症例・治療例紹介
Cases
最新の症例
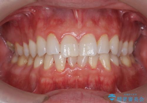
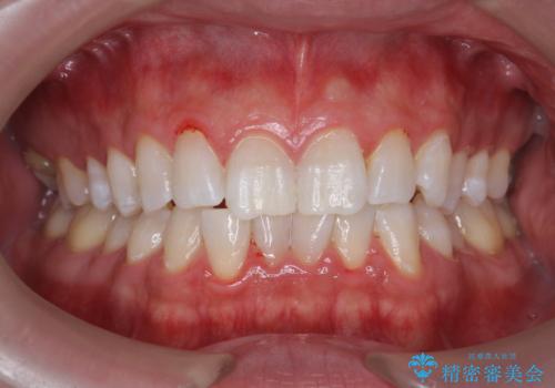
PMTCで笑った時の口元を自然に明るくしたい
担当医 歯科衛生士


invisalignの型取り前に歯のクリーニング
担当医 歯科衛生士


インビザライン中にステインを綺麗にOFF
担当医 歯科衛生士


マウスピース矯正終了後にPMTCでよりきれいな歯に
担当医 歯科衛生士


ホームホワイトニング用マウスピースを作成前にPMTC
担当医 歯科衛生士


歯と歯の間の色が気になる 1日で綺麗に落とす
担当医 歯科衛生士


前歯のがたつき マウスピース矯正で 非抜歯で奥歯を後ろに下げる治療
担当医 井上季実子


前歯の虫歯 矯正治療してからしっかり治す


50代女性 インビザライン かみ合わせが深く、難しい症例


前歯のガタつきを治す マウスピース矯正治療


インビザラインでのマウスピース矯正中にクリーニングで口臭予防
担当医 歯科衛生士


ハーフリンガルでのワイヤー矯正中にクリーニングで綺麗に
担当医 歯科衛生士


インプラント治療・セラミック治療を含む 全顎的虫歯治療
担当医 大元洋佑






