症例・治療例紹介
Cases
最新の症例
前歯のブリッジが気に入らない 歯肉移植術を併用した前歯のブリッジ
担当医 藤巻太一朗


折れてしまった前歯 インプラントによる補綴治療


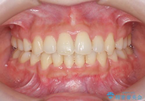
前歯のクロスバイトと変色した歯 ワイヤー矯正とセラミック治療


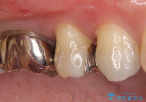
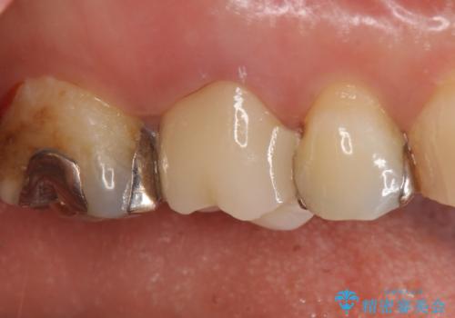
深い咬み合わせと奥歯のむし歯 総合歯科治療


ワインによる着色・黄ばみをPMTCできれいに
担当医 歯科衛生士


上の奥歯のインプラント、全体的な虫歯治療


つきやすいステインを定期的にpmtcできれいにクリーニング
担当医 歯科衛生士


歯科衛生士によるクリーニング PMTC
担当医 歯科衛生士


お茶により濃くついた着色落とし
担当医 歯科衛生士


インビザライン矯正治療が終わり、アタッチメント除去と合わせて歯のクリーニング
担当医 歯科衛生士


オールセラミッククラウン 他院にて抜歯を提案された歯の治療


インプラント 抜歯になってしまった歯の補綴


オールセラミッククラウン ズキズキ痛む歯の治療


オールセラミッククラウン 銀歯と歯茎の隙間が気になる




