症例・治療例紹介
Cases
最新の症例
オールセラミッククラウン 咬合痛が治らない奥歯の治療


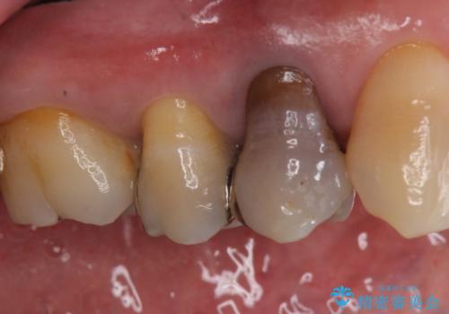
PGA(ゴールド)クラウン 脱離した銀歯の治療


インプラント 左下奥歯の咬み合わせの改善


オールセラミッククラウン 歯の挺出・歯周外科による歯茎より深い虫歯の治療


オールセラミッククラウン 膿が出続ける根の治療


オールセラミッククラウン 変色した歯を白く


インビザライン矯正治療の型どり前にPMTC
担当医 歯科衛生士


半年ぶりのPMTC
担当医 歯科衛生士


何度も欠けてしまう前歯を被せ物で治療


重度のガタガタのインビザラインによる非抜歯矯正


奥歯の汚れもPMTCでしっかり除去
担当医 歯科衛生士


人生で初めての歯のクリーニング PMTC
担当医 歯科衛生士


隙間の空いた前歯を治したい インビザライン矯正治療


前歯のデコボコ インビザラインによる矯正治療
担当医 藤巻太一朗




