症例詳細
Case detail
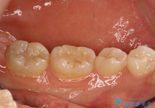
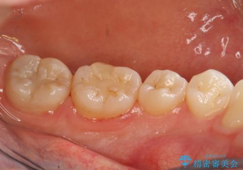
半年ぶりのPMTC
治療症例の内容
- 診療科目
- 治療カテゴリ
- 患者様
- 20代女性
- 治療期間
- 1日
- 治療回数
- 1回
- 治療計画
- 半年ぶりの来院で、クリーニング希望とのことでした。PMTC30分コースを行いました。
- 費用(概算)
- 5千円+tax費用は治療当時の料金となります
治療について
虫歯や歯周病を予防するには、歯垢をしっかり落とすことが大切です。
特に奥歯周辺はハブラシが入りにくく磨き残しの多いところです。毎回の磨き残しを放置せず、定期的に機械的なクリーニングを行うことが大切です。
また、就寝中は唾液の分泌が少ないため、細菌が繁殖しやすいので、就寝前には時間をかけて念入りに歯をみがくことが重要です。
担当歯科衛生士
表参道しらゆり歯科 DH 西澤
PMTCの注意事項(リスク・副作用など)
- 歯を白くする目的の施術ではありません
- 保険適用外となります
当サイトの内容、テキスト、画像等の無断転載、複製、複写、盗用を固く禁じます。




