症例・治療例紹介
Cases
最新の症例
舌小帯の形成で達成する滑舌の改善
担当医 大元洋佑


マウスピース 狭窄歯列の改善


歯列矯正(インビザライン)中に着色を綺麗にクリーニング
担当医 歯科衛生士


50代男性 1年ぶりにPMTC 前歯をきれいに
担当医 歯科衛生士


インビザラインで前歯の中心をお顔の中心に合わせる


八重歯をインビザラインで矯正 大人の目立たない矯正


再矯正をインビザラインで目立たず手軽に


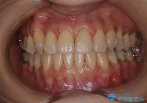
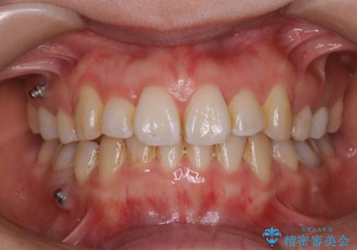
[ セラミック治療 ] 前歯を自然にしたい、セラミッククラウンのやりかえ
担当医 大元洋佑
![[ セラミック治療 ] 前歯を自然にしたい、セラミッククラウンのやりかえの症例 治療前](https://seimitsushinbi.jp/wp/wp-content/uploads/2022/02/771f39d281c5095ad94cbf96f730d007-500x350.jpg?v=1644041614)
![[ セラミック治療 ] 前歯を自然にしたい、セラミッククラウンのやりかえの症例 治療後](https://seimitsushinbi.jp/wp/wp-content/uploads/2022/02/b9ee13367ab56d7729121dc9c683836d-500x350.jpg?v=1644041633)
インビザラインで目立たない矯正 ガタガタの歯並びをきれいな歯並びへ


インビザライン・ライトで”すきっ歯と出っ歯”を改善


インビザラインの新しいマウスピースが届く前にクリーニング(アタッチメントが外れている時に)
担当医 歯科衛生士


インビザラインで矯正治療中のクリーニング(PMTC)
担当医 歯科衛生士


60代男性 奥歯のブリッジ 倒れこんでいる奥歯を部分矯正


インビザライン・ライトでの抜歯矯正治療 (スリーインサイザー仕上げ)
担当医 福本健生



![[ インビザライン矯正 ] マウスピース矯正で治す、前歯のガタつきの症例 治療前](https://seimitsushinbi.jp/wp/wp-content/uploads/2022/02/324533f54aaa29eca08b0a9fdd3af7e2-500x350.jpg?v=1644473292)
![[ インビザライン矯正 ] マウスピース矯正で治す、前歯のガタつきの症例 治療後](https://seimitsushinbi.jp/wp/wp-content/uploads/2022/02/IMG_1698-500x350.jpg?v=1644473356)