症例詳細
Case detail
前歯をきれいにしたい インプラントや部分矯正を用いた総合歯科治療
- 患者様
- 60代女性
- 治療期間
- 1年5ヶ月
- 治療回数
- 10-30回
- 治療計画
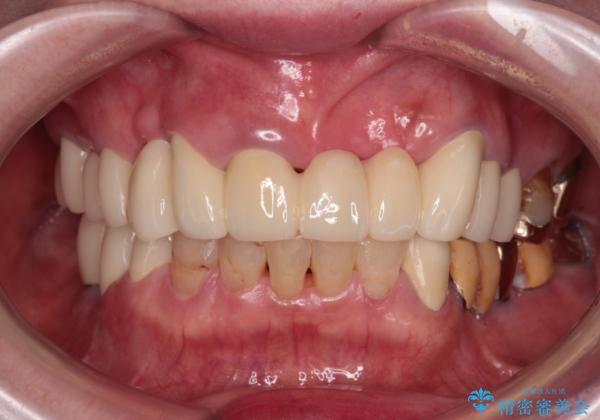
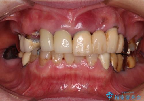
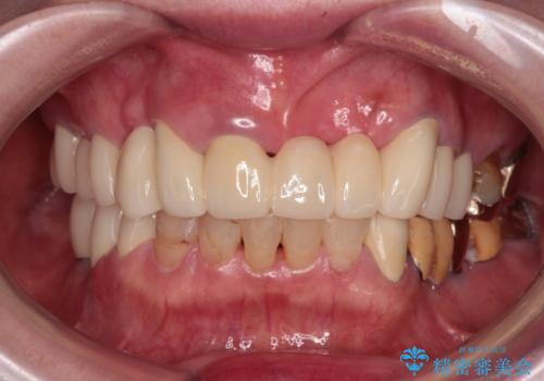
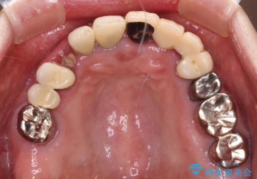
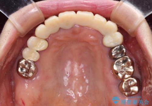
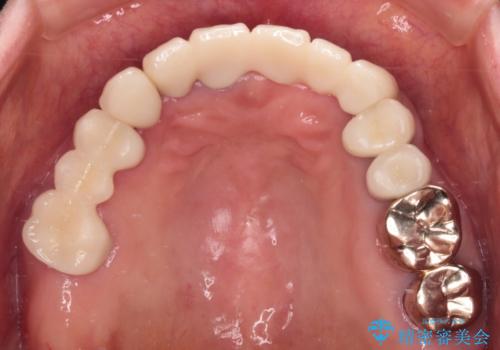
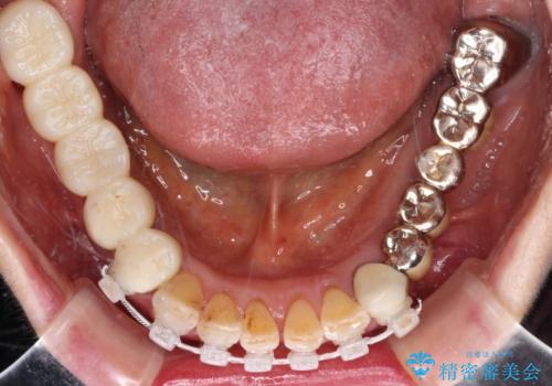
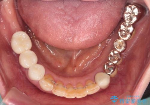
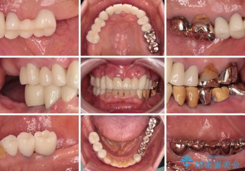
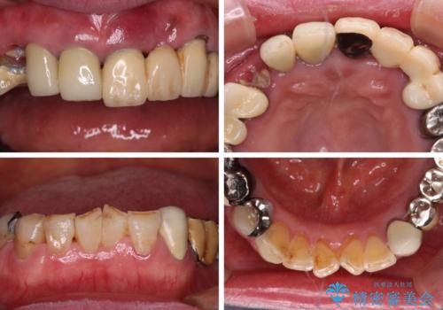
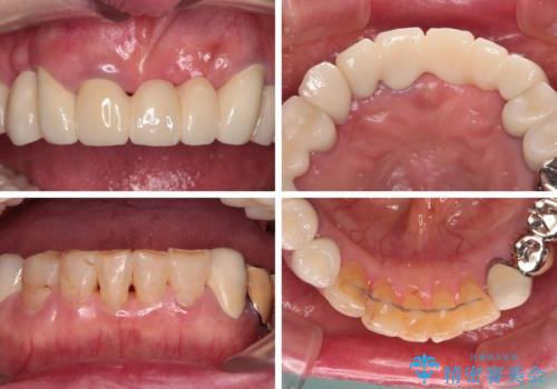
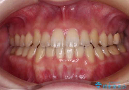
- 抜歯の必要な前歯や、以前治療した前歯のクラウンの外観を気にして来院された患者様です。
 上顎犬歯や下顎大臼歯は、必要なところはインプラントを埋入することとしました。
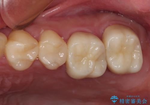
 クラウンが不適合であったり、根管治療の必要なほどの痛みのある歯であったり、見た目の気になる前歯などをオールセラミッククラウンに補綴治療を行うこととしました。
- 費用(概算)
- 治療費の目安: 250万円(税込)費用は治療当時の料金となります
治療について
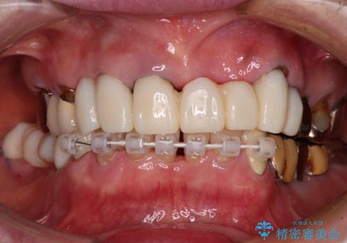
