症例・治療例紹介
Cases
最新の症例
歯医者でホワイトニング 1日で白い歯に
担当医 歯科衛生士


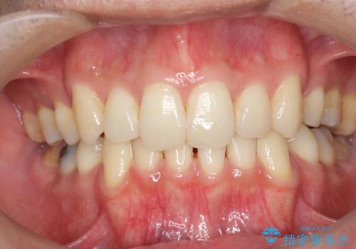
[ セラミック治療 ]歯の色が気になる 虫歯も治したい
担当医 大元洋佑
![[ セラミック治療 ]歯の色が気になる 虫歯も治したいの症例 治療前](https://seimitsushinbi.jp/wp/wp-content/uploads/2021/07/72294817e141317b0f6a621233eea183-500x350.jpg?v=1626837878)
![[ セラミック治療 ]歯の色が気になる 虫歯も治したいの症例 治療後](https://seimitsushinbi.jp/wp/wp-content/uploads/2021/07/3cafad2951f7005ce078a584c6bcea11-500x350.jpg?v=1626837886)
保険治療で装着したかぶせ物のやりかえ セラミックによる自然な見た目へ


[ 重度歯周病 ] インプラント・義歯による咬合再構築
![[ 重度歯周病 ] インプラント・義歯による咬合再構築の症例 治療前](https://seimitsushinbi.jp/wp/wp-content/uploads/2021/07/0a652e75d5f31b51f66fbb3c46093249-500x350.jpg?v=1626759388)
![[ 重度歯周病 ] インプラント・義歯による咬合再構築の症例 治療後](https://seimitsushinbi.jp/wp/wp-content/uploads/2021/07/4c6838854beaf5801dbc7fde26492d6c-500x350.jpg?v=1626759531)
銀歯を白くしたい 隙間がしみる


[ 矯正と補綴、総合歯科治療 ] クロスバイトを避ける前歯部審美ブリッジ
![[ 矯正と補綴、総合歯科治療 ] クロスバイトを避ける前歯部審美ブリッジの症例 治療前](https://seimitsushinbi.jp/wp/wp-content/uploads/2021/07/IMG_9914-500x350.jpg?v=1626697179)
![[ 矯正と補綴、総合歯科治療 ] クロスバイトを避ける前歯部審美ブリッジの症例 治療後](https://seimitsushinbi.jp/wp/wp-content/uploads/2021/07/fcd77503a97e2f3a648f6e8698e34626-500x350.jpg?v=1626697051)
矯正治療が始まる前に歯のお掃除
担当医 歯科衛生士


前歯の治療中にきれいに歯のクリーニング
担当医 歯科衛生士


小矯正を伴う臼歯部ブリッジ治療
担当医 大元洋佑


エアフローパウダー+超微細ウォーター(クリーニング)
担当医 歯科衛生士


インビザラインチェンジで成功 インビザラインで八重歯の抜歯矯正


前歯のすき間 セラミックで綺麗に 最短で治療


小さい前歯を整える セラミック矯正






