歯周ポケット除去のために歯周外科処置(APF)を行っています。
左下6の欠損については左下7はワイヤー部分矯正でアップライトを行い、補綴スペースを確保しています。
右下犬歯は歯周病の進行が重度のため、やむなく抜歯をし、骨増生後にインプラント埋入を行っています。
- 費用(概算)
- 約660万円費用は治療当時の料金となります
治療について
根管治療は横浜桜木町歯科 大元先生が担当しました。
右下7の根管治療および再植は銀座院 林先生が担当しています。(抜歯は希望されなかったため、再植を行い、現在経過観察中です。)
セラミック治療の注意事項(リスク・副作用など)
- 天然歯を削ります
- 硬い素材は天然歯を傷つけてしまう場合があります
- かみ合わせや歯ぎしりが強すぎる方はセラミックが割れてしまう可能性があります
- 自費診療(保険適用外治療)となります
歯周病治療の注意事項(リスク・副作用など)
- 外科手術のため、術後に痛みや腫れ、違和感を伴います
- 歯周組織再生治療は患者様の状態によって術後の経過が異なります(見た目が改善しない場合もあります)
- 歯周組織再生治療は自費診療(保険適用外)となります
根管治療の注意事項(リスク・副作用など)
- 根管治療により類似の全ての症例の問題が解決するわけではなく、症例はあくまでも一例です
- 根管治療により痛みや腫れがひかない事や、術後に痛みや腫れが生じる事、治療によるファイル破折やパーフォレーションなどの偶発症、術後の歯根破折を生じる可能性もあります
- 自費診療(保険適用外)となります
ワイヤー矯正の注意事項(リスク・副作用など)
- 治療中は違和感や痛みが起こることがあります
- 症状により、抜歯が必要な場合があります
- 治療中は歯磨きがしにくくなるため、虫歯や歯周病になりやすくなります
- 矯正治療後の保定が不十分だと後戻り(元の位置に戻ろうとする動き)をします
- 自費診療(保険適用外)となります
当サイトの内容、テキスト、画像等の無断転載、複製、複写、盗用を固く禁じます。









