症例・治療例紹介
Cases
最新の症例
インビザラインの矯正治療中のクリーニング(PMTC)
担当医 歯科衛生士


八重歯を抜歯せずに矯正 インビザラインで


[ 歯周外科 ] 縁下マージン・縁下カリエスの治療
![[ 歯周外科 ] 縁下マージン・縁下カリエスの治療の症例 治療前](https://seimitsushinbi.jp/wp/wp-content/uploads/2022/04/b464b4c5c3053a5fc84212fb664a039f-500x350.jpg?v=1648866777)
![[ 歯周外科 ] 縁下マージン・縁下カリエスの治療の症例 治療後](https://seimitsushinbi.jp/wp/wp-content/uploads/2022/04/bd017e5dbd742f9bb33f09d39c8f1b52-500x350.jpg?v=1648866850)
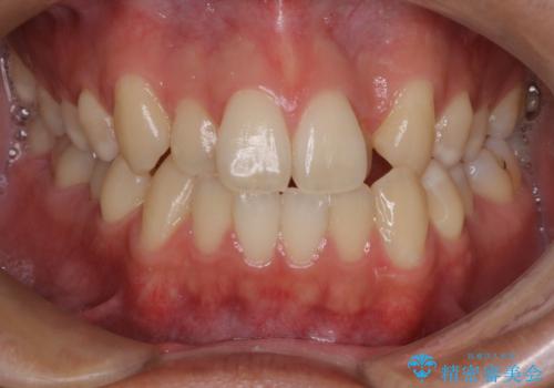
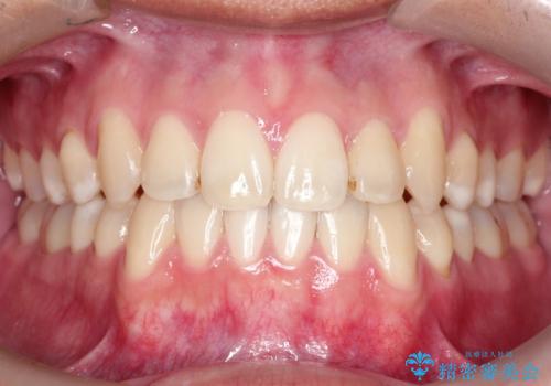
[ 上顎前突のインビザライン治療 ] マイクロインプラントを併用した遠心移動
![[ 上顎前突のインビザライン治療 ] マイクロインプラントを併用した遠心移動の症例 治療前](https://seimitsushinbi.jp/wp/wp-content/uploads/2022/04/C6-500x350.jpg?v=1649927628)
![[ 上顎前突のインビザライン治療 ] マイクロインプラントを併用した遠心移動の症例 治療後](https://seimitsushinbi.jp/wp/wp-content/uploads/2022/04/IMG_8925-500x350.jpg?v=1649927789)
空気が漏れて喋りづらい:適合の良いセラミックで歯をつくる


ワイヤー矯正中は1.2カ月に1回はクリーニング(PMTC)
担当医 歯科衛生士


オフィスホワイトニングスペシャルコース+術前クリーニング
担当医 歯科衛生士


[ 舌小帯の長い付着 ] 舌の動きが悪く話しづらい
担当医 大元洋佑
![[ 舌小帯の長い付着 ] 舌の動きが悪く話しづらいの症例 治療前](https://seimitsushinbi.jp/wp/wp-content/uploads/2022/04/a45f8761026aaea5cc68d59a78c42c38-1-500x350.jpg?v=1649070748)
![[ 舌小帯の長い付着 ] 舌の動きが悪く話しづらいの症例 治療後](https://seimitsushinbi.jp/wp/wp-content/uploads/2022/04/IMG_9998-500x350.jpg?v=1649070782)
前歯のすれ違い インビザラインで行うマウスピース矯正


クロスバイト・歯並びが原因の歯肉退縮歯、矯正治療による審美性の改善


[ マウスピース矯正で前歯の改善 ] 前歯のすきっ歯を治したい
![[ マウスピース矯正で前歯の改善 ] 前歯のすきっ歯を治したいの症例 治療前](https://seimitsushinbi.jp/wp/wp-content/uploads/2022/04/IMG_0578-500x350.jpg?v=1648784046)
![[ マウスピース矯正で前歯の改善 ] 前歯のすきっ歯を治したいの症例 治療後](https://seimitsushinbi.jp/wp/wp-content/uploads/2022/04/IMG_8710-500x350.jpg?v=1648784022)
[ 舌小帯の形成術 ]ベロの動きを改善したい
担当医 大元洋佑
![[ 舌小帯の形成術 ]ベロの動きを改善したいの症例 治療前](https://seimitsushinbi.jp/wp/wp-content/uploads/2022/04/567de8a24db0855068f0b7278030d328-500x350.jpg?v=1648778278)
![[ 舌小帯の形成術 ]ベロの動きを改善したいの症例 治療後](https://seimitsushinbi.jp/wp/wp-content/uploads/2022/04/f8e669fd6dd58e94e9e8a09ada32aa7b-500x350.jpg?v=1648778306)






