症例・治療例紹介
Cases
最新の症例
オールセラミッククラウン 奥歯の虫歯・深いポケットの除去


オールセラミッククラウン・セラミックインレー 口腔内全体の見た目の改善


オールセラミッククラウン 精密根管治療~神経が死んでしまった歯の治療~


セラミックインレー しみる古い樹脂のやり替え


詰め物が外れた セラミックによる精密な修復


上下の歯のガタガタ ワイヤーでの抜歯矯正で整った歯並びへ


痛みの続いた歯を原因から治療


オールセラミッククラウン 欠損補綴と再生療法による深いポケットの改善


オールセラミッククラウン セラミックインレー 銀歯を白い歯へ


天然歯を模した ハイグレードオールセラミッククラウン
担当医 大元洋佑


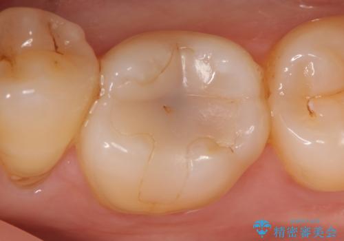
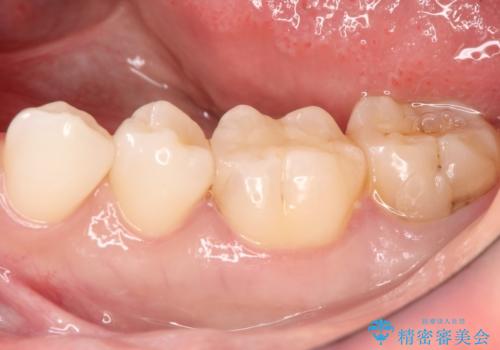
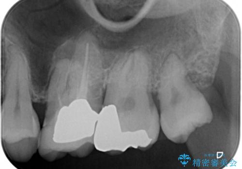
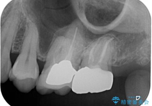
セラミックインレー 虫歯で欠けた歯の治療


前歯をメタルフリーに 根管治療で不安を取り除いてから


前歯のすきっぱ&奥歯の虫歯 セラミッククラウンで徹底的に治す






