症例・治療例紹介
Cases
最新の症例
かけて金属の見えてしまったセラミック 強化セラミックでの補綴治療


気になる前歯を整えたい インビザライン・ライトでの矯正治療
担当医 藤巻太一朗


前歯2本が欠損 抜歯矯正でデコボコを治す


重度のガタガタのインビザラインによる非抜歯矯正


強い咬み合わせで削れた前歯 セラミッククラウンで自然な形に


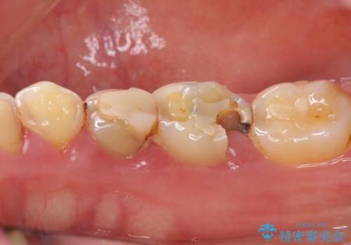
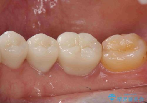
虫歯治療をしたい セラミック治療
担当医 大元洋佑


奥の歯茎にニキビみたいなものができた!
担当医 河口智英


縁下カリエス オールセラミッククラウン
担当医 河口智英


大きい虫歯 根管治療〜オールセラミッククラウン


前歯を綺麗にしたい オールセラミッククラウン
担当医 河口智英


大きい虫歯 根管治療〜オールセラミッククラウン


細かい隙間にものがはさまる インビザラインによる矯正治療


変色した前歯のクラウン オールセラミッククラウンにより審美歯科治療


前歯のクロスバイト インビザラインによる矯正治療
担当医 藤巻太一朗




