症例・治療例紹介
Cases
最新の症例
舌小帯の処置 滑舌が気になる


滑舌の向上を目指して! 舌小帯形成術の効果を実感しよう


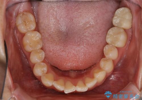
【重度叢生ワイヤー矯正】きれいな歯並びにしたい
担当医 河口智英


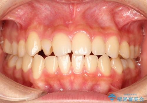
【抜歯ワイヤー矯正】前歯を引っ込めたい


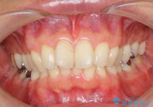
【インビザライン】前歯の凸凹をマウスピース矯正でなおしたい
担当医 河口智英


歯の形が気になる セラミックでキレイな歯に!


[ 歯冠長延長術 ] クラウンスペースの確保を行い抜歯を回避
![[ 歯冠長延長術 ] クラウンスペースの確保を行い抜歯を回避の症例 治療前](https://seimitsushinbi.jp/wp/wp-content/uploads/2024/08/70e2e357470ac1fd6c1489f5d90a7b82-500x350.jpg?v=1724393985)
![[ 歯冠長延長術 ] クラウンスペースの確保を行い抜歯を回避の症例 治療後](https://seimitsushinbi.jp/wp/wp-content/uploads/2024/08/55bc634e756d10cce362016c1293fafc-500x350.jpg?v=1724393990)
[ 引っ込んだ前歯を治したい ] 歯を抜かないマウスピース矯正
![[ 引っ込んだ前歯を治したい ] 歯を抜かないマウスピース矯正の症例 治療前](https://seimitsushinbi.jp/wp/wp-content/uploads/2024/03/IMG_1089-500x350.jpg?v=1711680738)
![[ 引っ込んだ前歯を治したい ] 歯を抜かないマウスピース矯正の症例 治療後](https://seimitsushinbi.jp/wp/wp-content/uploads/2024/03/5329ad9ea362646e5d4ee5f7b30cf319-500x350.jpg?v=1711680954)
【オールセラミッククラウン】前歯の色が気になる!
担当医 河野豊嘉


【オールセラミッククラウン】前歯の見た目が気になる!
担当医 河野豊嘉


保険治療のプラスチックが劣化し虫歯に。 セラミックでつぎはぎなく治療


すきっ歯 セラミックで治すか矯正で治すか相談したい


八重歯 歯を抜かずにインビザラインで






