症例・治療例紹介
Cases
最新の症例
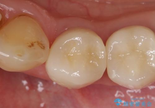
骨の中にまで及んだ深い虫歯 歯周外科処置を用いた補綴治療


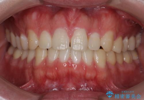
口が少し閉じにくい インビザラインによる非抜歯矯正


話しにくく腫れやすい前歯のブリッジ 使用感の良いオールセラミックブリッジに


インビザラインで矯正中にクリーニング
担当医 歯科衛生士


ステインによる歯の着色
担当医 歯科衛生士


オールセラミッククラウン ズキズキ痛む歯の治療


PGA(ゴールド)インレー 欠けた古い樹脂のやり替え


前歯のブリッジ オールセラミッククラウン 歯根が割れてしまった歯の治療


PGA(ゴールド)インレー 甘いものがしみる歯の治療


オールセラミッククラウン 神経が死んでいる歯の治療


出っ歯 すれ違い咬合の改善


奥歯の倒れた歯を改善 インビザラインでの矯正治療


気になる前歯を整えたい インビザライン・ライトでの矯正治療
担当医 藤巻太一朗





![[下顎骨隆起切除] ベロのスペースが狭く話しづらいの症例 治療前](https://seimitsushinbi.jp/wp/wp-content/uploads/2020/07/38c4ef5cd5dfeebfa4b6852b241a3fb7-500x350.jpg?v=1594450868)
![[下顎骨隆起切除] ベロのスペースが狭く話しづらいの症例 治療後](https://seimitsushinbi.jp/wp/wp-content/uploads/2020/07/96f7a2c7d3fa857f509bc3d7067d49ba-500x350.jpg?v=1594450892)