症例・治療例紹介
Cases
最新の症例
放置した虫歯 歯ぐきの中まで虫歯でも、しっかり健康的な部分を引っ張り出して、きちんと処置します。


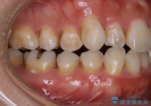
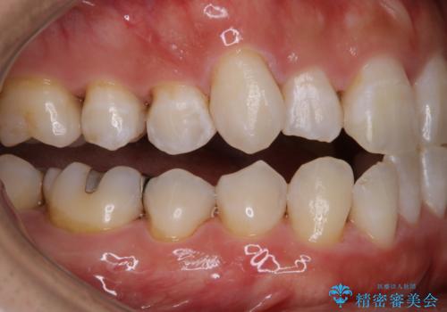
口臭予防にPMTCでお口のケア
担当医 歯科衛生士


インプラント 抜歯になった奥歯の治療


オールセラミッククラウン(スペシャル) 前歯を綺麗に


オールセラミッククラウン 歯茎が腫れてくる歯の治療


オールセラミッククラウン(スペシャル) 根管治療後の補綴


治療前にPMTCでステイン・黄ばみの除去
担当医 歯科衛生士


歯の着色落とし
担当医 歯科衛生士


昔装着したかぶせ物を自然な色にしたい オールセラミックによる審美的改善


埋まっている奥歯を引っ張り出す インビザライン矯正


インビザラインを用いた叢生(歯並びのガタつき)の治療


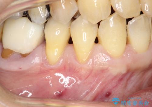
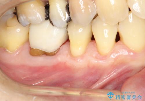
徐々に下がってきた歯肉へ再生療法(歯冠側移動術と結合組織移植術の併用)を施術し、丈夫な歯肉を獲得させた症例
担当医 林佳士登


歯周病 側方力に対抗するブリッジ補綴
担当医 大元洋佑


過度な咬合力 歯ぎしりで抜けた歯の欠損補綴
担当医 大元洋佑




