症例・治療例紹介
Cases
最新の症例
ホワイトニングで白い歯に 1日でできます
担当医 歯科衛生士


適合が悪いかぶせ物と詰め物の再治療


八重歯の治療 仕上がり重視で


前歯のねじれ 上だけ部分矯正でコストダウン


再矯正 一度抜かないでやったが、やっぱり抜いて口元下げたい


40代の矯正 出っ歯、歯のがたがた


前歯の変色 セラミックで ホワイトニングも併用


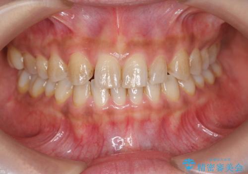
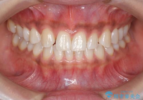
前歯のがたつき 過蓋咬合


受け口の改善 歯を抜かずに矯正


前歯が1本内側に引っ込んでいる ワイヤーによる抜歯矯正


上下の前歯のがたつき 歯を抜かずに矯正


軽度の前歯のがたつき 下の前歯が生まれつき少ない


前歯のねじれを 1年かけずに矯正 インビザライン