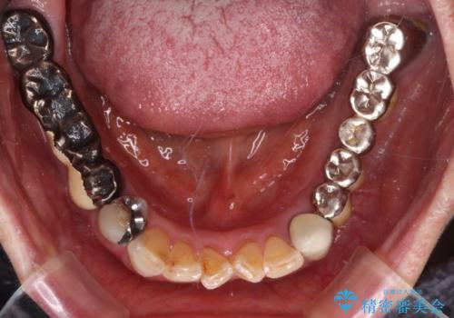
処置を予定していた歯を仮歯に変えた時点で、下顎前歯の部分矯正を行うかどうかを尋ねたところ、折角なので行いたいと言うことでしたので、矯正治療を行うこととしました。
インプラント埋入や根管治療治療など、治癒に一定の期間を要する処置の合間に矯正治療を行うことで、効率的に治療を進めて行くことができました。
インプラント治療の注意事項(リスク・副作用など)
- 外科手術のため、術後に痛みや腫れ、違和感を伴います
- メンテナンスを怠ったり喫煙により、お口の中に大きな悪影響を及ぼすインプラント周囲炎等にかかる可能性があります
- 糖尿病、肝硬変、心臓病等の場合、インプラント治療ができない可能性があります
- 高血圧、貧血・不整脈等の場合、インプラント治療後に治癒不全を招く可能性があります
- 自費診療(保険適用外治療)となります
ワイヤー矯正の注意事項(リスク・副作用など)
- 治療中は違和感や痛みが起こることがあります
- 症状により、抜歯が必要な場合があります
- 治療中は歯磨きがしにくくなるため、虫歯や歯周病になりやすくなります
- 矯正治療後の保定が不十分だと後戻り(元の位置に戻ろうとする動き)をします
- 自費診療(保険適用外)となります
セラミック治療の注意事項(リスク・副作用など)
- 天然歯を削ります
- 硬い素材は天然歯を傷つけてしまう場合があります
- かみ合わせや歯ぎしりが強すぎる方はセラミックが割れてしまう可能性があります
- 自費診療(保険適用外治療)となります
当サイトの内容、テキスト、画像等の無断転載、複製、複写、盗用を固く禁じます。








 
                       
                                                          

















 
                   
                   
                  