症例詳細
Case detail
歯をきれいにしたい ワイヤー矯正治療と虫歯治療
- 患者様
- 20代女性
- 矯正装置
- 審美装置
- 治療期間
- 10ヶ月
- 治療回数
- 10-30回
- 治療計画
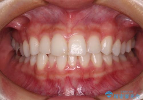
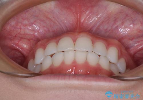
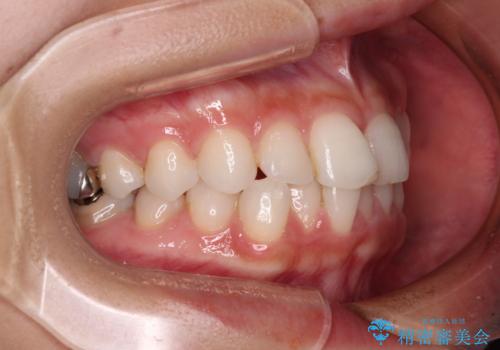
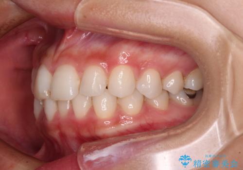
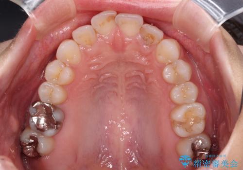
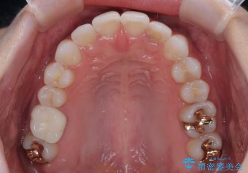
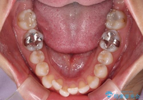
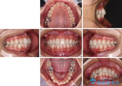
- 歯並びと虫歯をきれいにしたいとのことで来院された患者様です。
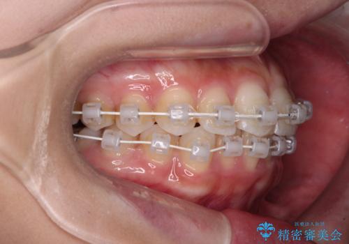
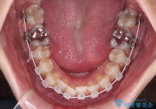
楽して短期間で歯列を整えたいとのことで、ワイヤー装置を用いて矯正治療を行い、矯正治療後に下顎の虫歯はセラミックインレー、上顎はPGAインレー(ゴールドインレー)、根管治療を行う歯についてはオールセラミッククラウンにて補綴治療を行うこととしました。
- 費用(概算)
- 治療費の目安: 160万円(税込)費用は治療当時の料金となります
治療について
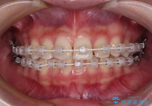
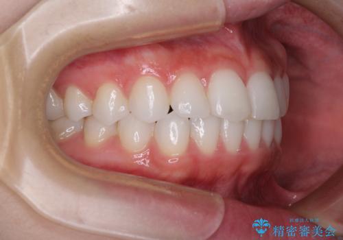
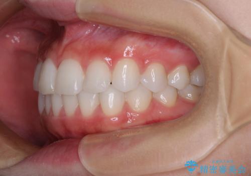
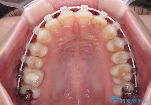
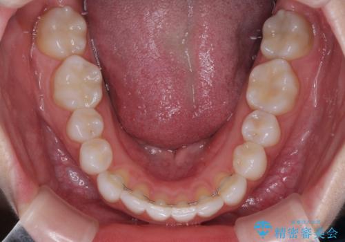
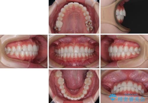
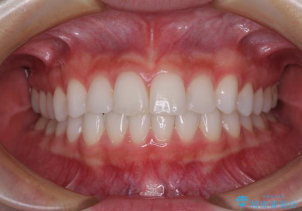
矯正治療は8ヶ月ほどで終了し、速やかに虫歯治療に移行することができました。
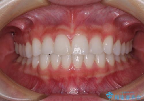
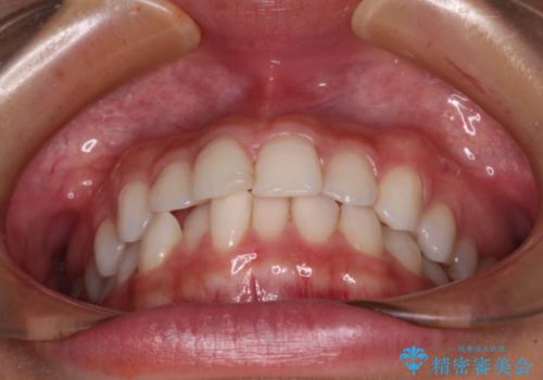
保険治療で用いる樹脂(コンポジットレジン)で行った虫歯治療は、周辺が変色して汚くなっていましたが、下顎はセラミックインレーで審美的に、上顎はPGAインレーで歯に負担の少ない治療を行うことができました。
ワイヤー矯正の注意事項(リスク・副作用など)
- 治療中は違和感や痛みが起こることがあります
- 症状により、抜歯が必要な場合があります
- 治療中は歯磨きがしにくくなるため、虫歯や歯周病になりやすくなります
- 矯正治療後の保定が不十分だと後戻り(元の位置に戻ろうとする動き)をします
- 自費診療(保険適用外)となります
セラミック治療の注意事項(リスク・副作用など)
- 天然歯を削ります
- 硬い素材は天然歯を傷つけてしまう場合があります
- かみ合わせや歯ぎしりが強すぎる方はセラミックが割れてしまう可能性があります
- 自費診療(保険適用外治療)となります
PGA(ゴールド)クラウン、インレーの注意事項(リスク・副作用など)
- インレーおよびクラウンは脱離するリスクがあります
- 形成量はセラミックより少ないですが、歯の形成、修復後に歯に症状が出ることがあります
- 自費診療(保険適用外治療)となります
当サイトの内容、テキスト、画像等の無断転載、複製、複写、盗用を固く禁じます。
























