症例・治療例紹介
Cases
最新の症例
犬歯の変色 マウスピースで手軽にエクストリュージョン 歯ぐきの炎症をおさめます


歯を抜かない矯正 奥歯のすれ違い咬合 下の八重歯
担当医 井上季実子


オールセラミッククラウン 治療途中の歯の再治療


オールセラミッククラウン ズキズキ痛む歯の治療


クラウン下に再発した深い虫歯 インプラントによる機能回復


咬合性外傷による歯槽骨吸収 ブリッジ補綴
担当医 大元洋佑


オールセラミッククラウン 疼く奥歯の治療


前歯ブリッジのやりかえ
担当医 大元洋佑


オールセラミッククラウン(スペシャル) 不揃いな前歯を綺麗に


歯ぐきが下がり歯がしみる 歯肉移植による治療
担当医 大元洋佑


前歯のガタガタの矯正 下顎の前歯を1本抜歯してのインビザライン矯正


ワイヤーによる全体的ながたつきの矯正治療


セラミックインレー 虫歯と指摘された奥歯の治療


ぶつけた前歯 変色歯をオールセラミッククラウンに



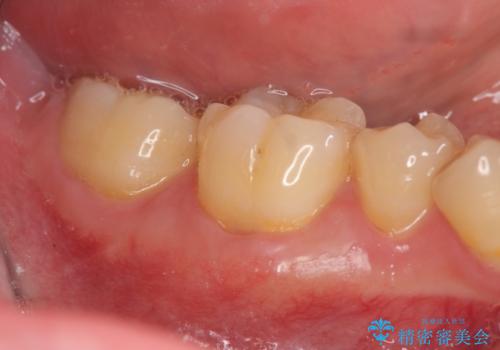
![[嘔吐反射がひどく義歯がつけられない] 臼歯部インプラント補綴 の症例 治療前](https://seimitsushinbi.jp/wp/wp-content/uploads/2020/03/1b03fb94a80967489da3fbc10eca6c8f-500x350.jpg?v=1585390188)
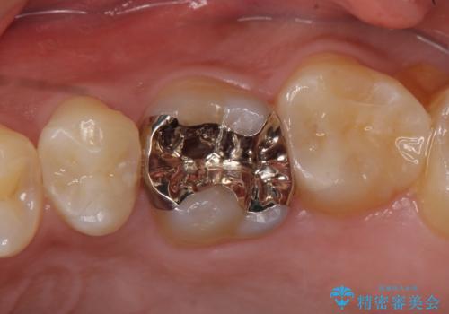
![[嘔吐反射がひどく義歯がつけられない] 臼歯部インプラント補綴 の症例 治療後](https://seimitsushinbi.jp/wp/wp-content/uploads/2020/03/27f48952c3f36e797e751ba818028a44-1-500x350.jpg?v=1585390198)